13

Prostate Cancer: Advances in Radiation Oncology, Molecular Biology, and Future Treatment Strategies

Tao Wang1 Brian Lewis2 Marcus Ruscetti2 Kriti Mittal3,4 Ming-Jin Wang3,4 Mitchell Sokoloff4,5 Linda Ding1,4 Maryann Bishop-Jodoin1 Thomas J FitzGerald1,4

1Department of Radiation Oncology, UMass Chan Medical School, Worcester, MA, USA; 2Department of Molecular, Cell and Cancer Biology, UMass Chan Medical School, Worcester, MA, USA; 3Department of Medicine, UMass Chan Medical School, Worcester, MA, USA; 4UMass Memorial Health, Worcester, MA, USA; 5Department of Urology, UMass Chan Medical School, Worcester, MA, USA

Abstract: Prostate cancer remains an important health problem worldwide affecting one in every six men including members of vulnerable communities. Although successful treatments have been delivered to men affected with the disease resulting in improved patient outcome, process improvements including therapy titration and augmentation are needed to optimize tumor control and limit normal tissue injury from therapy. In this chapter, we describe current management strategies for optimal patient care with radiation therapy and opportunities for improvement of care moving forward with applied science to apply therapy in a strategic manner, potentially improving care and outcome for patients treated for this disease.

Keywords: clinical process improvement for prostate cancer; modern care for the prostate patient; patient outcome in prostate cancer; radiation therapy for prostate cancer; treatment strategies for prostate cancer

Author for Correspondence: Thomas J FitzGerald, Department of Radiation Oncology, UMass Chan Medical School, 55 Lake Avenue North, Worcester, MA, USA. TJ.FitzGerald@umassmemorial.org

Cite this chapter as: Wang T, Lewis B, Ruscetti M, Mittal K, Wang M-J, Sokoloff M, Ding L, Bishop-Jodoin M, FitzGerald TJ. Prostate Cancer: Advances in Radiation Oncology, Molecular Biology, and Future Treatment Strategies. In: Barber N and Ali A, editors. Urologic Cancers. Brisbane (AU): Exon Publications. ISBN: 978-0-6453320-5-6. Online first 22 Jun 2022.

Doi: https://doi.org/10.36255/exon-publications-urologic-cancers-prostate-cancer-radiation-oncology

In: Barber N, Ali A (Editors). Urologic Cancers. Exon Publications, Brisbane, Australia. ISBN: 978-0-6453320-5-6. Doi: https://doi.org/10.36255/exon-publications-urologic-cancers

Copyright: The Authors.

License: This open access article is licenced under Creative Commons Attribution-NonCommercial 4.0 International (CC BY-NC 4.0) https://creativecommons.org/licenses/by-nc/4.0/

INTRODUCTION

Prostate cancer is an important issue affecting a substantial number of men. Incidence of prostate cancer remained stable despite a 4–6% annual increase of advanced disease as the proportion of prostate cancer diagnosed at advanced stage increased from 3.9% to 8.2% over the past decade (1). Clinical outcomes in patients with early disease with favorable features relative to Gleason grade and prostate-specific antigen (PSA) are outstanding with current therapy including surgery and radiation therapy. Patients with intermediate risk factors have excellent outcomes with established treatment strategies when applied in the appropriate manner. Research is focused on which patients with intermediate risk require treatment in addition to radiation therapy and if therapy is needed, what should be the type and duration of therapy. Historically, Hormone therapy using Casodex and Lupron have been used with radiation therapy. Gleason grade of 7 or 8 and PSA greater than 10 will characterize patients as unfavorable intermediate disease who require additional therapy beyond radiation therapy to optimize care. Patients with high-risk features including Gleason grade 9 and 10 disease require new strategies in addition to hormone therapy which can be directed by modern translational science. In this chapter, we review process improvements in the clinical application of radiation therapy and future opportunities for additional therapies to complement radiation therapy for patients at risk for recurrence.

CLINICAL PROCESS IMPROVEMENTS: RADIATION ONCOLOGY

Process improvements in radiation oncology have demonstrated outstanding progress in the care of prostate cancer patients. Volumetric planning has provided security in radiation therapy target definition and modern imaging tools including multi-parametric magnetic resonance imaging. New metabolic agents used for positron emission tomography have provided more confidence that tumor targets are well defined and treated with accuracy (24). Intensity modulation has permitted radiation oncologists to place sharper dose gradients across normal tissue structures, including bladder and rectum, with increased dose to tumor target, permitting higher dose to tumor targets with no additional clinical morbidity. This has served to expand our role in prostate cancer to treat early metastatic disease with success (3, 5, 6). Decreased dose and sharper dose gradients to normal tissue, aided by intensity modulation, decrease radiotoxicity to the rectum, small bowel, bone structures including the acetabulum, and bladder (Figure 1).

Fig 1

Figure 1. Process improvements in radiotherapy of prostate cancer. A, Dose gradients across bladder and rectum for a traditional radiation therapy using intensity modulation. Daily image guidance allows for adjustments in positioning each day relative to target motion. B, A cone beam computer tomography image obtained pre-therapy to validate target positioning on a daily basis. The security provided by image guidance permits titration in planning target volumes which in turn decrease dose to normal tissue further. The use of volume modulated arcs permits rapid therapy delivery over a few minutes giving confidence to both physicians and patients in limiting intrafraction motion of targets further promoting security in daily treatment execution. C, Arc geometries applied to prostate cancer care. Optical tracking provides both stability and security in daily positioning and monitors external motion during therapy. D, An example of optical tracking in a prostate cancer patient. Image courtesy of the Department of Radiation Oncology, UMass Chan Medical School and UMass Memorial Health.

The advances in external beam radiation therapy treatment planning and delivery have positioned radiation therapy very well in the care of patients with prostate cancer. Image guidance secures and confirms the significant impact of intensity modulation on patient care. Because of the security of daily treatment execution, radiation oncologists have been able to adjust daily treatment dose to levels securing optimal outcome (3, 712). The process improvements in technology have permitted investigators to compress both daily and total treatment time without accelerated risk for normal tissue injury (3, 711, 13). Hypofractionation protocols decreasing the duration of treatment with increased daily dose are maturing and many investigators in the radiation oncology community consider compressed treatment programs moving towards the standard of care in patients with normal and near normal prostate anatomy and genitourinary function (811, 14, 15). Brachytherapy as monotherapy remains an outstanding therapy option for patients with low and early intermediate risk disease (3, 1619). Modern real time image guidance in the development and execution of the plan has made brachytherapy an outstanding treatment option. Brachytherapy with external therapy provides excellent outcomes in patients with less favorable intermediate-risk disease and high-risk disease when anatomically appropriate (Figure 2).

Fig 2

Figure 2. Permanent seed brachytherapy. This image shows the application of permanent seed brachytherapy in a high stage patient with the radiation dosimetry superimposed on the image courtesy of the Department of Radiation Oncology, UMass Chan Medical School and UMass Memorial Health.

In the near future, clinical protocols will include radiotherapy with or without radiopharmacy directed to sites of metastasis at presentation. With these treatments, the outcome of patients with early metastatic disease is evolving to become equivalent to patients with local disease at presentation (2, 3, 2022). The future of radiation therapy in the treatment of locally confined and early metastatic disease is significant and will use elements of advanced technology during radiation therapy such as intensity modulation, daily image guidance, optical tracking, stereotactic therapy, radiopharmacy, and brachytherapy (2, 3, 711, 22). These tools have already permitted radiation oncologists to increase dose to prostate cancer targets without an increased risk of normal tissue injury. There is increased confidence that outcomes relative to both tumor control and normal tissue injury are improved. The objective for the next generation of studies is to optimize care for patients by identifying which patients need additional therapy coupled with radiation therapy and what therapy to apply. There are a growing number of agents approved by the FDA extending hormone treatment beyond the longstanding use of Lupron agonist/antagonist management and now direct therapy to additional androgen related pathways including multiple oral medications. Modern science will identify additional strategies for patient care especially for patients considered high risk and insensitive to hormone medication. How and when to apply these strategies coupled with evaluation for the duration of therapy will be vetted in the next generation of clinical trials.

RADIATION THERAPY POST PROSTATECTOMY

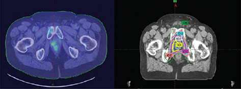
Radiation therapy after prostatectomy remains an important component of patient care. Although surgery remains an important option for patient care in prostate cancer management, often surgeons are confronted with more challenges than anticipated with extracapsular spread of tumor, lymph node involvement, perineural invasion, Gleason grade, and seminal vesicle invasion; all these are indicators of risk for local regional recurrence of disease. Although debate continues as to when to intervene with radiation therapy post-operatively, many in the radiation oncology community feel treatment is more efficacious earlier in the disease process (2326). In contrast, many in the urology community prefer to defer referral of the patient to radiation oncology until there is continuous elevation in PSA (24, 27, 28). Evidence today suggests efficacy with earlier intervention than later before PSA becomes significantly elevated. Having established this point, the radiation oncology community is challenged by defining a target to treat as treatment is being directed to a biomarker. Radiation oncologists have traditionally targeted the urethral anastomosis, former prostate capsule, and the undersurface of the bladder as high-risk targets with nodal volume therapy treated at the discretion of the radiation oncologist on an individual basis driven by the initial pathology. Although this demonstrated success, the choice of targets was thoughtful but simultaneously arbitrary based on the perception of tissues considered at risk (2931). Modern imaging has helped radiation oncologists pivot from this position and re-visit target definitions by optimizing targets that would be considered high risk and targets of intermediate risk with the option of dose painting to high-risk targets (Figure 3). In this case, metabolic imaging supported the identification of a bulk tumor aggregate which could be treated as a high-risk target with adjoining tissue, and tissue previously defined as high risk defined at intermediate risk, thus limiting the risk of normal tissue injury. The high dose volumes were titrated to areas of activity defined on anatomical imaging.

Fig 3

Figure 3. PET imaging. (left) PET scan image of recurrent disease in a post-prostatectomy patient and the radiation therapy treatment plan (right) directed to tissues considered of high risk (PET avid) and intermediate risk (28). Image courtesy of the Department of Radiation Oncology, UMass Chan Medical School and UMass Memorial Health.

IMAGING AND MODERN CARE FOR THE PROSTATE PATIENT

The importance of the development of anatomic and metabolic imaging for patient care, especially in radiation therapy, cannot be overstated (3133). Prior to the development of volumetric imaging, patients were planned for radiation therapy on fluoroscopic simulators with catheters and contrast material placed into the bladder and rectum. While effective, there was no optimal definition of tumor and normal tissue targets, and mega voltage imaging could not validate target position nor volume of normal tissue in the therapy fields. The advent of volumetric imaging and replacement of fluoroscopic simulators with computed tomography permanently altered the process of simulation and workflow for both the planning team and the radiation oncologist. Fusion technology has permitted multiple datasets to be integrated with radiation therapy planning and imaging and serves to optimize target definition (3133). Four-dimensional planning programs secured challenges imposed by motion and serve to optimize the location of bowel position during respiration. The practice of radiation oncology has become fully integrated and synergistic with modern imaging. The radiation oncologist now must be more expert than our mentors in the application of imaging to therapy. Not only do we need to define if an abnormality is present or absent, but also define the volume of interest in its entirety, including tissues of both high and intermediate risk of disease, to create a treatment plan, and define normal tissue dose volume metrics for dose delivery. The addition of magnetic resonance imaging with computed tomography has optimized the anatomy of high-risk regions and better-defined multiple structures, including the fat plane between the anterior wall of the rectum and the prostate to improve contouring of disease, thus permitting the placement of sharper dose gradients across critical normal tissues (3, 711).

Metabolic imaging with Axumin and prostate-specific membrane antigen targeted therapy has helped define areas of disease that might otherwise be overlooked, especially in the post prostatectomy setting with elevation in PSA including identification of patients with oligometastasis (3133). Radiation oncologists can identify metabolically active areas as high-risk including sites of limited metastatic disease and treat these regions to full dose while titrating dose to metabolically inactive regions (3133). These images have altered how radiation oncologists contour nodal anatomy, and image guidance is giving confidence to the radiation oncology community to titrate target volumes. These imaging tools provide opportunity to adjust volumes to high-risk targets with dose painting and radiosurgery techniques. Optimal targeting with image guidance has the potential to improve patient outcome and decrease the immediate need for additional therapy such as hormone therapy. In the future, this effort will expand and include patients with oligometastatic disease who will be treated with definitive intent. It is anticipated we can titrate high dose volume directed to areas of metabolic and anatomical disease and place areas traditionally thought at risk and treat them to a more intermediate dose. Advanced imaging tools may provide security that we are treating the appropriate volume to the optimal dose and spare normal tissue for additional therapies to be considered at a later time point if needed (23, 24). It is becoming clear the therapy community will become more aggressive in the management of patients with advanced disease at presentation and therapies beyond traditional application of hormone therapy.

Genomic and Molecular Applications: Current Clinical Use

Researchers have been evaluating newly defined roles for genomic signatures and biomarkers in assigning risk and appropriate therapy. Although traditional risk categories defined by stage, Gleason grade, and PSA have been used effectively in the past, genomic signatures have the potential of adjusting care in low, intermediate, and high-risk populations. A patient defined as low risk with favorable PSA and Gleason score but may have an unfavorable genomic biomarker supporting treatment at presentation. Signatures may define intermediate risk patients who may benefit from augmented therapy and signatures may tailor therapy as needed for high-risk patients to align with biomarker expression. Following similar pathways identified for management of breast cancer, signature molecular profiles are being defined for prostate cancer management. In patients with prostate cancer, traditional definition of disease is related to clinical stage, Gleason grade, and PSA coupled with anatomic and possible metabolic imaging. Prolaris, Decipher, and Oncotype genomic profiling testing are available to patients to help define molecular signaling that may suggest a different disease process than implied by traditional biomarkers and tools used to assign risk. In the future, next generation sequencing may be used to complement more traditional biomarkers defined on immunohistochemical staining including markers for neuroendocrine expression (3335).

To date, this has largely been perceived as of benefit to patients recognizing the need for continued process improvements as each signature becomes validated moving forward (2, 3, 24). There are clinical situations where profiling has identified a treatment pathway not anticipated with traditional mechanisms. Recent publication suggests that deep learning models can be used to personalize prostate cancer decision making for patient care. Clinical and pathology data from five prostate cancer clinical trials (NRG/RTOG 9202, 9408, 9413, 9910, and 0126) was re-purposed to determine if multi modal artificial intelligence models could outperform traditional established clinical risk stratification models of the National Comprehensive Cancer Network (NCCN) and D’Amico stratification. The data involved pathology samples from 5,654 trial patients with high and sufficient quality digital histopathology image data. The results confirmed that artificial intelligence model did outperform traditional clinical risk stratification for predicting outcome, therefore improvements in personalization strategies will help identify patients who could benefit from augmented therapy and potentially titrate therapy for those with favorable features (35).

Radiation therapy has a prominent role in the treatment of prostate cancer and will continue to be a primary treatment option for populations at risk for developing the disease. As our technologies have improved, our outcomes have improved as dose to tumor and sharper dose gradients across normal tissue targets, target validation, and daily imaging has served patients well by assuring security in treatment targeting. Further improvements in magnetic resonance and metabolic imaging will further improve targeting and patient outcome. Moving forward, we need to continue to evaluate which patients benefit from additional therapy and optimize integrated therapy for patient populations at risk for recurrence. This will require careful clinical trials to identify patients at risk for recurrence and how to apply additional therapies moving forward.

COMBINATION THERAPIES

There is evidence that additional therapy coupled with radiation therapy improves clinical outcome in patients with unfavorable intermediate risk and high-risk prostate cancer (36, 37). For example, multiple forms of hormone therapy coupled with radiation therapy has demonstrated improvements in clinical outcome for intermediate and high-risk patients (3, 36, 37). However, despite the advantage in patient care and outcome, the duration of hormone therapy, the impact of hormone on normal tissue, and the quality of life remain understudied. Current data show that protracted hormone therapy has demonstrable impact on cardiac, musculo-skeletal, and neurocognitive health (2, 36). Therefore, an opportunity exists to mitigate these issues using basic science and applied molecular strategies for future clinical programs.

In the past, multiple agents have been approved for patient care in prostate cancer, many directed towards androgen-directed pathways including the androgen receptor. Abiraterone acetate (Zytiga), apalutamide (Erleada), orgovyx (Regugolix), and enzalutamide (Xtandi) are new approaches to patient care directed towards androgen inhibition (3742). While currently used for recurrent disease, studies are now needed to determine if these medications can function as a surrogate for traditional hormone therapy in primary management with the objective of limiting the sequelae seen with Lupron therapy. An equally important objective is to determine the duration of therapy and evaluate the risk benefit ratio of maintenance therapy or whether efficacy of management is optimized during the course of radiation management. These areas remain less well defined and are of important clinical relevance to patient care and quality of life. Radium 223, sipuleucel T immunotherapy, and more traditional chemotherapy with Docetaxol have been used in patients with advanced disease with and without hormone therapy, often with limited success due in part to previous treatments and limitations in patient normal tissue reserves (3742). Leutium 177 ligand is a novel radiopharmacy tool, FDA approved, which delivers beta particle radiation therapy to PSMA expressing cells and the immediate microenvironment. This has the potential of augmenting radiation therapy to sites of metastatic disease (22). However, to move the field forward, additional new ideas are needed from basic science to apply to patient care moving forward, especially for patients with unfavorable features at risk for progressive disease including those with unfavorable biomarkers and castrate resistant status.

FUTURE CONTRIBUTIONS FROM THE SCIENCE OF PROSTATE CANCER

A primary objective to move treatment from bench to bedside is to define, as best as possible, the mechanism of hormone-radiation therapy interaction and promote the survival benefit for integrated therapy and potentially titrate the current approach of protracted therapy for at risk patients. This would have the potential of decreasing the development of castrate-resistant disease and possibly limit. A better understanding of fundamental mechanism of tumor cell kill would permit evaluation of alternate therapies promoting the integration of science-directed therapies driven by biomarkers defined as high risk.

Basic science is also yielding promising results by identifying additional targets for radiation therapy. Prostate cancer cells express different adhesion molecules than normal prostate including integrins; therefore, targeting adhesion molecules in parallel with radiation therapy could provide additive cell kill in prostate cancer patients (4350). Simon and colleagues at the University of Massachusetts demonstrated that high doses of radiation were required to suppress integrin expression (one of the adhesion molecules) in prostate cancer cells and that traditional doses were less effective, implying resistance to traditional radiation therapy and indirectly supporting the utility of higher dose daily treatment that supports an argument for radiation doses similar to modern high dose stereotactic therapy (50). Wang and colleagues demonstrated that Casodex decreased adhesion properties and sensitized prostate cancer cells to radiation therapy. This would suggest that the addition of casodex or surrogate would enhance tumor cell kill with radiation therapy and possibly permit lower doses of radiation therapy to be used and generate similar outcomes. From these series of experiments, cells cloned after surviving radiation therapy have demonstrated resistance to radiation therapy after re-culture. These cells exhibit multiple phenotypic and molecular properties including epithelial-mesenchymal differentiation as well as features consistent with neuroendocrine differentiation (51, 52). Each of these areas have become important opportunities for study and we have pursued these pathways to determine if additional opportunities exist to apply alternate therapy to radiation treatment to increase tumor cell kill. Our group has been able to reverse therapeutic resistance with application of strategic molecular silencing therapy directed towards selected molecular targets (51, 52). Strategies directed to targets associated with survivin and poly (ADP-ribose) polymerise-1 (PARP-1) inhibition exhibit promise in further sensitizing prostate cancer cells to radiation therapy through multiple mechanisms including DNA repair (5357). Extracellular signal related kinases (ERK 1 and ERK 2) appear to be additional targets to sensitize prostate cancer cells to radiation therapy (5153). A series of recent experiments in our group have demonstrated interesting results relative to radiation cell kill in cells that have demonstrated resistance to therapy. Prostate cancer cell line (DU) that survived and regrew post radiation (DI) demonstrated morphologic features consistent transformation into neuroendocrine phenotype expressing neurotensin receptor 1, chromogranin B, and neuron specific enolase, unlike the parent DU cell line. In clonogenic assay, DI cells consistently demonstrate therapeutic resistance in comparison to the parent DU cell. DI cells, ERK1/2 activity is constitutively active in the resistant DI cell, less so in the DU cell. As can be seen in Figure 4, when the resistant DI cell is pre-treated with ERK 1/2 inhibitor U0126, the cells revert to the response to radiation similar to the parent DU cell. This is an exciting finding as it provides an opportunity to study possible mechanisms to therapeutic resistance and pathways to provide additional therapy to mitigate this point.

Fig 4

Figure 4. Combination therapy with radiation and ERK inhibition in neuroendocrine prostate cancer. As seen in the Western blot (a), DI (resistant) cells in a serum free medium display constitutive phosphorylation of PKC and ERK1/2, but not AKT. In figure 4b, clonogenic assay was performed with DI cells treated with and without ERK1/2 inhibitor U0126 (1 μM) 1 hr before exposed to IR with a significant improvement in cell kill when the inhibitor is applied prior to radiation therapy. (Image courtesy of the Department of Radiation Oncology, UMass Chan Medical School and UMass Memorial Health).

Therefore, potential targets for therapy directed towards these expression products and molecular pathways are potentially helpful for patient care moving forward. Evidence suggests an important role for non-coding micro-RNA as a regulatory component to the identification of prognostic factors associated with prostate cancer, including defining altered microRNA patterns and clusters in prostate cancer. These are compounds of a limited number of nucleotides that regulate the expression level of multiple genes. These can become important for the next generation of biomarkers including prediction of malevolent behavior and tumor subtypes and have been identified both in circulation and in urine. The micro transcripts function through base pairing with messenger RNA and dysregulation of microRNA is identified in multiple malignancies. Recent literature suggests that microRNA can function in multiple capacities either initiating cancer or promoting the disease, therefore may prove be a valuable biomarker for identifying disease and a target for therapy in select patients (5861). This will require detailed study, however coupled with additional biomarkers, may potentially influence how therapy is applied moving forward. Persistent elevation of these biomarkers post therapy may function as a surrogate for defining the duration of therapy in prostate cancer which to date remains less well understood.

CONCLUSION

In this chapter, we reviewed recent clinically important developments in radiation therapy of prostate cancer. Radiation therapy provides pathway to the care for patients with prostate cancer and plays an increasingly important role in patients including those with risk of treatment failure. Identifying agents that can increase cancer cell mortality in conjunction with radiation therapy is an important next step for progress in therapy, including situations that will require advanced radiation therapy techniques for the treatment of patients with oligometastatic disease. We have made progress, however much more is left to be discovered.

Conflict of Interest: The authors declare no potential conflict of interest with respect to research, authorship and/or publication of this chapter.

Copyright and Permission Statement: The authors confirm that the materials included in this chapter do not violate copyright laws. Where relevant, appropriate permissions have been obtained from the original copyright holder(s), and all original sources have been appropriately acknowledged or referenced.

REFERENCES

  1. Siegel RL, Miller KD, Fuchs HE, Jemal A. Cancer statistics, 2022. CA Cancer J Clin. 2022;72:7–33. https://doi.org/10.3322/caac.21708
  2. Vanneste BG, Van Limbergen EJ, van Lin EN, van Roermund JG, Lambin P. Prostate Cancer Radiation Therapy: What Do Clinicians Have to Know? Biomed Res Int. 2016;2016:6829875. https://doi.org/10.1155/2016/6829875
  3. Bekelman JE, Rumble RB, Chen RC, Pisansky TM, Finelli A, Feifer A, et al. Clinically Localized Prostate Cancer: ASCO Clinical Practice Guideline Endorsement of an American Urological Association/American Society for Radiation Oncology/Society of Urologic Oncology Guideline. J Clin Oncol. 2018;36:3251–8. https://doi.org/10.1200/JCO.18.00606
  4. Lempart M, Benedek H, Jamtheim Gustafsson C, Nilsson M, Eliasson N, Back S, et al. Volumetric modulated arc therapy dose prediction and deliverable treatment plan generation for prostate cancer patients using a densely connected deep learning model. Phys Imaging Radiat Oncol. 2021;19:112–9. https://doi.org/10.1016/j.phro.2021.07.008
  5. Royce TJ, Mavroidis P, Wang K, Falchook AD, Sheets NC, Fuller DB, et al. Tumor Control Probability Modeling and Systematic Review of the Literature of Stereotactic Body Radiation Therapy for Prostate Cancer. Int J Radiat Oncol Biol Phys. 2021;110:227–36. https://doi.org/10.1016/j.ijrobp.2020.08.014
  6. Stuk J, Vanasek J, Odrazka K, Dolezel M, Kolarova I, Hlavka A, et al. Image-guided radiation therapy produces lower acute and chronic gastrointestinal and genitourinary toxicity in prostate cancer patients. J BUON. 2021;26:940–8.
  7. Sanda MG, Cadeddu JA, Kirkby E, Chen RC, Crispino T, Fontanarosa J, et al. Clinically Localized Prostate Cancer: AUA/ASTRO/SUO Guideline. Part I: Risk Stratification, Shared Decision Making, and Care Options. J Urol. 2018;199:683–90. https://doi.org/10.1016/j.juro.2017.11.095
  8. Lee AK. Radiation therapy combined with hormone therapy for prostate cancer. Semin Radiat Oncol. 2006;16:20–8. https://doi.org/10.1016/j.semradonc.2005.08.003
  9. Catton C, Milosevic M, Warde P, Bayley A, Crook J, Bristow R, et al. Recurrent prostate cancer following external beam radiotherapy: follow-up strategies and management. Urol Clin North Am. 2003;30:751–63. https://doi.org/10.1016/S0094-0143(03)00051-X
  10. Hoffman KE, Voong KR, Levy LB, Allen PK, Choi S, Schlembach PJ, et al. Randomized Trial of Hypofractionated, Dose-Escalated, Intensity-Modulated Radiation Therapy (IMRT) Versus Conventionally Fractionated IMRT for Localized Prostate Cancer. J Clin Oncol. 2018;36:2943–9. https://doi.org/10.1200/JCO.2018.77.9868
  11. Fransson P, Nilsson P, Gunnlaugsson A, Beckman L, Tavelin B, Norman D, et al. Ultra-hypofractionated versus conventionally fractionated radiotherapy for prostate cancer (HYPO-RT-PC): patient-reported quality-of-life outcomes of a randomised, controlled, non-inferiority, phase 3 trial. Lancet Oncol. 2021;22:235–45. https://doi.org/10.1016/S1470-2045(20)30581-7
  12. Nicosia L, Sicignano G, Rigo M, Figlia V, Cuccia F, De Simone A, et al. Daily dosimetric variation between image-guided volumetric modulated arc radiotherapy and MR-guided daily adaptive radiotherapy for prostate cancer stereotactic body radiotherapy. Acta Oncol. 2021;60:215–21. https://doi.org/10.1080/0284186X.2020.1821090
  13. Lapierre A, Gourgou S, Brengues M, Quero L, Deutsch E, Milliat F, et al. Tumour and normal tissue radiosensitivity. Cancer Radiother. 2022;26:96–103. https://doi.org/10.1016/j.canrad.2021.11.008
  14. Murray J, Griffin C, Gulliford S, Syndikus I, Staffurth J, Panades M, et al. A randomised assessment of image guided radiotherapy within a phase 3 trial of conventional or hypofractionated high dose intensity modulated radiotherapy for prostate cancer. Radiother Oncol. 2020;142:62–71. https://doi.org/10.1016/j.radonc.2019.10.017
  15. Wages NA, Sanders JC, Smith A, Wood S, Anscher MS, Varhegyi N, et al. Hypofractionated Postprostatectomy Radiation Therapy for Prostate Cancer to Reduce Toxicity and Improve Patient Convenience: A Phase 1/2 Trial. Int J Radiat Oncol Biol Phys. 2021;109:1254–62. https://doi.org/10.1016/j.ijrobp.2020.11.009
  16. King MT, Chen MH, Moran BJ, Braccioforte MH, Buzurovic I, Muralidhar V, et al. Brachytherapy monotherapy may be sufficient for a subset of patients with unfavorable intermediate risk prostate cancer. Urol Oncol. 2018;36:157 e15- e20. https://doi.org/10.1016/j.urolonc.2017.11.022
  17. Kent AR, Matheson B, Millar JL. Improved survival for patients with prostate cancer receiving high-dose-rate brachytherapy boost to EBRT compared with EBRT alone. Brachytherapy. 2019;18:313–21. https://doi.org/10.1016/j.brachy.2019.01.013
  18. Moran BJ, Rice SR, Chhabra AM, Amin N, Braccioforte M, Agarwal M. Long-term biochemical outcomes using cesium-131 in prostate brachytherapy. Brachytherapy. 2019;18:800–5. https://doi.org/10.1016/j.brachy.2019.07.002
  19. Goy BW, Burchette R, Soper MS, Chang T, Cosmatos HA. Ten-Year Treatment Outcomes of Radical Prostatectomy Vs External Beam Radiation Therapy Vs Brachytherapy for 1503 Patients With Intermediate-risk Prostate Cancer. Urology. 2020;136:180–9. https://doi.org/10.1016/j.urology.2019.09.040
  20. Martell K, Mendez LC, Chung HT, Tseng CL, Alayed Y, Cheung P, et al. Results of 15Gy HDR-BT boost plus EBRT in intermediate-risk prostate cancer: Analysis of over 500 patients. Radiother Oncol. 2019;141:149–55. https://doi.org/10.1016/j.radonc.2019.08.017
  21. Kasahara T, Ishizaki F, Kazama A, Yuki E, Yamana K, Maruyama R, et al. High-dose-rate brachytherapy and hypofractionated external beam radiotherapy combined with long-term androgen deprivation therapy for very high-risk prostate cancer. Int J Urol. 2020;27:800–6. https://doi.org/10.1111/iju.14305
  22. Sartor O, de Bono J, Chi KN, Fizazi K, Herrmann K, Rahbar K, et al. Lutetium-177-PSMA-617 for Metastatic Castration-Resistant Prostate Cancer. N Engl J Med. 2021;385:1091–103. https://doi.org/10.1056/NEJMoa2107322
  23. Pound CR, Partin AW, Eisenberger MA, Chan DW, Pearson JD, Walsh PC. Natural history of progression after PSA elevation following radical prostatectomy. JAMA. 1999;281:1591–7. https://doi.org/10.1001/jama.281.17.1591
  24. Thompson IM, Tangen CM, Paradelo J, Lucia MS, Miller G, Troyer D, et al. Adjuvant radiotherapy for pathological T3N0M0 prostate cancer significantly reduces risk of metastases and improves survival: long-term followup of a randomized clinical trial. J Urol. 2009;181:956–62. https://doi.org/10.1016/j.juro.2008.11.032
  25. Albertsen PC. Prostate cancer screening and treatment: where have we come from and where are we going? BJU Int. 2020;126:218–24. https://doi.org/10.1111/bju.15153
  26. Bartkowiak D, Thamm R, Siegmann A, Bohmer D, Budach V, Wiegel T. Lead-time bias does not falsify the efficacy of early salvage radiotherapy for recurrent prostate cancer. Radiother Oncol. 2021;154:255–9. https://doi.org/10.1016/j.radonc.2020.09.009
  27. Wiegel T, Bartkowiak D, Bottke D, Bronner C, Steiner U, Siegmann A, et al. Adjuvant radiotherapy versus wait-and-see after radical prostatectomy: 10-year follow-up of the ARO 96-02/AUO AP 09/95 trial. Eur Urol. 2014;66:243–50. https://doi.org/10.1016/j.eururo.2014.03.011
  28. Parker CC, Clarke NW, Cook AD, Kynaston HG, Petersen PM, Catton C, et al. Timing of radiotherapy after radical prostatectomy (RADICALS-RT): a randomised, controlled phase 3 trial. Lancet. 2020;396:1413–21. https://doi.org/10.1016/S0140-6736(20)31553-1
  29. Wang J, Kudchadker R, Choi S, Pettaway CA, Choi H, Hobbs BD, et al. Local recurrence map to guide target volume delineation after radical prostatectomy. Pract Radiat Oncol. 2014;4:e239–46. https://doi.org/10.1016/j.prro.2014.02.007
  30. Robin S, Jolicoeur M, Palumbo S, Zilli T, Crehange G, De Hertogh O, et al. Prostate Bed Delineation Guidelines for Postoperative Radiation Therapy: On Behalf Of The Francophone Group of Urological Radiation Therapy. Int J Radiat Oncol Biol Phys. 2021;109:1243–53. https://doi.org/10.1016/j.ijrobp.2020.11.010
  31. Pernthaler B, Kulnik R, Gstettner C, Salamon S, Aigner RM, Kvaternik H. A Prospective Head-to-Head Comparison of 18F-Fluciclovine With 68Ga-PSMA-11 in Biochemical Recurrence of Prostate Cancer in PET/CT. Clin Nucl Med. 2019;44:e566-e73. https://doi.org/10.1097/RLU.0000000000002703
  32. Counago F, Sancho G, Catala V, Hernandez D, Recio M, Montemuino S, et al. Magnetic resonance imaging for prostate cancer before radical and salvage radiotherapy: What radiation oncologists need to know. World J Clin Oncol. 2017;8:305–19. https://doi.org/10.5306/wjco.v8.i4.305
  33. Ross AE, Johnson MH, Yousefi K, Davicioni E, Netto GJ, Marchionni L, et al. Tissue-based Genomics Augments Post-prostatectomy Risk Stratification in a Natural History Cohort of Intermediate- and High-Risk Men. Eur Urol. 2016;69:157–65. https://doi.org/10.1016/j.eururo.2015.05.042
  34. Spratt DE, Dai DLY, Den RB, Troncoso P, Yousefi K, Ross AE, et al. Performance of a Prostate Cancer Genomic Classifier in Predicting Metastasis in Men with Prostate-specific Antigen Persistence Postprostatectomy. Eur Urol. 2018;74:107–14. https://doi.org/10.1016/j.eururo.2017.11.024
  35. Esteva A, Feng J, van der Wal D, Huang SC, Simko JP, DeVries S, et al. Prostate cancer therapy personalization via multi-modal deep learning on randomized phase III clinical trials. NPJ Digit Med. 2022;5:71. https://doi.org/10.1038/s41746-022-00613-w
  36. Wo JY, Zietman AL. Why does androgen deprivation enhance the results of radiation therapy? Urol Oncol. 2008;26:522–9. https://doi.org/10.1016/j.urolonc.2008.03.008
  37. Sood A, Keeley J, Palma-Zamora I, Chien M, Corsi N, Jeong W, et al. Anti-Androgen Therapy Overcomes the Time Delay in Initiation of Salvage Radiation Therapy and Rescues the Oncological Outcomes in Men with Recurrent Prostate Cancer After Radical Prostatectomy: A Post Hoc Analysis of the RTOG-9601 Trial Data. Ann Surg Oncol. 2022. https://doi.org/10.1245/s10434-022-11892-8
  38. Droz JP, Efstathiou E, Yildirim A, Cabrera P, Soo Kim C, Horchani A, et al. First-line treatment in senior adults with metastatic castration-resistant prostate cancer: A prospective international registry. Urol Oncol. 2016;34:234 e21–9. https://doi.org/10.1016/j.urolonc.2015.12.005
  39. Maines F, Caffo O, Veccia A, Trentin C, Tortora G, Galligioni E, et al. Sequencing new agents after docetaxel in patients with metastatic castration-resistant prostate cancer. Crit Rev Oncol Hematol. 2015;96:498–506. https://doi.org/10.1016/j.critrevonc.2015.07.013
  40. Caffo O, Ortega C, Di Lorenzo G, Sava T, De Giorgi U, Cavaliere C, et al. Clinical outcomes in a contemporary series of “young” patients with castration-resistant prostate cancer who were 60 years and younger. Urol Oncol. 2015;33:265 e15–21. https://doi.org/10.1016/j.urolonc.2015.02.016
  41. Kantoff PW, Higano CS, Shore ND, Berger ER, Small EJ, Penson DF, et al. Sipuleucel-T immunotherapy for castration-resistant prostate cancer. N Engl J Med. 2010;363:411–22. https://doi.org/10.1056/NEJMoa1001294
  42. Keizman D, Fosboel MO, Reichegger H, Peer A, Rosenbaum E, Desax MC, et al. Imaging response during therapy with radium-223 for castration-resistant prostate cancer with bone metastases-analysis of an international multicenter database. Prostate Cancer Prostatic Dis. 2017;20:289–93. https://doi.org/10.1038/pcan.2017.6
  43. Wang T, Languino LR, Lian J, Stein G, Blute M, Fitzgerald TJ. Molecular targets for radiation oncology in prostate cancer. Front Oncol. 2011;1:17. https://doi.org/10.3389/fonc.2011.00017
  44. Lu H, Wang T, Li J, Fedele C, Liu Q, Zhang J, et al. alphavbeta6 Integrin Promotes Castrate-Resistant Prostate Cancer through JNK1-Mediated Activation of Androgen Receptor. Cancer Res. 2016;76:5163–74. https://doi.org/10.1158/0008-5472.CAN-16-0543
  45. Wang T, Alavian MR, Goel HL, Languino LR, Fitzgerald TJ. Bicalutamide inhibits androgen-mediated adhesion of prostate cancer cells exposed to ionizing radiation. Prostate. 2008;68:1734–42. https://doi.org/10.1002/pros.20838
  46. Goel HL, Sayeed A, Breen M, Zarif MJ, Garlick DS, Leav I, et al. beta1 integrins mediate resistance to ionizing radiation in vivo by inhibiting c-Jun amino terminal kinase 1. J Cell Physiol. 2013;228:1601–9. https://doi.org/10.1002/jcp.24323
  47. Park CC, Zhang H, Kim S, Lee R, Bissell MJ. β1 Integrin inhibition enhances apoptosis post-ionizing radiation (IR) in breast cancer in 3 dimensional culture and in vivo. 49th Annual Meeting of the American Society for Therapeutic Radiology and Oncology. 2007;November 1, 2007. https://doi.org/10.1016/j.ijrobp.2007.07.179
  48. Albert JM, Cao C, Geng L, Leavitt L, Hallahan DE, Lu B. Integrin αvβ3 antagonist Cilengitide enhances efficacy of radiotherapy in endothelial cell and non-small-cell lung cancer models. Int J Radiat Oncol Biol Phys. 2006;65:1536–43. https://doi.org/10.1016/j.ijrobp.2006.04.036
  49. Wang T, Huang J, Vue M, Alavian MR, Goel HL, Altieri DC, et al. alphavbeta3 Integrin Mediates Radioresistance of Prostate Cancer Cells through Regulation of Survivin. Mol Cancer Res. 2019;17:398–408. https://doi.org/10.1158/1541-7786.MCR-18-0544
  50. Simon E, Goel HL, Teider N, Languino LR, Fitzgerald TJ. Ionizing Radiation Decreases Prostate Cancer Cell Adhesion and β1 Integrin Expression. An AACR Special Conference in Cancer Research in Collaboration with the Radiation Research Society; 2004 February 18–22, 2004; Laguna Cliffs Marriott Resort Dana Point, CA: American Association for Cancer Research. p. B15.
  51. Wang T, Carraway R, Chen H, Briggs J, FitzGerald TJ. ERK1 Mediated Epithelial-Mesenchumal Transition and Neuroendocrine Development in Prostate Cancer Cells that Survive High Dose Ionizing Radiation. International J of Radiation Oncology, Biology and Physics. 2012;84:S667–8. https://doi.org/10.1016/j.ijrobp.2012.07.1782
  52. Wang T, Carraway RE, LeRoche D, FitzGerald TJ. Disruption of ERK1/2 sensitizes radiation resistance prostate cancer cells to paclitaxel and ionizing radiation. International J of Radiation Oncology, Biology and Physics. 2014;90:S806. https://doi.org/10.1016/j.ijrobp.2014.05.2326
  53. Nickols NG, Nazarian R, Zhao SG, Tan V, Uzunangelov V, Xia Z, et al. MEK-ERK signaling is a therapeutic target in metastatic castration resistant prostate cancer. Prostate Cancer Prostatic Dis. 2019;22:531–8. https://doi.org/10.1038/s41391-019-0134-5
  54. Rodriguez-Berriguete G, Fraile B, Martinez-Onsurbe P, Olmedilla G, Paniagua R, Royuela M. MAP Kinases and Prostate Cancer. J Signal Transduct. 2012;2012:169170. https://doi.org/10.1155/2012/169170
  55. Loenarz C, Coleman ML, Boleininger A, Schierwater B, Holland PW, Ratcliffe PJ, et al. The hypoxia-inducible transcription factor pathway regulates oxygen sensing in the simplest animal, Trichoplax adhaerens. EMBO Rep. 2011;12:63–70. https://doi.org/10.1038/embor.2010.170
  56. Hussain M, Carducci MA, Slovin S, Cetnar J, Qian J, McKeegan EM, et al. Targeting DNA repair with combination veliparib (ABT-888) and temozolomide in patients with metastatic castration-resistant prostate cancer. Invest New Drugs. 2014;32:904–12. https://doi.org/10.1007/s10637-014-0099-0
  57. Koppers-Lalic D, Hackenberg M, de Menezes R, Misovic B, Wachalska M, Geldof A, et al. Noninvasive prostate cancer detection by measuring miRNA variants (isomiRs) in urine extracellular vesicles. Oncotarget. 2016;7:22566–78. https://doi.org/10.18632/oncotarget.8124
  58. Lin BB, Lei HQ, Xiong HY, Fu X, Shi F, Yang XW, et al. MicroRNA-regulated transcriptome analysis identifies four major subtypes with prognostic and therapeutic implications in prostate cancer. Comput Struct Biotechnol J. 2021;19:4941–53. https://doi.org/10.1016/j.csbj.2021.08.046
  59. Urabe F, Matsuzaki J, Yamamoto Y, Kimura T, Hara T, Ichikawa M, et al. Large-scale Circulating microRNA Profiling for the Liquid Biopsy of Prostate Cancer. Clin Cancer Res. 2019;25:3016–25. https://doi.org/10.1158/1078-0432.CCR-18-2849
  60. Ruiz-Plazas X, Altuna-Coy A, Alves-Santiago M, Vila-Barja J, Garcia-Fontgivell JF, Martinez-Gonzalez S, et al. Liquid Biopsy-Based Exo-oncomiRNAs Can Predict Prostate Cancer Aggressiveness. Cancers (Basel). 2021;13. https://doi.org/10.3390/cancers13020250
  61. Cullen J, Lynch JA, Klein EA, Van Den Eeden SK, Carroll PR, Mohler JL, et al. Multicenter Comparison of 17-Gene Genomic Prostate Score as a Predictor of Outcomes in African American and Caucasian American Men with Clinically Localized Prostate Cancer. J Urol. 2021;205:1047–54. https://doi.org/10.1097/JU.0000000000001484