7

In Situ Neuroblastoma: The Intriguing “Tumor” of Neuroectodermal Origin and the Putative Cancer Stem Cells

Consolato M. Sergi1,2

1Anatomic Pathology Division, Children’s Hospital of Eastern Ontario (CHEO), University of Ottawa, Ottawa, ON, Canada; 2Department of Laboratory Medicine and Pathology, University of Alberta, Edmonton, AB, Canada

Abstract: Neuroblastoma is the most prevalent solid tumor encountered outside of the central nervous system in infancy. It is considered an embryonal tumor arising from pluripotent sympathetic cells called neuroblasts with characteristic neurosecretory granules. They are positive for chromogranin A, and are double membrane bounded ultra-structurally. In rare occurrences, it can be identified at neonatal age or at very early infancy. In situ labelling of neuroblastoma has been used, but there is a remarkable controversy around it, because most of these clusters of neuroblastic cells do not exhibit a neoplastic potential. These clusters often regress, and these pediatric patients should not receive chemotherapy. This chapter reviews the challenges of this tumor and report on the heterogeneity of this kind of pediatric neoplasm with a focus on putative cancer stem cells.

Keywords: cancer stem cells; heterogeneity of neuroblastoma; in situ neuroblastoma; neuroblastoma screening programs; neuroectodermal origin

Address for Correspondence: Consolato M. Sergi, Anatomic Pathology Division, Children’s Hospital of Eastern Ontario (CHEO), University of Ottawa, Ottawa, ON, Canada. Email: csergi@cheo.on.ca

Cite this chapter as: Sergi CM. In Situ Neuroblastoma: The Intriguing “Tumor” of Neuroectodermal Origin and the Putative Cancer Stem Cells. In: Sergi CM, editor. Advancements in Cancer Research. Brisbane (AU): Exon Publications; Online first 27 Feb 2023. p. 107–116

Doi: https://doi.org/10.36255/neuroblastoma-in-situ

In: Sergi CM, editor. Advancements in Cancer Research. Exon Publications, Brisbane, Australia. ISBN: 978-0-6453320-9-4. Doi: https://doi.org/10.36255/advancements-in-cancer-research

Copyright: The Authors.

License: This open access article is licenced under Creative Commons Attribution-NonCommercial 4.0 International (CC BY-NC 4.0) https://creativecommons.org/licenses/by-nc/4.0/

INTRODUCTION

Neuroblastoma is the most prevalent tumor encountered outside of the central nervous system in infancy and fine-needle aspiration biopsy has been advocated for the diagnosis (1, 2). It is considered an embryonal tumor arising from pluripotent sympathetic cells called neuroblasts with characteristic neurosecretory granules, which are positive for chromogranin A and double membrane bounded ultra-structurally (3). During embryogenesis, the neuroblasts invaginate and migrate along the neuraxis. Then, they populate the adrenal medulla, the sympathetic ganglia, the Meissner (submucosus) and the Auerbach (myenteric) plexuses of the gastrointestinal tracts as well as other sites (1). Relevant prognostic factors in pediatric oncology are age, stage, and biological features identified in tumor cells. These characteristics are key for the risk stratification and the assignment of treatment protocols (1).

Neuroblastoma has an incidence of 10.5 per million in children under 15 years of age, but the rates keep increasing and the role of pesticides and insecticides during blastogenesis or the parental exposure has been recently suggested (46). In pediatric oncology, it accounts for 8–10% of all pediatric neoplasms, and for about 15% of cancer death in pediatrics (1, 7, 8). There is no significant geographical variation in the incidence between North America, Europe, and Australia. Despite there are also no differences in different ethnicities, neuroblastoma seems to be more frequent in boys than in girls (1.2:1 ratio). Although the peak incidence is between 0 and 4 years of age, neuroblastoma can occur also in later childhood and even adult cases have been described in the literature and the expression of cancer antigens are not limited to childhood (9). There are familial cases of neuroblastoma, but they are exceedingly rare. Apart from parental exposure to pesticides and insecticides, paternal exposure to electromagnetic fields or prenatal exposure to alcohol or phenobarbital have been listed as environmental factors (4). In infancy, the measurement of urinary catecholamine metabolites is a characteristic diagnostic procedure (1).

PATHOLOGY

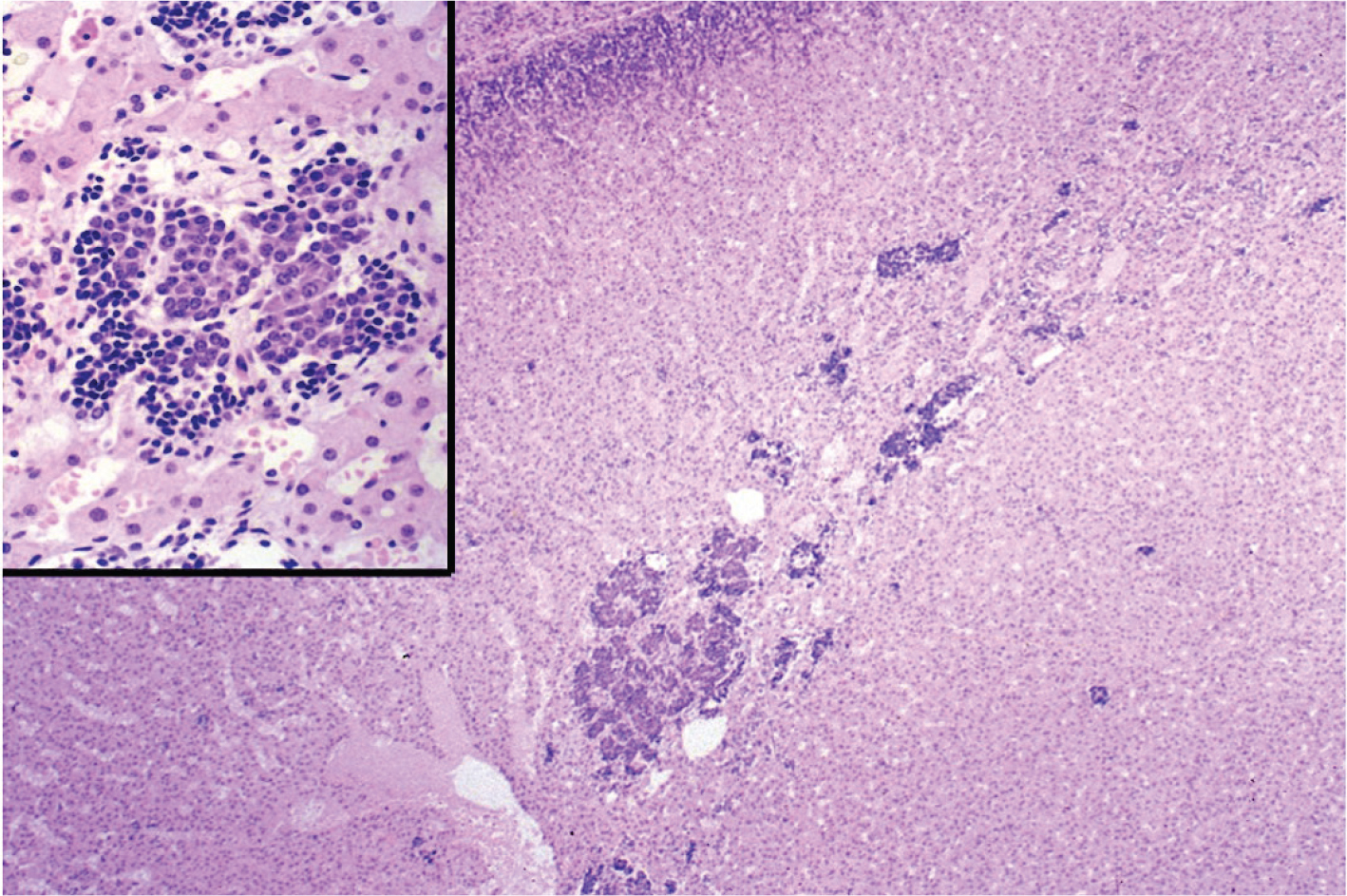
Neuroblastoma is a peripheral neuroblastic neoplasm, which belongs to the group of small round blue cell tumors of childhood (1) (Figure 1). Neuroblasts arise from progenitor cells of the sympathetic nervous system, which are also known as the sympathogonia of the sympathoadrenal lineage. Migrating from the neural crest of embryogenetic time, these cells build the sympathetic ganglia, the paraganglia, and the chromaffin cells of the adrenal medulla, thus reproducing the typical sites of neuroblastic neoplasms. It has been presumably indicated that defects in embryonic genes regulating the development of the neural crest are probably the underlying disorders causing the proliferation of halted stages of neuroblastic cell differentiation (10, 11). In embryonal tumorigenesis, developmental programs regulating self-renewal in neuronal stem cells, including the Wnt/Beta catenin, Notch, and Sonic hedgehog have been involved (1). In fact, Zhi et al. explored the role of Wnt/Beta-catenin in the modulation of the plasticity of the N2A cells-derived neurons and speculated the origin of neuroblastoma (12). These authors found that beta-catenin in its activated form was up-regulated and in pace with the clinical risk of neuroblastoma. The Hedgehog (HH) signaling pathway has been targeted by Wickström et al. (13). The use of specific inhibitors disclosed that inhibiting the HH signaling pathway at the level of GLI was most effective in decreasing the growth of this tumor. In addition, GANT61 sensitivity correlated with GLI1 positively and MYCN expression negatively in the tested neuroblastoma cell lines. These, and studies targeting the FOXO pathway have not yet modified the clinical practice or therapeutical strategy substantially (10, 11, 1416).

Fig 1

Figure 1. Neuroblastoma. Photomicrograph showing an overview and a high-power magnification of an in situ neuroblastoma illustrating the undifferentiated small round blue cell tumors in clusters exhibiting a high nucleus-cytoplasm ratio. The image is from the Neuroblastoma Atlas by the International Neuroblastoma Pathology Committee. Courtesy of Professor Hiroyuki Shimada, Department of Pathology, Stanford University, CA, USA.

THE QUEBEC AND GERMAN NEUROBLASTOMA SCREENING PROGRAMS

The International Neuroblastoma Pathology Classification (INPC) have identified the following four basic categories: (i) neuroblastoma (Schwannian stroma-poor); (ii) ganglioneuroblastoma, intermixed (Schwannian stroma-rich); (iii) ganglioneuroma (Schwannian stroma-dominant); and (iv) ganglioneuroblastoma, nodular (composite Schwannian stroma-rich/stroma-dominant and stroma-poor). The current classification ideated by Shimada et al. in 1984 stratify patients optimally using the age of the patient, the degree of neuroblast differentiation, the lack of Schwannian stromal development (stroma-poor vs. stroma-rich), the index of cellular proliferation with a singular index grouping both mitoses and karyorrhectic figures, the so-called MKI or mitosis-karyorrhexis index, and the pattern associated to nodularity (17). Briefly, two major categories of neuroblastoma patients have been identified. Patients with low-risk and intermediate-risk harbor excellent prognosis, while patients with high-risk disease disclose poor outcome rates despite intensive programs of chemotherapy. Four out of five patients aged 18 months or older show metastatic disease at presentation. This neuroblastoma presentation may include liver, bone, bone marrow, and lymph nodes. These categories have been implemented by additional information derived by molecular pathology. MYCN amplification is currently the most critical biomarker in patients suffering from neuroblastoma. The oncogene labelled MYCN is in the distal arm of chromosome 2 and amplified in one-fourth of de novo patients and is more often found in advanced stages of the disease. Additional biomarkers may also include H-ras expression (an oncogene, which correlates with lower stages of neuroblastoma), chromosome 1 deletion (this region has several tumor suppressor genes that control the neuroblastic differentiation), DNA index (a value greater than one indicating hyperdiploidy harbors good chemotherapeutic response, while a value lower than one indicating hypodiploidy necessitates a more aggressive chemotherapeutic approach), neurotrophin receptors (TrkA and TrkC genes expression are inversely correlated to the MYCN amplification, while TrkB is more often found in direct agreement of the MYCN amplification), apoptotic pathways disruption, CD44, and the multidrug resistance protein (MRP), but the last three seems to be controversial.

Very few screening programs have been established for the search of neuroblastoma at early stage. The Quebec Neuroblastoma Screening Project and the German Neuroblastoma Screening Program are the most important and verified screening programs used. These tests have been used in the past to identify this pediatric tumor at an early stage with the intent to discover it with a size amenable to be resected or starting chemotherapy protocols harboring a high success rate. Both programs demonstrated that neuroblastoma screening at age 1 or lower identifies more of this kind of pediatric neoplasms. However, they also indicated that these neoplasms, despite the increased incidence rates, harbor a good prognosis. Most importantly, and probably crucial for public health measures, these programs fail to detect the poor prognosis harboring neuroblastoma that presents clinically at an older age.

HETEROGENEITY CONUNDRUM AND THE IN-SITU NEUROBLASTOMA

Cancer stem cells (CSCs) have been considered the source of heterogeneous non-tumorigenic cell population of the neoplastic processes. Intratumor and intertumoral heterogeneity is now well-established, and they bring in huge challenges in the diagnosis and treatment of neoplasia. The literature seems to suggest that heterogeneity arises gradually as tumor-initiating (carcinoma) stem cells (18). They harbor genetic and/or epigenetic changes that permit them to serially separate into multiple tumor cell types. There are multiple studies supporting the paramount importance of CSCs. Bergsagel and Valeriote (19) recognized that an in vivo assay for colony formation is critical in identifying a small fraction of neoplastic cells that could build a tumor colony showing a low proliferative rate. Equally, Park et al. (20), in a colony-forming experiment, have revealed that only as few as 1 in 10,000 purified rodent myeloma cells could build colonies. Other studies revealed the importance of the CSC in acute myelogenous leukemia (AML) (21). It seems that very few neoplastic cells with a specific phenotype have the ability for self-renewal. These cells have the capability to initiate tumors in non-obese diabetic (NOD)/severe combined immunodeficiency (SCID) or NOD-SCID mice. Immunophenotypically, these cells are CD34+, CD38−, while the majority of the neoplastic cells present are a CD34−, CD38+. Likewise, Hamburger and Salmon demonstrated that in solid tumors, such as lung and ovarian cancer, 1 in 1,000 to 1 in 5,000 of the neoplastic cells disclose the potential to start colonies in soft agar assays (22).

Overall, these studies seem to consolidate the hypothesis that there is unquestionably a small cellular population that can support the consensus of tumor cell heterogeneity. In origin, it was alleged that neoplastic cells that constitute the majority of the tumor were homogenous. It was thought that each neoplastic cell could generate a new form of neoplasm as well as the option to gain stem cell-like assets (20, 21, 2325). Subsequently, with the documentation of CSCs with a not yet fully defined cellular hierarchy, the idea of a stochastic model has now become inadequate. Data are consolidating the CSCs Model over the Stochastic Model. In fact, not all cancer cells have the possibility to initiate cancer, but a considerable number of cancer cells, which must include CSCs, are required to initiate tumor formation in immunocompromised mice. This setting, in turn, suggests that more cells are needed to start tumors because CSCs make up only a small portion of cancer. In 1982, Pierce et al. showed that embryonic tissue might harbor the capability to both inhibit tumor growth and impose CSCs to differentiate to cancerous cells (26). This investigation proposes the concept of “differentiation therapy”. In consideration of this theory, CSCs may differentiate under specific circumstances (27). Thus, embryonic stem cells and their microenvironment could modify how CSCs originate and, more importantly, how they may be eliminated to achieve an enhancement in therapy. Several compounds, such as retinoic acid, have been recognized to have the capability to start cells to differentiate. Such compounds may sensitize tumors to chemo- and/or radiotherapy (27, 28). Further, the identification of several oncogenes, signaling pathways, and transcription factors that seem to be deregulated in CSCs have brought several scientists to think there may be new approaches for cancer therapy (29, 30).

Notch signaling is an example, in which over-activated CSCs may play a role. Therapeutical regimens that target Notch expression could evolve to the annihilation of CSCs (27, 3133). Fan et al. (33) demonstrated that blocking the Notch signaling using γ-secretase could deplete neural (brain) CSCs and eradicate tumorigenic potential. For neuroblastoma, another target is the oncogene, MYC. This oncogene has been demonstrated to be paramount in upholding the uniqueness of sarcoma stem cells. MYC-inactivated sarcoma stem cells differentiate into mature bone cells (osteocytes) (34). Moreover, CSCs have a DNA-repair mechanism and express drug-resistance proteins such as ABC family transporters (35). This property may explain the aptitude of CSCs to escape from chemotherapy and, consequently, trigger the recurrence of cancer. Thus, chemical compounds that inhibit ABC transporters in CSCs may give a better outcome comparing several chemotherapy regimens (36).

Neural crest cells (NCCs) aimed for the sympathoadrenal lineage can slowly migrate into the adrenals building Schwann Cell Precursors (SCPs). These cells can remain attached to the peripheral nerves. NCCs give origin to sympathoblasts, while SCPs give origin to both sympathoblasts and chromaffin cells. Neuroblastoma arises due to an arrest of differentiation during the normal development. It may be speculated that differences in cell progenitors (NCCs/SCPs) can be the cause of intertumoral variation, but dedifferentiation events in the neoplastic cells, which may not be uncommon as identified in IARC-based epidemiological studies (4, 5, 37), can drive the cell population to an early progenitor state (38). This dedifferentiation may lead to the intratumoral heterogeneity that we encounter in grossing and microscoping neuroblastomatous neoplasms of adrenal gland and peripheral nerve system as well as teratomas (39). Chromosomal instability is key in the clonal evolution of neuroblastoma because of the high rate of multiple somatic copy number changes identified in numerous studies. Also, epigenetic changes also contribute to clonal evolution of neuroblastoma leading to the emergence of events ultimately identifiable as major driver mutations during tumor progression. Thus, high-risk tumors may display features of undifferentiated cells such as bridge cells and chromaffin cells, while low-risk tumors have a higher amount of tumor cells that look like dedifferentiated sympathoblasts. On the other side, neuroblastoma is a complex neoplasm, and it is difficult to fully categorize it as CSCs-derived. According to the CSCs model, neoplasms arising from CSCs should disclose a hierarchical organization, which has not been the case with neuroblastoma yet. However, several investigations based on the expression of CD133, CD44, c-KIT, and SOX-10 have identified a subpopulation of CSCs in neuroblastoma. In the future, such markers may be included in histopathology reports aimed at clinicians to improve the Shimada classification. Although there is no concrete proof that neuroblastoma originates from CSCs, the differentiation events induced by external factors and the multipotent cells like NCCs make neuroblastoma disclose a “stemness” behavior. The therapeutic targeting of some signaling pathways, such as Akt/mTOR, MAPK, and STAT, should be of benefit for high-risk tumors. Finally, the heterogeneous behavior of neuroblastoma needs to be examined also in terms of microenvironment, which may influence the clonal evolution and the dynamic regulation of CSCs as seen in cardiac myxomas and other tumors (40).

The incidence of in situ neuroblastoma has been up to fifty times the expected rate of primary adrenal neuroblastoma in children aged 15 years or younger. There is a frank concern that in situ neuroblastoma does not harbor a neoplastic potential (38, 4145). There is also no proof that a clonal proliferation of genetically abnormal cells can originate in these lesions. Beckwith and Perrin indicated that probably very few of the in-situ neuroblastoma subsequently express a neoplastic phenotype (46). In Quebec, Canada, during the mass screening program by assessing vanillylmandelic acid (VMA) and homovanillic acid (HVA) in infants between three weeks and six months, the rate of neuroblastoma cases peaked up to three times without any significant decrease of mortality in this pediatric age group (47, 48). The concept of dormant rests is well known for nephrogenic rests of renal development and nephrogenic rests can be identified in nephroblastoma independently of favorable or unfavorable histology (49). Peripheral neuroblastic tumors can evolve to neuroblastoma, ganglioneuroblastoma, and ganglioneuroma, but they also may involute and/or maturate. In agreement with the International Neuroblastoma Pathology Classification, which separates favorable from unfavorable histology groups, the process of involution, also known as regression, is linked to a favorable group. Shimada argues that all microphotographs of the Beckwith and Perrin’s contribution disclose morphologic features of a favorable histology category (50).

CONCLUSION

Currently, low-risk neuroblastoma is usually treated with surgery only and chemotherapy is used as an effective salvage therapy for individuals who relapse after surgery. The surgical approach and moderate-dose, multi-agent therapy (cyclophosphamide, doxorubicin, carboplatin, etoposide) are reserved for patients with intermediate-risk neuroblastoma. Radiotherapy is considered if residual disease occurs after surgery and chemotherapy. High-risk patients with neuroblastoma require surgery, multi-agent-chemotherapy, and radiation. Four phases of therapy have been established, including induction (alkylating agents, platinum, anthracyclines, and inhibitors of topoisomerase II), local control, consolidation (myeloablation using etoposide, carboplatin, and melphalan), and targeting the minimal residual disease. It is currently clear that neuroblastoma is one of the most heterogenous neoplasms of small round blue cell tumors. There is substantial evidence that most of the in-situ neuroblastoma do not progress. The final target of the heterogeneity of neuroblastoma will be a challenge, but the current technology is helpful as suggested for epigenomics and single cell sequencing studies of several tumors, including hepatoblastoma. The bequest of Beckwith and Perrin’s classic contribution is a motivation for the future of young investigators to sit on the shoulders of giants. Here, creative thoughts may originate by re-reading old literature and implementing some ideas with new concepts originating from the most recent technological advancements as recently identified by Donato et al. (51) , who are applying artificial intelligence for studying the neuroblastoma.

Conflict of Interest: The author declares no potential of interest with respect to the research, authorship, and/or publication of this chapter.

Copyright and Permission Statement: The authors confirm that the materials included in this chapter do not violate copyright laws. Where relevant, appropriate permissions have been obtained from the original copyright holder(s), and all original sources have been appropriately acknowledged or referenced. Where relevant, informed consent has been obtained from patients or their caregivers as per applicable national or institutional policies.

Acknowledgment: This research has been funded by the generosity of the Stollery Children’s Hospital Foundation and supporters of the Lois Hole Hospital for Women through the Women and Children’s Health Research Institute (WCHRI, Grant ID #: 2096), Hubei Province Natural Science Funding for Hubei University of Technology (100-Talent Grant for Recruitment Program of Foreign Experts Total Funding: Digital PCR and NGS-based diagnosis for infection and oncology, 2017–2022), Österreichische Krebshilfe Tyrol (Krebsgesellschaft Tirol, Austrian Tyrolean Cancer Research Institute, 2008), Austrian Research Fund (Fonds zur Förderung der wissenschaftlichen Forschung, FWF, Grant ID L313-B13), Canadian Foundation for Women’s Health, Cancer Research Society (von Willebrand factor gene expression in cancer cells), Canadian Institutes of Health Research (Omega-3 Fatty Acids for Treatment of Intestinal Failure Associated Liver Disease: A Translational Research Study), and the Saudi Cultural Bureau, Ottawa, Canada. The funders had no role in study design, data collection and analysis, decision to publish, or preparation of the manuscript.

REFERENCES

  1. Sergi C. Pathology of Childhood and Adolescence. 1st ed: Springer; 2020 October 29, 2020. https://doi.org/10.1007/978-3-662-59169-7_1
  2. Sergi C, Dhiman A, Gray JA. Fine Needle Aspiration Cytology for Neck Masses in Childhood. An Illustrative Approach. Diagnostics (Basel). 2018;8(2). https://doi.org/10.3390/diagnostics8020028
  3. Sergi CM, Patry J, Coenraad H, McClintock J, Nicholls R, Steiner HJ, et al. Transmission Electron Microscopy: A Surgical Pathology Tool for Neuroblastoma. J Vis Exp. 2022;(185). https://doi.org/10.3791/63994
  4. Khan A, Feulefack J, Sergi CM. Pre-conceptional and prenatal exposure to pesticides and pediatric neuroblastoma. A meta-analysis of nine studies. Environ Toxicol Pharmacol. 2022;90:103790. https://doi.org/10.1016/j.etap.2021.103790
  5. Feulefack J, Khan A, Forastiere F, Sergi CM. Parental Pesticide Exposure and Childhood Brain Cancer: A Systematic Review and Meta-Analysis Confirming the IARC/WHO Monographs on Some Organophosphate Insecticides and Herbicides. Children (Basel). 2021;8(12). https://doi.org/10.3390/children8121096
  6. Ferreccio C, Roa JC, Bambs C, Vives A, Corvalan AH, Cortes S, et al. Study protocol for the Maule Cohort (MAUCO) of chronic diseases, Chile 2014–2024. BMC Public Health. 2016;16:122. https://doi.org/10.1186/s12889-015-2454-2
  7. Grupp SA, Dvorak CC, Nieder ML, Levine JE, Wall DA, Langholz B, et al. Committee COGSCTS. Children’s Oncology Group’s 2013 blueprint for research: stem cell transplantation. Pediatr Blood Cancer. 2013;60(6):1044–7. https://doi.org/10.1002/pbc.24437
  8. Grupp SA, Asgharzadeh S, Yanik GA. Neuroblastoma: issues in transplantation. Biol Blood Marrow Transplant. 2012;18(1 Suppl):S92–100. https://doi.org/10.1016/j.bbmt.2011.10.020
  9. Ghafouri-Fard S. Expression of Cancer-Testis Antigens in Pediatric Cancers. Asian Pac J Cancer Prev. 2015;16(13):5149–52. https://doi.org/10.7314/APJCP.2015.16.13.5149
  10. Hagenbuchner J, Rupp M, Salvador C, Meister B, Kiechl-Kohlendorfer U, Muller T, et al. Nuclear FOXO3 predicts adverse clinical outcome and promotes tumor angiogenesis in neuroblastoma. Oncotarget. 2016;7(47):77591–606. https://doi.org/10.18632/oncotarget.12728
  11. Geiger K, Hagenbuchner J, Rupp M, Fiegl H, Sergi C, Meister B, et al. FOXO3/FKHRL1 is activated by 5-aza-2-deoxycytidine and induces silenced caspase-8 in neuroblastoma. Mol Biol Cell. 2012;23(11):2226–34. DOI 10.1091/mbc.E11-06-0535. https://doi.org/10.1091/mbc.e11-06-0535
  12. Zhi F, Gong G, Xu Y, Zhu Y, Hu D, Yang Y, et al. Activated β-catenin forces N2A cell-derived neurons back to tumor-like neuroblasts and positively correlates with a risk for human neuroblastoma. Int J Biol Sci. 2012;8(2):289–97. https://doi.org/10.7150/ijbs.3520
  13. Wickström M, Dyberg C, Shimokawa T, Milosevic J, Baryawno N, Fuskevåg OM, et al. Targeting the hedgehog signal transduction pathway at the level of GLI inhibits neuroblastoma cell growth in vitro and in vivo. Int J Cancer. 2013;132(7):1516–24. https://doi.org/10.1002/ijc.27820
  14. Xu X, Sergi C. Pediatric adrenal cortical carcinomas: Histopathological criteria and clinical trials. A systematic review. Contemp Clin Trials. 2016;50:37–44. https://doi.org/10.1016/j.cct.2016.07.011
  15. Sergi C, Shen F, Liu SM. Insulin/IGF-1R, SIRT1, and FOXOs Pathways-An Intriguing Interaction Platform for Bone and Osteosarcoma. Front Endocrinol (Lausanne). 2019;10:93. https://doi.org/10.3389/fendo.2019.00093
  16. Yang Y, Shen F, Huang W, Qin S, Huang JT, Sergi C, et al. Glucose Is Involved in the Dynamic Regulation of m6A in Patients With Type 2 Diabetes. J Clin Endocrinol Metab. 2019;104(3):665–73. https://doi.org/10.1210/jc.2018-00619
  17. Shimada H, Chatten J, Newton WA, Jr., Sachs N, Hamoudi AB, Chiba T, et al. Histopathologic prognostic factors in neuroblastic tumors: definition of subtypes of ganglioneuroblastoma and an age-linked classification of neuroblastomas. J Natl Cancer Inst. 1984;73(2):405–16. https://doi.org/10.1093/jnci/73.2.405
  18. Shenouda S, Kulkarni K, Abuetabh Y, Sergi C. Cancer Stem Cells and their Management in Cancer Therapy. Recent Pat Anticancer Drug Discov. 2020; https://doi.org/10.2174/1574892815666200713145931
  19. Bergsagel DE, Valeriote FA. Growth characteristics of a mouse plasma cell tumor. Cancer Res. 1968;28(11):2187–96.
  20. Park CH, Bergsagel DE, McCulloch EA. Mouse myeloma tumor stem cells: a primary cell culture assay. J Natl Cancer Inst. 1971;46(2):411–22.
  21. Bonnet D, Dick JE. Human acute myeloid leukemia is organized as a hierarchy that originates from a primitive hematopoietic cell. Nat Med. 1997;3(7):730–7. https://doi.org/10.1038/nm0797-730
  22. Hamburger AW, Salmon SE. Primary bioassay of human tumor stem cells. Science. 1977;197(4302):461–3. https://doi.org/10.1126/science.560061
  23. Zen Y, Fujii T, Yoshikawa S, Takamura H, Tani T, Ohta T, et al. Histological and culture studies with respect to ABCG2 expression support the existence of a cancer cell hierarchy in human hepatocellular carcinoma. Am J Pathol. 2007;170(5):1750–62. https://doi.org/10.2353/ajpath.2007.060798
  24. Park TS, Donnenberg VS, Donnenberg AD, Zambidis ET, Zimmerlin L. Dynamic Interactions Between Cancer Stem Cells And Their Stromal Partners. Curr Pathobiol Rep. 2014;2(1):41–52. https://doi.org/10.1007/s40139-013-0036-5
  25. Reya T, Morrison SJ, Clarke MF, Weissman IL. Stem cells, cancer, and cancer stem cells. Nature. 2001;414(6859):105–11. https://doi.org/10.1038/35102167
  26. Pierce GB, Pantazis CG, Caldwell JE, Wells RS. Specificity of the control of tumor formation by the blastocyst. Cancer Res. 1982;42(3):1082–7.
  27. Sell S. Stem cell origin of cancer and differentiation therapy. Crit Rev Oncol Hematol. 2004;51(1):1–28. https://doi.org/10.1016/j.critrevonc.2004.04.007
  28. Graf T. Differentiation plasticity of hematopoietic cells. Blood. 2002;99(9):3089–101. https://doi.org/10.1182/blood.V99.9.3089
  29. Song LL, Miele L. Cancer stem cells--an old idea that’s new again: implications for the diagnosis and treatment of breast cancer. Expert Opin Biol Ther. 2007;7(4):431–8. https://doi.org/10.1517/14712598.7.4.431
  30. Schatton T, Frank MH. Cancer stem cells and human malignant melanoma. Pigment Cell Melanoma Res. 2008;21(1):39–55. https://doi.org/10.1111/j.1755-148X.2007.00427.x
  31. Ruiz-Vela A, Aguilar-Gallardo C, Simon C. Building a framework for embryonic microenvironments and cancer stem cells. Stem Cell Rev. 2009;5(4):319–27. https://doi.org/10.1007/s12015-009-9096-7
  32. Katoh M. Networking of WNT, FGF, Notch, BMP, and Hedgehog signaling pathways during carcinogenesis. Stem Cell Rev. 2007;3(1):30–8. https://doi.org/10.1007/s12015-007-0006-6
  33. Fan X, Matsui W, Khaki L, Stearns D, Chun J, Li YM, et al. Notch pathway inhibition depletes stem-like cells and blocks engraftment in embryonal brain tumors. Cancer Res. 2006;66(15):7445–52. https://doi.org/10.1158/0008-5472.CAN-06-0858
  34. Jain M, Arvanitis C, Chu K, Dewey W, Leonhardt E, Trinh M, et al. Sustained loss of a neoplastic phenotype by brief inactivation of MYC. Science. 2002;297(5578):102–4. https://doi.org/10.1126/science.1071489
  35. Lou H, Dean M. Targeted therapy for cancer stem cells: the patched pathway and ABC transporters. Oncogene. 2007;26(9):1357–60. https://doi.org/10.1038/sj.onc.1210200
  36. Dean M, Fojo T, Bates S. Tumour stem cells and drug resistance. Nat Rev Cancer. 2005;5(4):275–84. https://doi.org/10.1038/nrc1590
  37. Portier CJ, Armstrong BK, Baguley BC, Baur X, Belyaev I, Belle R, et al. Differences in the carcinogenic evaluation of glyphosate between the International Agency for Research on Cancer (IARC) and the European Food Safety Authority (EFSA). J Epidemiol Community Health. 2016;70(8):741–5. https://doi.org/10.1136/jech-2015-207005
  38. Gomez RL, Ibragimova S, Ramachandran R, Philpott A, Ali FR. Tumoral heterogeneity in neuroblastoma. Biochim Biophys Acta Rev Cancer. 2022;1877(6):188805. https://doi.org/10.1016/j.bbcan.2022.188805
  39. Hook S, Spicer R, Williams J, Grier D, Lowis S, Foot A, et al. Severe anemia in a 25-day-old infant due to gastric teratoma with focal neuroblastoma. Am J Perinatol. 2003;20(5):233–7. https://doi.org/10.1055/s-2003-42343
  40. Jantuan E, Chiu B, Chiu B, Shen F, Oudit GY, Sergi C. The tumor microenvironment may trigger lymphoproliferation in cardiac myxoma. Transl Oncol. 2021;14(1):100911. https://doi.org/10.1016/j.tranon.2020.100911
  41. Guin GH, Gilbert EF, Jones B. Incidental neuroblastoma in infants. Am J Clin Pathol. 1969;51(1):126–36. https://doi.org/10.1093/ajcp/51.1.126
  42. Turkel SB, Itabashi HH. The natural history of neuroblastic cells in the fetal adrenal gland. Am J Pathol. 1974;76(2):225–44.
  43. Bolande RP. Developmental pathology. Am J Pathol. 1979;94(3):623–83.
  44. Ikeda Y, Lister J, Bouton JM, Buyukpamukcu M. Congenital neuroblastoma, neuroblastoma in situ, and the normal fetal development of the adrenal. J Pediatr Surg. 1981;16(4 Suppl 1):636–44. https://doi.org/10.1016/0022-3468(81)90019-1
  45. Hasegawa R, Tatematsu M, Imaida K, Murasaki G, Ito N, Watanabe I, et al. Neuroblastoma in situ. Acta Pathol Jpn. 1982;32(3):537–46. https://doi.org/10.1111/j.1440-1827.1982.tb01409.x
  46. Beckwith JB, Perrin EV. In situ neuroblastomas: a contribution to the natural history of neural crest tumors. Am J Pathol. 1963;43(6):1089–104.
  47. Brodeur GM, Look AT, Shimada H, Hamilton VM, Maris JM, Hann HW, et al. Biological aspects of neuroblastomas identified by mass screening in Quebec. Med Pediatr Oncol. 2001;36(1):157–9. https://doi.org/10.1002/1096-911X(20010101)36:1<157::AID-MPO1038>3.0.CO;2-F
  48. Woods WG, Gao RN, Shuster JJ, Robison LL, Bernstein M, Weitzman S, et al. Screening of infants and mortality due to neuroblastoma. N Engl J Med. 2002;346(14):1041–6. https://doi.org/10.1056/NEJMoa012387
  49. Beckwith JB, Kiviat NB, Bonadio JF. Nephrogenic rests, nephroblastomatosis, and the pathogenesis of Wilms’ tumor. Pediatr Pathol. 1990;10(1–2):1–36. https://doi.org/10.3109/15513819009067094
  50. Shimada H. In situ neuroblastoma: an important concept related to the natural history of neural crest tumors. Pediatr Dev Pathol. 2005;8(3):305–6. https://doi.org/10.1007/s10024-005-2162-5
  51. Donato I, Velpula KK, Tsung AJ, Tuszynski JA, Sergi CM. Demystifying neuroblastoma malignancy through fractal dimension, entropy, and lacunarity. Tumori. 2023. https://doi.org/10.1177/03008916221146208