8

Molecular Imaging and Therapy of Neuroendocrine Tumors

Saima Muzahir1 Erin E. Grady2

1Saima Muzahir, Emory University School of Medicine, Department of Radiology and Imaging Sciences, Division of Nuclear Medicine and Molecular Imaging, Atlanta, GA, USA; 2Stanford University School of Medicine, Department of Radiology, Division of Nuclear Medicine and Molecular Imaging, Stanford, CA, USA.

Abstract: Neuroendocrine tumors are a diverse group of neoplastic entities with variable degrees of neuroendocrine differentiation that are imaged and, in some cases, treated with nuclear medicine techniques. They are generally uncommon, with an incidence of 50 per million people, and are often considered ‘zebra’ diagnoses. This chapter provides an overview of molecular imaging and therapy of neuroendocrine tumors with radiopharmaceuticals including 111In-octreotide, 123I-mIBG, 131I-mIBG, 68Ga- or 64Cu-DOTATATE, 177Lu-DOTATATE, and 18F-FDG. The biodistribution of these radiopharmaceuticals is reviewed along with dosing and, for therapies, the inclusion and exclusion criteria.

Keywords: DOTATATE, Ki-67, mIBG, molecular imaging of neuroendocrine tumors, peptide receptor radionuclide therapy

Author for Correspondence: Saima Muzahir, Emory University School of Medicine, Department of Radiology and Imaging Sciences, Division of Nuclear Medicine and Molecular Imaging, Atlanta, GA, USA. Email: saima.muzahir@emory.edu

Cite this chapter as: Muzahir S, Grady EE. Molecular Imaging and Therapy of Neuroendocrine Tumors. In: Hall LT. editor. Molecular Imaging and Therapy. Brisbane (AU): Exon Publications. Online first 11 Jul 2023.

Doi: https://doi.org/10.36255/molecular-imaging-therapy-endocrine-tumors

In: Hall LT. editor. Molecular Imaging and Therapy. Brisbane (AU): Exon Publications. ISBN: 978-0-6458663-9-1. Doi: https://doi.org/10.36255/molecular-imaging

Copyright: The Authors.

License: This open access article is licensed under Creative Commons Attribution-NonCommercial 4.0 International (CC BY-NC 4.0) https://creativecommons.org/licenses/by-nc/4.0/

INTRODUCTION

Neuroendocrine tumors (NET) are a diverse range of neoplastic entities with variable degrees of neuroendocrine differentiation that have an incidence of 50 people per million. They are often considered ‘zebra’ diagnoses. The grade, differentiation, anatomic site, embryologic origin, and whether these tumors are functioning or non-functioning help drive diagnosis and therapy. Genetics can increase the risk of acquiring a neuroendocrine tumor. Multiple endocrine neoplasia (MEN) type 1 (MEN1) disorders (also known as Wermer syndrome) can cause tumors in the pancreas, parathyroid, and pituitary glands.

MEN1 disorders are the result of mutations in the MEN1 gene leading to the impairment of the tumor suppressor protein menin. MEN2A, caused by a mutation of the RET gene, can lead to the development of medullary thyroid neoplasia, parathyroid neoplasia, pheochromocytoma, cutaneous amyloidosis, and Hirschsprung disease. MEN2B, also caused by a mutation of the RET gene, can cause medullary thyroid neoplasia, pheochromocytoma, ganglioneuroma with associated mucosal neuromas, hyperflexibility, and long arms, legs and fingers. MEN2B when combined with mucosal neuromas, intestinal ganglioneuromatosis and prominent corneal nerves is named MEN3. MEN4 is the latest of the MEN syndromes with a phenotype similar to MEN1, and is an autosomal dominant disease caused by a mutation in the cyclin-dependent kinase inhibitor 1B (CDKN1B) gene. It causes hyperthyroidism, pituitary neoplasia, and can also be associated with adrenal, kidney, and reproductive organ neoplasia.

Other genetic-based risks for NET include von Hippel-Lindau disease, tuberous sclerosis, and neurofibromatosis (both type 1 and type 2). Additional sporadic cases are present in addition to those related to known genetic predisposition (1). This chapter provides an overview of the molecular imaging and therapy of NET.

RADIOTRACERS AND MOLECULAR IMAGING OF NEUROENDOCRINE TUMORS

With the knowledge of molecular biology and tumor biology, we are able to use radiopharmaceuticals to localize NET in a noninvasive way to assist with staging and prognosis, and in some cases, assess patients prior to theragnostic therapies. This section provides a snapshot of the radiopharmaceuticals used in the molecular imaging of NET.

111In-octreotide

The radiopharmaceutical 111In-octreotide is a single-photon somatostatin analogue. There are many tumor types that express somatostatin receptors including adrenal medullary tumors, gastroenteropancreatic (GEP) NET, Merkel cell carcinoma, pituitary adenomas, medullary thyroid carcinoma, and small cell lung cancer. 111In-octreotide is currently falling out of favor for imaging due to its lower sensitivity compared to positron emission tomography (PET) somatostatin analog agents. However, it is important to know of this agent in the event that imaging with PET agents is not possible in a given location. It can assist in the detection and localization of the disease, staging, and follow-up of patients with somatostatin receptor-rich disease processes (2). Figure 1 shows the normal biodistribution of 111In-octreotide.

Fig 1

Figure 1. Normal distribution of 111In-octreotide scan. Note the prominent splenic and kidney activity, excretion in the urinary bladder and less prominent uptake in the liver and variable bowel activity.

The recommended administered activity is 6 mCi (222 MBq) in adults and 0.08 mCi/kg in pediatric patients (2). The half-life of 111In is 67 hours and has photon energies of 173 and 247 keV. When acquiring images with 111In-octreotide, 20% of the energy windows are centered on both photo peaks. Images are acquired at 24 hr, and occasionally at 48 hr if bowel activity needs to be assessed. Single-photon emission computed tomography (SPECT) and, more commonly, SPECT/computed tomography (SPECT/CT) are performed for further localization.

Grading of the degree of tumor uptake can be performed with the Krenning score. The Krenning score ranges from 1–4. Grade 1 uptake is less than the normal liver background activity, grade 2 uptake is equal to the normal liver background activity, grade 3 uptake is greater than the normal liver background activity, and grade 4 is uptake is greater than the spleen or kidney background activity. The higher the grade, the more likely patients will benefit from peptide receptor radionuclide therapy (PRRT), further discussed in this chapter (3).

123I-mIBG

The radiopharmaceutical 123I-metaiodobenzylguanadine (123I-mIBG) is a norepinephrine analogue, used to study the adrenergic nervous system. It localizes via the type-1 energy-dependent active amine transport that is overexpressed in NET. It is stored and localized in cytoplasmic storage granules in presynaptic adrenergic nerves (4). In particular, pheochromocytomas, neuroblastomas, ganglioneuroblastomas, ganglioneuromas, paragangliomas, medullary thyroid carcinoma, and Merkel cell tumors, MEN2 syndromes can be studied with 123I-mIBG (5).

If patients are being considered for therapy of metastatic disease with 131I-mIBG, imaging with 123I-mIBG must be completed first to ensure the patient would benefit from therapy. Before imaging, it is important that patients withdraw from interfering medications, such as certain antihypertensives, tricyclic and atypical antidepressants, sympathomimetics, and antipsychotics. However, some antihypertensives do not have any effect on mIBG uptake. These include alpha-blockers, angiotensin converting enzyme inhibitors, diuretics, and some beta-blockers (but not labetalol). An exhaustive list is found in the medical literature (5, 6). An additional step before administering 123I-mIBG is blocking the thyroid with Lugol’s solution, a super saturated solution of potassium iodide, or with potassium iodide capsules to minimize radiation to the thyroid gland.

The half-life of 123I is 13 hours. The imaging energy is 159 keV. There is no consensus as to the administered activity; however, the recommended administered activity of 123I-mIBG is 10 mCi (370 MBq) in adults or 0.14 mCi/kg (5.2 MBq/kg) in children with a minimum activity of 1 mCi (37 MBq) and a maximum of 10 mCi (370 MBq). Planar imaging is performed at 24h and possibly also at 48h post-injection. SPECT and, more commonly, SPECT/CT is employed for better localization of sites of uptake. Figure 2 shows the normal biodistribution of 123I-mIBG.

Fig 2

Figure 2. Normal biodistribution of 123I-mIBG. Note the prominent uptake int the salivary glands and liver. Urinary excretion is noted, and bowel activity can also be seen in a variable distribution.

SSTR2 PET analogues

68Ga-DOTATATE, DOTATOC, DOTANOC, and 64Cu-DOTATATE are somatostatin analogues (SSTR PET), and specifically of the somatostatin transmembrane receptor type-2 (SSTR2). These receptors are up regulated in many well-differentiated NET. Before using 177Lu-DOTATATE therapy, evaluation of tumor uptake is required. In general, the lower the Ki-67 score and the lower the grade of the tumor, the higher the degree of uptake, as further discussed in the therapy section of this chapter. In general, the sensitivity of the PET agents is greatly superior to that of the single-photon agent 111In-octreotide (Figure 3). PET/computed tomography (PET/CT) and PET/magnetic resonance imaging (PET/MRI) have been employed in imaging patients with various NET.

Fig 3

Figure 3. Normal distribution of 68Ga-DOTATATE. Note the prominent activity in the spleen and kidneys similar to 111In-octreotide. This scan also demonstrates prominent uptake in the pituitary and adrenal glands. Liver has less prominent uptake. Urinary excretion is again seen along with variable bowel activity.

The recommended administered activity for the 68Ga-SSTR analogues is 3–5 mCi (111-185 MBq) for adult patients. The recommended administered activity of 68Ga-DOTATATE is 0.074 mCi/kg (2MBq/kg) in pediatric patients up to a maximum of 5 mCi (185 MBq). 68Ga has a half-life of 68 minutes. The recommended activity of 64Cu-DOTATATE is 4 mCi (148 MBq) for adult patients. 64Cu has a half-life of 12.7 hour; to minimize radiation dose in pediatric patients, 68Ga-SSTR analogues are preferred. Patients with SSTR2 PET agents should be imaged 45–90 minutes post intravenous administration. As the 64Cu positron is more energetic, there can be more perceived image noise and some centers are increasing the time per bed position for image acquisition (7).

Appropriate indications for SSTR2 PET imaging include: (i) initial staging after histologic diagnosis of NET; (ii) localization of primary tumor in patients with known metastatic disease but unknown primary; (iii) selection of patients for SSTR-targeted PRRT, staging of NET before planned surgery; (iv) evaluation of mass suggestive of NET not amenable to endoscopic or percutaneous biopsy (e.g., ileal lesion, hyper vascular pancreatic mass, mesenteric mass); (v) monitoring of NET seen predominantly on SSTR PET; (vi) evaluation of patients with biochemical evidence and symptoms of NET without evidence on conventional imaging and without prior histologic diagnosis of NET; (vii) restaging at the time of clinical or laboratory progression without progression on conventional imaging or; (viii) new indeterminate lesion on conventional imaging with unclear progression (8). Other indications that may be appropriate depending on the clinical situation include: (i) restaging of patients with NET at initial follow-up after resection with curative intent; (ii) selection of nonfunctional NET patients for somatostatin analog (SSA) treatment; or (iii) monitoring patients with NET seen on both conventional imaging and SSTR PET with active disease and no clinical evidence of progression (8). Grading of the degree of tumor uptake can be performed with the Krenning score similar to that discussed in the 111In-octreotide section.

18F-FDG

Imaging with 18F-FDG is not for the application of all NET, but it can be used in some that are less well differentiated. Further discussion of applications of FDG is discussed elsewhere in this text (9).

MANAGEMENT OF NET

Most patients with NET present with advanced disease at the time of initial diagnosis (10). Multiple therapeutic options are available for NET based on the current guidelines (11). These include:

  1. Cytoreductive surgery
  2. Catheter-based liver-directed treatment and needle ablation
  3. SSA
  4. Mammalian target of rapamycin (mTOR) inhibitors
  5. Tyrosine kinase inhibitors
  6. Systemic chemotherapy
  7. PRRT

Locoregional disease

Surgical resection, whenever possible, is considered the only curative treatment according to the current NCCN guidelines (11). Patients with early-stage disease (stage I to III) should be evaluated for possible curative surgical resection (12). Small intraluminal lung or gastrointestinal neuroendocrine neoplasm (T1-T2) in the absence of nodal metastases can undergo curative endoscopic resection (13). The size and intraluminal growth on CT are predictors of treatment. Reuling et al. showed that lesions below 20 mm were successfully resected in 72% of patients (14). Endobronchial resection has limited long-term success of 58%, leading often to re-do surgery due to extraluminal disease extension, however, the prognosis is still very good with a disease-specific 10-year survival rate of 97% (15).

Liver-directed therapies

The liver is the most common site of distant NET metastases and is considered the major predictor of survival in NET. Approximately 80-90% of the small intestine and 60-70% of the pancreatic NET metastasize to the liver (16). The eligibility for liver surgery is considerably different for patients with metastatic NET than for those with other types of cancer. In liver-dominant disease, cytoreductive surgery is an option if more than 90% of the imaged liver volume can be safely removed and an operative mortality of < 10% can be ensured (17). If the patient is not a surgical candidate, multiple liver-directed therapies are available (18). The choice of liver directed therapy depends on liver tumor burden, growth rate, liver function, and presence of extrahepatic metastases (19). NET liver metastases predominantly derive their blood supply from the hepatic artery; therefore, liver-directed embolization techniques are widely used as a therapeutic option (20). These include transarterial bland embolization (TABE) that causes tumor ischemia, transarterial chemoembolization (TACE), and transarterial radioembolization (TARE) using 90Y (90-Yttrium). The most common indications for these procedures include alleviation of symptoms related to tumor load (e.g., abdominal pain, early satiety), and slowing disease progression (21). Head-to-head comparison of bland embolization versus TACE has shown similar efficacy for both techniques with a 5-year survival of 50–65% in chemoembolization vs. 40-67% in bland embolization (18, 22). Post-embolization syndrome, in the form of abdominal pain, nausea or vomiting, and low-grade fever, is one of the significant disadvantages of TABE and TACE. This may be related to large treatment volumes with frequent lobar distributions. Therefore, patients are observed overnight after the procedure (18).

Transarterial radioembolization (TARE)

TARE with 90Y labeled microspheres provides a valuable alternative with potentially improved tolerability compared to TACE (18), and an improved survival rate and tumor response (23). TARE is also known as selective internal radiation therapy (SIRT), which combines the effect of high-dose interstitial radiation and embolization of malignant microvasculature with microspheres. Beta particles in 90Y radiolabeled glass or resin spheres cause radiation-induced DNA damage in metastatic cancer cells in the liver (24, 25). This treatment is also effective for patients who have undergone unsuccessful TABE/TACE therapy and for the relief of symptoms in patients with carcinoid syndrome (23). However, individual embolization options should be discussed in an experienced multidisciplinary team setting, considering disease burden, patient’s clinical history, and available equipment. In very select cases without extrahepatic disease, several dedicated centers have performed liver transplantation for metastatic NET with a 5-year overall survival rate of 63% (26).

Somatostatin analogs

The majority of grade 1 and 2 GEP NET express somatostatin receptors; SSAs target the somatostatin receptor and can reduce symptoms and control tumor growth. SSAs are used as the first line for symptom control and have shown antiproliferative properties to reduce tumor progression relative to placebo in the PROMID (27), and CLARINET trials (28). Currently, two long-acting SSAs are approved for the treatment of patients with NET. These bind predominantly to subtypes 2 and 5 of the somatostatin receptors (SSTR2 and SSTR5).

PRRT: 177LU-DOTATATE

Well differentiated NET overexpress somatostatin receptors (mainly type 2) that make an ideal target for PRRT, delivering radiation through beta particles at the cellular level (29). The two radiopeptides commonly used for PRRT are 90Y DOTATOC and 177Lu DOTATATE (30). This consists of a radionuclide isotope such as Y-90 or lutetium 177 (177Lu), a chelator (1,4,7,10-tetraazacy-clododecane-1,4,7,10-tetraacetic acid), and a peptide (e.g., octreotide) that allows targeted delivery of radiation (31). The publication of a large multicenter phase III trial (NETTER-I) led to FDA approval of 177Lu DOTATATE (Trade name Lutathera) in 2018 for the treatment of somatostatin receptor-positive advanced midgut NET that had progressed on standard octreotide LAR (32). PRRT represents a significant treatment advance for patients with GEP NET because of its cytoreductive potential and its ability to elicit prolonged progression-free disease periods. PRRT response rates have been reported in the 15-40% range, which is significantly higher than the response rates with targeted treatments in the post-SSA setting, including everolimus or sunitinib (3335). The European Neuroendocrine Tumor Society (ENETS) recommended the use of PRRT as second-line therapy after progression with SSTR analogs (36). The guidelines of the National Comprehensive Cancer Network (NCCN) recommend PRRT as a potential therapy for SB-NET, Pan-NET, bronchial NET, and paraganglioma/pheochromocytoma (37).

177Lu is a medium-energy beta emitter that is bound to DOTATATE, selectively targets SSTR-positive cells in NET. 177Lu is a beta and gamma emitter with a maximum negative beta particle range of 2 mm and a half-life of 6.7 days. The beta emission resulting from the radioactive decay of 177Lu leads to DNA damage and cell death (36, 38).

Patient screening and eligibility

Patients are evaluated by a multidisciplinary NET team, including a medical oncologist, an oncological surgeon, and a nuclear medicine physician (who must be an authorized user) to decide on the appropriateness and timing of PRRT in individual patients. Ideal candidates for PRRT include patients with well-differentiated and moderately-differentiated neuroendocrine carcinomas defined as NET grade 1 or 2 according to the recent WHO 2010 classification (39). Patients considered for PRRT should undergo diagnostic somatostatin receptor imaging such as SSTR PET scan or SSTR scintigraphy (111In-pentetreotide) to demonstrate adequate SSTR expression (40) (Figure 4). The two FDA approved SSTR positron emission tomography (PET) imaging agents are Gallium-68 (68Ga) DOTATATE and Copper-64 (64Cu) DOTATATE. These diagnostic imaging agents constitute diagnostic components of PRRT Theranostics.

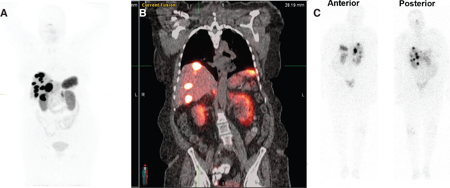
Fig 4

Figure 4. A 74-year-old female with advanced and inoperable metastatic ileal NET. A. 68Ga-DOTATATE (SSTR PET) MIP image and B. Fused coronal image show multiple intensely somatostatin receptor-rich tumors in the liver and portocaval lymph node.

Eligibility criteria

Patients eligible for PRRT should have the following characteristics (41, 42).

  1. Inoperable or metastatic grade I or grade II NET
  2. Sufficient tumor uptake/somatostatin receptor expression on imaging (radiotracer uptake greater than liver uptake)
  3. Sufficient bone marrow reserves (grade 1 and grade 2 hematologic toxicity is usually accepted)
  4. Creatinine clearance greater than 50 ml/min
  5. Karnofsky performance status greater than 50
  6. Expected survival longer than 3 months.

The recommended laboratory tests for PRRT are summarized in Table 1. (43). PRRT is not indicated in patients with significant sites of active disease lacking SSTR expression, this can be confirmed by increased uptake in FDG PET/CT (41).

TABLE 1 Laboratory criteria prior to treatment with 177Lu-DOTATATE

Parameter Acceptable value prior to PRRT
Hemoglobin >8 g/dL
White blood count (WBC) >2K/mm3
Platelets >70K/mm3
Absolute neutrophil count (ANC) >1000
Estimated glomerular filtration rate (GFR) >50 mL/min
Total bilirubin ≤3 x ULN
Serum albumin >3.0 g/dL

Contraindications

These can be broadly classified into absolute and relative contraindications. The absolute contraindications are pregnancy, lactation, and severe cardiac impairment (New York Heart Association grade III or IV). The relative contraindications are:

  1. Poor bone marrow reserve (WBC count < 2000/μL, absolute neutrophil count < 1000/μL, platelet count < 75,000/μL, hemoglobin concentration < 8 g/dL)
  2. Severely impaired renal function (estimated GFR < 50 ml/min, creatinine clearance < 50ml/min)
  3. Compromised liver function (total bilirubin level > 3 times upper limit of normal, serum albumin level < 3.0 g/dL, prothrombin time > 1.5 times upper limit of normal)

Administration

The nuclear medicine facility that offers 177Lu-DOTATATE must follow the federal and state regulatory radiation safety guidelines. Most treatment sites offer PRRT in an outpatient setting in a properly designed treatment room with a separate bathroom. The bathroom and surrounding floor should be lined to protect the area by contamination from radioactive urine and other possible contamination. The therapy room does not have to be lead-lined given the short range of beta particles (36). It is important to have close involvement of the radiation safety team, who is highly qualified in the safe handling of unsealed radiation sources, the management of radioactive waste and handling accidental contamination (44). The administration of radiopeptide takes place under close supervision of a nuclear medicine physician who is an authorized user. During the administration of the radiopeptide, a resuscitation cart must be available, and a protocol must be in place in handling emergency situations such as neuroendocrine tumor crisis, or severe extravasation of the radiopeptide (36, 45).

Patient preparation

Long-acting SSAs are discontinued for at least 4 weeks prior to 177Lu-DOTATATE treatment and can be administered between 4 and 24 hours after each dose of 177Lu-DOTATATE. Short acting SSAs are discontinued at least 24 hours prior to initiating 177Lu-DOTATATE therapy. Antiemetic premedication is administered prior to the start of the amino acid solution infusion. Intravenous amino acid infusion containing L-lysine and L-arginine is administered 30 minutes before administering 177Lu-DOTATATE. A three-way valve is used to administer amino acids using the same venous access as 177Lu-DOTATATE, or amino acids can be administered through a separate venous access in the patient’s other arm. Amino acid infusion is continued for at least 3 hours after the infusion of 177Lu-DOTATATE to protect the kidneys from radioactivity (package insert, Advanced Accelerator Applications) (36).

Infusion method

The radiopharmaceutical should be administered via an indwelling catheter to ensure safe intravenous administration and prevent paravascular infiltration and should be administered for 10 to 30 min, depending on the infusion system used. There are two recommended methods of IV administration, namely gravity-based infusion and infusion pump. In the gravity-based method, two needles are inserted into the 177Lu-DOTATATE vial; these include a short (2.5 cm, 20 gauge) needle into the 177Lu-DOTATATE vial and is connected via a catheter to 500 mL 0.9% sterile sodium chloride solution to transport 177Lu-DOTATATE during infusion. It is important to ensure that the short needle does not touch the 177Lu-DOTATATE solution in the vial and that the sodium chloride solution does not flow into the 177Lu-DOTATATE vial prior to initiation of the 177Lu-DOTATATE infusion. The second is a long needle (9 cm, 18 gauge) into the 177Lu-DOTATATE vial ensuring that this long needle touches and is secured to the bottom of the 177Lu-DOTATATE vial during the entire infusion. The long needle is connected to the patient by an intravenous catheter that is prefilled with 0.9% sterile sodium chloride solution and is used exclusively for the infusion of 177Lu-DOTATATE into the patient. The infusion pump method requires manual draw of the contents of the vial into a syringe and administration with an automated syringe pump (package insert, Advanced Accelerator Applications) (36).

The recommended dose of 177Lu-DOTATATE is 7.4 GBq (200 mCi) ± 10% every 8 weeks for a total of four doses (package insert, Advanced Accelerator Applications). The interval between two treatments can be extended to up to 16 weeks to recover from hematologic toxicity (45). The most common and most serious side effects of 177Lu-DOTATATE include vomiting, nausea, decreased blood cell counts, increased liver enzymes, decreased blood potassium levels, and increased blood glucose.

Radiation safety precautions after receiving 177Lu-DOTATATE therapy

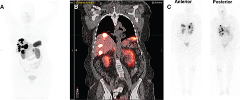
Radiation safety precautions for patients after receiving 177Lu-DOTATATE therapy are to restrict the dose received by patients’ family members to less than 5 mSv in 5 years and to members of the public to less than 1 mSv per year. Patients receive oral and written radiation safety precautions for three days after receiving therapy. Blood and urine are the main sources of contamination during and after radionuclide administration. 177Lu-DOTATATE is excreted primarily in urine, therefore, the foremost focus for the first 3 days after therapy is to prevent urinary contamination (46). During this time, a double flush of the toilet is recommended after urination. Patients should wash their hands after using the bathroom. The RADAR website has an online tool that allows the calculation of cumulative doses to family members or members of the public from exposure to patients treated with 177Lu-DOTATATE (47). In addition to the beta particles, 177Lu-DOTATATE also emits two gamma rays (113 KeV and 208KeV) with low relative abundance (6.2% and 10.4% respectively) (48) (Figure 5).

Fig 5

Figure 5. 74-year-old female with advanced and inoperable metastatic ileal NET. A. 68Ga-DOTATATE MIP image and B. Fused coronal image show multiple intensely somatostatin receptor-rich tumors in the liver and portocaval lymph node. C. Post-therapy emission scan acquired 7 days after 117Lu-DOTATATE therapy (anterior and posterior images) Somatostatin receptor rich tumor in liver and a portocaval lymph node.

Post- PRRT monitoring

Patients are instructed to continue care with the referring clinicians. For frequent monitoring of hematologic toxicity and side effects, repeat complete blood cell counts (CBC), liver and kidney function evaluations, and biomarker checks can be performed every 4 to 8 weeks after completion of therapy. CBC count and creatinine measurement between PRRT cycles, usually 4 weeks after therapy, can be considered. Contrast-enhanced CT or MRI or 68Ga-DOTATATE PET/CT can be performed 3–6 months after PRRT completion for response assessment (49).

PRRT in grade 3 NET

Grade 3 NET do not usually respond to the standard treatments which are traditionally used in NET G1–G2 such as somatostatin analogs, everolimus and sunitinib. However, recently, several retrospective studies have shown that high-grade tumors in a substantial number of cases have increased uptake on somatostatin receptor imaging indicating high tumor SSTR expression, and that these patients seem to benefit from PRRT (50).

Other somatostatin receptor-expressing tumors

For tumors such as pheochromocytoma, paraganglioma, neuroblastoma, and medullary thyroid carcinoma, surgical resection remains the mainstay of treatment for resectable tumors. For locally unresectable tumors, if asymptomatic, observation is recommended. In advanced metastatic disease, if tumors are positive on the 123I- or 131I-mIBG scan, then treatment with high-specific-activity (HSA) iobenguane I-131 or other iodine-131-mIBG therapy is recommended (51, 52). If tumors show adequate SSTR expression on imaging, then PRRT with 177Lu -DOTATATE can be considered (53, 54).

mIBG THERAPY

For patients with only liver lesions, or when the main tumor burden is in the liver, 90Y SIR-spheres with or without chemotherapy are preferred. For patients with inoperable metastatic disease, 131I-mIBG therapy can be offered after confirmation of 131I-mIBG avid lesions on diagnostic mIBG imaging. In August 2018, 131I-mIBG:Iobenguane (AZEDRA) was approved by the FDA for adult and pediatric patients 12 years and older with pheochromocytoma and paraganglioma that are positive for the norepinephrine transporter (as determined by iobenguane scan), and who require systemic anticancer therapy. Other indications for mIBG therapy include inoperable or stage III or IV neuroblastoma, inoperable neural crest tumors, and recurrent metastatic medullary carcinoma thyroid. 131I-mIBG therapy is primarily useful to reduce the symptoms of metastatic disease, increasing quality of life. There is often a need for more than two sessions of therapy. Patients receive written and verbal information about the procedure before receiving mIBG therapy. Informed written consent is also obtained from the patient (55). Therapy involves a multidisciplinary approach with the participation of pediatric specialist staff when treating children with mIBG therapy (56). It is important to ensure that the facility administering 131I-mIBG therapy has appropriate personnel, radiation safety equipment, procedures available for waste handling and disposal, handling of contamination, monitoring personnel for accidental contamination, and also controlling contamination spread. The prerequisites for 131I-mIBG therapy are histopathologically proven NET with positive mIBG scintigraphy, adequate thyroidal blockade, withdrawal of drugs known to interfere with mIBG uptake.

Mechanism of action and contraindications of mIBG therapy

131I is a gamma and beta emitter. 131I-mIBG can be used for both imaging and therapy. The beta emissions from 131I have a cytocidal effect on tumor cells. Being a systemic agent coupled with effective beta emissions from 131I, it achieves a higher therapeutic efficiency at multiple sites in one sitting, when compared to external beam radiation therapy. The contraindications to mIBG therapy are absolute and relative. Absolute contraindications include pregnancy, breast feeding, renal failure, and life expectancy of less than 3 months. Relative contraindications include a glomerular filtration rate of less than 30 ml/min, a myelosuppression (total white cell count) of less than 3 x 109/L, platelets less than 100 x 109/L, progressive renal or hematologic toxicity, and unfit for isolation. In the event of myelosuppression and renal impairment, the dose of administered activity should be reduced (57).

mIBG therapy administration

The administration of 131I-mIBG therapy should be carried out by appropriately trained medical personnel with support nursing staff and available medical physics expert (57). Treatment is offered in an inpatient setting. The treatment room, bathroom, and surrounding floor should be lined up to protect the area from contamination from radioactive urine and other possible contamination. Prophylactic antiemetics are given prior to therapy. mIBG therapy is administered through an indwelling cannula or central venous line using a lead-shielded infusion pump system. The infusion line is flushed at the same rate at the end of the procedure. It is important to monitor vital signs during mIBG administration. Vital signs are checked before and after infusion and at least twice daily thereafter. More frequent monitoring is recommended for catecholamine-secreting tumors. Short-acting alpha or beta blockers should be available for emergency use in the event of catecholamine surge during or immediately after 131I-mIBG administration. In practice, unstable hypertension can be managed by reducing or temporarily stopping the 131I-mIBG infusion. In some cases, additional alpha or beta blockers are essential (57). The usual administered activities range between 3.7 GBq (100 mCi) and 11.2 GBq (300 mCi)(56). The administered activity may be modified for medical reasons such as tumor burden or according to local legislation. In 2018, FDA approved 131I-Iobenguane (Azedra, Progenics pharmaceuticals) for the treatment of rare NET of the adrenal gland and other tissue areas. Azedra is supplied in two therapeutic doses administered 90 days apart.

Post-therapy follow-up

Verbal and written instructions are given to the caregivers of patients to avoid unnecessary radiation exposure to family members and the general public (57). Patients are encouraged to have good hydration for about 72 hours posttherapy to limit extratumoral radiation burden, especially to the bladder. A 5- to 7-day post-therapy scan is usually performed. Laboratory tests such as CBC, renal function, and liver function are performed every 2 weeks for 12 weeks. Thyroid function tests are performed every 3 months for a year.

Adverse effects

Early side effects include temporary nausea and vomiting, usually during the first two days after therapy. Temporary myelosuppression which typically occurs 4 to 6 weeks after therapy. Deterioration in renal function is a rare side effect and is observed in patients who already have compromised renal function secondary to previous chemotherapy. Rare hypertensive crisis due to the release of catecholamines, will require alpha blockade. Late effects may include hypothyroidism (after inadequate thyroid blockade), persistent hematologic toxicity, and, very rarely, sequela malignancy such as myeloproliferative disorder (leukemia) or secondary solid tumors (58). The 131I-mIBG dose can be repeated if needed after 4-6 months.

CONCLUSION

Molecular imaging and therapy are important tools in the diagnosis and management of a wide range of NET. It is important for the nuclear medicine professional to understand which radiopharmaceuticals to suggest for the best evaluation of these patients. Nuclear medicine professionals should also understand the management of minor and major complications related to radionuclide therapies.

Conflict of Interest: The authors declare that they have no potential conflict of interest with respect to research, authorship, and / or publication of this chapter.

Copyright and Permission Statement: The authors confirm that the materials included in this chapter do not violate copyright laws. Where relevant, appropriate permissions have been obtained from the original copyright holder(s), and all original sources have been appropriately acknowledged or referenced. Where relevant, informed consent has been obtained from patients or their caregivers according to applicable national or institutional policies.

REFERENCES

  1. Oronsky B, Ma PC, Morgensztern D, Carter CA. Nothing But NET: A Review of Neuroendocrine Tumors and Carcinomas. Neoplasia. 2017;19(12):991–1002. https://doi.org/10.1016/j.neo.2017.09.002
  2. Balon HR, Brown TL, Goldsmith SJ, Silberstein EB, Krenning EP, Lang O, et al. The SNM practice guideline for somatostatin receptor scintigraphy 2.0. J Nucl Med Technol. 2011;39(4):317–24. https://doi.org/10.2967/jnmt.111.098277
  3. Kwekkeboom DJ, Krenning EP. Somatostatin receptor imaging. Semin Nucl Med. 2002;32(2):84–91. https://doi.org/10.1053/snuc.2002.31022
  4. Das S, Sakhare N, Mathur A, Mallia MB, Mirapurkar S, Sheela M, et al. Synthesis and evaluation of (99m)Tc-analogues of [(123/131)I]mIBG prepared via [(99m)Tc][Tc(CO)(3)(H(2)O)(3)](+) synthon for targeting norepinephrine transporter. Nucl Med Biol. 2019;68–69:49–57. https://doi.org/10.1016/j.nucmedbio.2019.01.001
  5. Bombardieri E, Giammarile F, Aktolun C, Baum RP, Bischof Delaloye A, Maffioli L, et al. 131I/123I-metaiodobenzylguanidine (mIBG) scintigraphy: procedure guidelines for tumour imaging. Eur J Nucl Med Mol Imaging. 2010;37(12):2436–46. https://doi.org/10.1007/s00259-010-1545-7
  6. Stefanelli A, Treglia G, Bruno I, Rufini V, Giordano A. Pharmacological interference with 123I-metaiodobenzylguanidine: a limitation to developing cardiac innervation imaging in clinical practice? Eur Rev Med Pharmacol Sci. 2013;17(10):1326–33.
  7. Hope TA, Allen-Auerbach M, Bodei L, Calais J, Dahlbom M, Dunnwald LK, et al. SNMMI Procedure Standard/EANM Practice Guideline for SSTR PET: Imaging Neuroendocrine Tumors. J Nucl Med. 2023;64(2):204–10. https://doi.org/10.2967/jnumed.122.264860
  8. Hope TA, Bergsland EK, Bozkurt MF, Graham M, Heaney AP, Herrmann K, et al. Appropriate Use Criteria for Somatostatin Receptor PET Imaging in Neuroendocrine Tumors. J Nucl Med. 2018;59(1):66–74. https://doi.org/10.2967/jnumed.117.202275
  9. Hofman MS, Hicks RJ. Changing paradigms with molecular imaging of neuroendocrine tumors. Discov Med. 2012;14(74):71–81.
  10. Riihimaki M, Hemminki A, Sundquist K, Sundquist J, Hemminki K. The epidemiology of metastases in neuroendocrine tumors. Int J Cancer. 2016;139(12):2679–86. https://doi.org/10.1002/ijc.30400
  11. 2022 [Available from: https://www.nccn.org/login?ReturnURL=https://www.nccn.org/professionals/physician_gls/pdf/neuroendocrine.pdf.
  12. Dasari A, Shen C, Halperin D, Zhao B, Zhou S, Xu Y, et al. Trends in the Incidence, Prevalence, and Survival Outcomes in Patients With Neuroendocrine Tumors in the United States. JAMA Oncol. 2017;3(10):1335–42. https://doi.org/10.1001/jamaoncol.2017.0589
  13. Hofland J, Kaltsas G, de Herder WW. Advances in the Diagnosis and Management of Well-Differentiated Neuroendocrine Neoplasms. Endocr Rev. 2020;41(2):371–403. https://doi.org/10.1210/endrev/bnz004
  14. Reuling E, Dickhoff C, Plaisier PW, Coupe VMH, Mazairac AHA, Lely RJ, et al. Endobronchial Treatment for Bronchial Carcinoid: Patient Selection and Predictors of Outcome. Respiration. 2018;95(4):220–7. https://doi.org/10.1159/000484984
  15. Brokx HA, Paul MA, Postmus PE, Sutedja TG. Long-term follow-up after first-line bronchoscopic therapy in patients with bronchial carcinoids. Thorax. 2015;70(5):468–72. https://doi.org/10.1136/thoraxjnl-2014-206753
  16. Pavel M, Baudin E, Couvelard A, Krenning E, Oberg K, Steinmuller T, et al. ENETS Consensus Guidelines for the management of patients with liver and other distant metastases from neuroendocrine neoplasms of foregut, midgut, hindgut, and unknown primary. Neuroendocrinology. 2012;95(2):157–76. https://doi.org/10.1159/000335597
  17. Howe JR, Cardona K, Fraker DL, Kebebew E, Untch BR, Wang YZ, et al. The Surgical Management of Small Bowel Neuroendocrine Tumors: Consensus Guidelines of the North American Neuroendocrine Tumor Society. Pancreas. 2017;46(6):715–31. https://doi.org/10.1097/MPA.0000000000000846
  18. Vogl TJ, Naguib NN, Zangos S, Eichler K, Hedayati A, Nour-Eldin NE. Liver metastases of neuroendocrine carcinomas: interventional treatment via transarterial embolization, chemoembolization and thermal ablation. Eur J Radiol. 2009;72(3):517–28. https://doi.org/10.1016/j.ejrad.2008.08.008
  19. Chen H, Hardacre JM, Uzar A, Cameron JL, Choti MA. Isolated liver metastases from neuroendocrine tumors: does resection prolong survival? J Am Coll Surg. 1998;187(1):88–92; discussion -3. https://doi.org/10.1016/S1072-7515(98)00099-4
  20. Nazario J, Gupta S. Transarterial liver-directed therapies of neuroendocrine hepatic metastases. Semin Oncol. 2010;37(2):118–26. https://doi.org/10.1053/j.seminoncol.2010.03.004
  21. Lehrman ED, Fidelman N. Liver-Directed Therapy for Neuroendocrine Tumor Liver Metastases in the Era of Peptide Receptor Radionuclide Therapy. Semin Intervent Radiol. 2020;37(5):499–507. https://doi.org/10.1055/s-0040-1720951
  22. Harring TR, Nguyen NT, Goss JA, O’Mahony CA. Treatment of liver metastases in patients with neuroendocrine tumors: a comprehensive review. Int J Hepatol. 2011;2011:154541. https://doi.org/10.4061/2011/154541
  23. Jia Z, Wang W. Yttrium-90 radioembolization for unresectable metastatic neuroendocrine liver tumor: A systematic review. Eur J Radiol. 2018;100:23–9. https://doi.org/10.1016/j.ejrad.2018.01.012
  24. Kennedy A, Nag S, Salem R, Murthy R, McEwan AJ, Nutting C, et al. Recommendations for radioembolization of hepatic malignancies using yttrium-90 microsphere brachytherapy: a consensus panel report from the radioembolization brachytherapy oncology consortium. Int J Radiat Oncol Biol Phys. 2007;68(1):13–23. https://doi.org/10.1016/j.ijrobp.2006.11.060
  25. Murthy R, Kamat P, Nunez R, Madoff DC, Gupta S, Salem R, et al. Yttrium-90 microsphere radioembolotherapy of hepatic metastatic neuroendocrine carcinomas after hepatic arterial embolization. J Vasc Interv Radiol. 2008;19(1):145–51. https://doi.org/10.1016/j.jvir.2007.09.006
  26. Moris D, Tsilimigras DI, Ntanasis-Stathopoulos I, Beal EW, Felekouras E, Vernadakis S, et al. Liver transplantation in patients with liver metastases from neuroendocrine tumors: A systematic review. Surgery. 2017;162(3):525–36. https://doi.org/10.1016/j.surg.2017.05.006
  27. Rinke A, Muller HH, Schade-Brittinger C, Klose KJ, Barth P, Wied M, et al. Placebo-controlled, double-blind, prospective, randomized study on the effect of octreotide LAR in the control of tumor growth in patients with metastatic neuroendocrine midgut tumors: a report from the PROMID Study Group. J Clin Oncol. 2009;27(28):4656–63. https://doi.org/10.1200/JCO.2009.22.8510
  28. Caplin ME, Pavel M, Cwikla JB, Phan AT, Raderer M, Sedlackova E, et al. Lanreotide in metastatic enteropancreatic neuroendocrine tumors. N Engl J Med. 2014;371(3):224–33. https://doi.org/10.1056/NEJMoa1316158
  29. Cives M, Strosberg J. Radionuclide Therapy for Neuroendocrine Tumors. Curr Oncol Rep. 2017;19(2):9. https://doi.org/10.1007/s11912-017-0567-8
  30. Kwekkeboom DJ, Krenning EP, Lebtahi R, Komminoth P, Kos-Kudla B, de Herder WW, et al. ENETS Consensus Guidelines for the Standards of Care in Neuroendocrine Tumors: peptide receptor radionuclide therapy with radiolabeled somatostatin analogs. Neuroendocrinology. 2009;90(2):220–6. https://doi.org/10.1159/000225951
  31. Tella SH, Starr JS, Kommalapati A, Sonbol MB, Halfdanarson TR. Management of well-differentiated neuroendocrine tumors. Clin Adv Hematol Oncol. 2021;19(9):582–93.
  32. Strosberg J, El-Haddad G, Wolin E, Hendifar A, Yao J, Chasen B, et al. Phase 3 Trial of (177)Lu-Dotatate for Midgut Neuroendocrine Tumors. N Engl J Med. 2017;376(2):125–35. https://doi.org/10.1056/NEJMoa1607427
  33. Yao JC, Shah MH, Ito T, Bohas CL, Wolin EM, Van Cutsem E, et al. Everolimus for advanced pancreatic neuroendocrine tumors. N Engl J Med. 2011;364(6):514–23. https://doi.org/10.1056/NEJMoa1009290
  34. Yao JC, Fazio N, Singh S, Buzzoni R, Carnaghi C, Wolin E, et al. Everolimus for the treatment of advanced, non-functional neuroendocrine tumours of the lung or gastrointestinal tract (RADIANT-4): a randomised, placebo-controlled, phase 3 study. Lancet. 2016;387(10022):968–77. https://doi.org/10.1016/S0140-6736(15)00817-X
  35. Raymond E, Dahan L, Raoul JL, Bang YJ, Borbath I, Lombard-Bohas C, et al. Sunitinib malate for the treatment of pancreatic neuroendocrine tumors. N Engl J Med. 2011;364(6):501–13. https://doi.org/10.1056/NEJMoa1003825
  36. Mittra ES. Neuroendocrine Tumor Therapy: (177)Lu-DOTATATE. AJR Am J Roentgenol. 2018;211(2):278–85. https://doi.org/10.2214/AJR.18.19953
  37. [2022:[Available from: https://www.nccn.org/professionals/physician_gls/pdf/neuroendocrine.pdf.
  38. Bodei L, Pepe G, Paganelli G. Peptide receptor radionuclide therapy (PRRT) of neuroendocrine tumors with somatostatin analogues. Eur Rev Med Pharmacol Sci. 2010;14(4):347–51.
  39. Maecke HR, Reubi JC. Somatostatin receptors as targets for nuclear medicine imaging and radionuclide treatment. J Nucl Med. 2011;52(6):841–4. https://doi.org/10.2967/jnumed.110.084236
  40. Kwekkeboom DJ, Kam BL, van Essen M, Teunissen JJ, van Eijck CH, Valkema R, et al. Somatostatin-receptor-based imaging and therapy of gastroenteropancreatic neuroendocrine tumors. Endocr Relat Cancer. 2010;17(1):R53–73. https://doi.org/10.1677/ERC-09-0078
  41. Hicks RJ, Kwekkeboom DJ, Krenning E, Bodei L, Grozinsky-Glasberg S, Arnold R, et al. ENETS Consensus Guidelines for the Standards of Care in Neuroendocrine Neoplasia: Peptide Receptor Radionuclide Therapy with Radiolabeled Somatostatin Analogues. Neuroendocrinology. 2017;105(3):295–309. https://doi.org/10.1159/000475526
  42. Carlsen EA, Fazio N, Granberg D, Grozinsky-Glasberg S, Ahmadzadehfar H, Grana CM, et al. Peptide receptor radionuclide therapy in gastroenteropancreatic NEN G3: a multicenter cohort study. Endocr Relat Cancer. 2019;26(2):227–39. https://doi.org/10.1530/ERC-18-0424
  43. Hope TA, Abbott A, Colucci K, Bushnell DL, Gardner L, Graham WS, et al. NANETS/SNMMI Procedure Standard for Somatostatin Receptor-Based Peptide Receptor Radionuclide Therapy with (177)Lu-DOTATATE. J Nucl Med. 2019;60(7):937–43. https://doi.org/10.2967/jnumed.118.230607
  44. Bodei L, Mueller-Brand J, Baum RP, Pavel ME, Horsch D, O’Dorisio MS, et al. The joint IAEA, EANM, and SNMMI practical guidance on peptide receptor radionuclide therapy (PRRNT) in neuroendocrine tumours. Eur J Nucl Med Mol Imaging. 2013;40(5):800–16. https://doi.org/10.1007/s00259-012-2330-6
  45. van der Pol J, Voo S, Bucerius J, Mottaghy FM. Consequences of radiopharmaceutical extravasation and therapeutic interventions: a systematic review. Eur J Nucl Med Mol Imaging. 2017;44(7):1234–43. https://doi.org/10.1007/s00259-017-3675-7
  46. 2022 [Available from: https://www.accessdata.fda.gov/drugsatfda_docs/label/2020/208700s010lbl.pdf
  47. MG S. RADAR patient exposure radiation dose calculator [Available from: http://www.doseinfo-radar.com/ExposureCalculator.html.
  48. Levart D, Kalogianni E, Corcoran B, Mulholland N, Vivian G. Radiation precautions for inpatient and outpatient (177)Lu-DOTATATE peptide receptor radionuclide therapy of neuroendocrine tumours. EJNMMI Phys. 2019;6(1):7. https://doi.org/10.1186/s40658-019-0243-1
  49. Kendi AT, Halfdanarson TR, Packard A, Dundar A, Subramaniam RM. Therapy With (177)Lu-DOTATATE: Clinical Implementation and Impact on Care of Patients With Neuroendocrine Tumors. AJR Am J Roentgenol. 2019;213(2):309–17. https://doi.org/10.2214/AJR.19.21123
  50. Sorbye H, Kong G, Grozinsky-Glasberg S. PRRT in high-grade gastroenteropancreatic neuroendocrine neoplasms (WHO G3). Endocr Relat Cancer. 2020;27(3):R67–R77. https://doi.org/10.1530/ERC-19-0400
  51. Rose B, Matthay KK, Price D, Huberty J, Klencke B, Norton JA, et al. High-dose 131I-metaiodobenzylguanidine therapy for 12 patients with malignant pheochromocytoma. Cancer. 2003;98(2):239–48. https://doi.org/10.1002/cncr.11518
  52. Pryma DA, Chin BB, Noto RB, Dillon JS, Perkins S, Solnes L, et al. Efficacy and Safety of High-Specific-Activity (131)I-MIBG Therapy in Patients with Advanced Pheochromocytoma or Paraganglioma. J Nucl Med. 2019;60(5):623–30. https://doi.org/10.2967/jnumed.118.217463
  53. Kong G, Grozinsky-Glasberg S, Hofman MS, Callahan J, Meirovitz A, Maimon O, et al. Efficacy of Peptide Receptor Radionuclide Therapy for Functional Metastatic Paraganglioma and Pheochromocytoma. J Clin Endocrinol Metab. 2017;102(9):3278–87. https://doi.org/10.1210/jc.2017-00816
  54. Satapathy S, Mittal BR, Bhansali A. ‘Peptide receptor radionuclide therapy in the management of advanced pheochromocytoma and paraganglioma: A systematic review and meta-analysis’. Clin Endocrinol (Oxf). 2019;91(6):718–27. https://doi.org/10.1111/cen.14106
  55. Royal H, Pierson R, Jr., Fletcher J, Dillehay G. Guidelines for guideline development. Society of Nuclear Medicine. J Nucl Med. 1996;37(5):878–81.
  56. Schmidt M, Simon T, Hero B, Eschner W, Dietlein M, Sudbrock F, et al. Is there a benefit of 131 I-MIBG therapy in the treatment of children with stage 4 neuroblastoma? A retrospective evaluation of The German Neuroblastoma Trial NB97 and implications for The German Neuroblastoma Trial NB2004. Nuklearmedizin. 2006;45(4):145–51; quiz N39-40. https://doi.org/10.1055/s-0038-1625111
  57. Giammarile F, Chiti A, Lassmann M, Brans B, Flux G, Eanm. EANM procedure guidelines for 131I-meta-iodobenzylguanidine (131I-mIBG) therapy. Eur J Nucl Med Mol Imaging. 2008;35(5):1039–47. https://doi.org/10.1007/s00259-008-0715-3
  58. Weiss B, Vora A, Huberty J, Hawkins RA, Matthay KK. Secondary myelodysplastic syndrome and leukemia following 131I-metaiodobenzylguanidine therapy for relapsed neuroblastoma. J Pediatr Hematol Oncol. 2003;25(7):543–7. https://doi.org/10.1097/00043426-200307000-00009