5

Molecular Imaging of Mediastinal Tumors

Jaykanth Amalachandran1 Amol Takalkar2 Thangalakshmi Sivathapandi2 Lance T. Hall2

1Department of Nuclear Medicine and Molecular Imaging, Apollo Proton Cancer Centre, Chennai, India; 2Department of Radiology and Imaging Sciences, Emory University, Atlanta, GA, USA

Abstract: Imaging plays a crucial role in the diagnosis, characterization, and management of mediastinal tumors. The mediastinal tumors discussed are categorized into anterior mediastinal tumors, including thymic tumors, teratoma/Germ cell tumors, lymphomas, and neurogenic tumors in the posterior mediastinum. Cross sectional imaging with computed tomography (CT) and magnetic resonance imaging (MRI) generates highly detailed images showing the precise location, size, extent of the tumor involvement, as well as its relationship with adjacent critical structures, especially vascular involvement and spinal canal extension, and differentiating solid and cystic masses. Molecular imaging with whole-body positron emission tomography (PET) when combined with CT or MRI can provide valuable information on tumor metabolism, staging, therapy planning, response assessment, and post-treatment monitoring for disease recurrence. With the advent of new non-FDG PET radiopharmaceuticals, the utility of molecular imaging in mediastinal tumors has further broadened. The purpose of this chapter is to provide a clear review of the role, advantages, pitfalls, and advancements of molecular imaging in each mediastinal tumor.

Keywords: germ cell tumors; mediastinal tumors; neurogenic tumors; PET/CT; thymoma

Author for correspondence: Jaykanth Amalachandran, Department of Nuclear Medicine and Molecular Imaging, Apollo Proton Cancer Centre, Chennai, India. Email: drjaykanth_a@apollohospitals.com

Cite this chapter as: Amalachandran J, Takalkar A, Sivathapandi T, Hall LT. M Molecular Imaging of Mediastinal Tumors. In: Hall LT. editor. Molecular Imaging and Therapy. Brisbane (AU): Exon Publications. Online first 01 Aug 2023.

Doi: https://doi.org/10.36255/molecular-imaging-of-mediastinal-tumors

In: Hall LT. editor. Molecular Imaging and Therapy. Brisbane (AU): Exon Publications. ISBN: 978-0-6458663-9-1. Doi: https://doi.org/10.36255/molecular-imaging

Copyright: The Authors.

License: This open access article is licensed under Creative Commons Attribution-NonCommercial 4.0 International (CC BY-NC 4.0) https://creativecommons.org/licenses/by-nc/4.0/

INTRODUCTION

The mediastinum contains vital vascular and nonvascular structures and organs. Hence division of the mediastinum into specific compartments, traditionally the anterior, middle, and posterior compartments has been valuable in the identification, characterization, and management of various mediastinal masses. This chapter reviews the role of molecular imaging in the evaluation of anterior mediastinal tumors namely thymoma, germ cell tumors, lymphoma, and posterior mediastinal neurogenic tumors. Indications, advantages over conventional imaging, possible equivocal scenarios of molecular imaging, and alternative non FDG PET radiopharmaceuticals in the evaluation of these tumors are discussed in this chapter.

THYMIC TUMORS

Thymic tumors are usually benign and indolent; however, thymic adenocarcinoma and thymic neuroendocrine cancer can be aggressive and have a poor prognosis. Imaging plays an integral role in the management of patients with thymoma and thymic carcinoma. Although there is some overlap in the imaging findings, thymoma and thymic carcinoma can be distinguished by computed tomography (CT), magnetic resonance imaging (MRI), and positron emission tomography/CT (PET/CT) characteristics, with novel CT and MRI techniques showing promise. 18 Fluorine – fluoro-2-deoxyglucose PET/CT (18F-FDG PET/CT) is an important functional imaging modality in assessing high-risk thymoma and thymic carcinomas. Physiologic FDG thymic uptake is common in 28% of normal people aged less than 40 years, and the incidence is correlated with younger age, identified in up to 73% of children under 13 years, decreasing to 8% of people in their fourth decade (1).

PET/CT AND CECT

Contrast-enhanced computed tomography (CECT) is the imaging modality of choice for imaging thymic malignancies due to its high spatial and temporal resolution, accessibility, and convenience. CT gives more anatomic details such as location, morphology, shape, borders, size, density, augmentation, and invasion of nearby structures (2). Except for cysts and cystic tumor components, CT has been proven to be as good as or better than MRI in the evaluation of mediastinal masses (3).

18F-FDG PET/CT has an incompletely defined role in the evaluation of thymic masses. False-positive 18F-FDG PET/CT uptake can be seen in infection, thymic hyperplasia, fibrosing mediastinitis, and other non-neoplastic processes. On the other hand, some histological forms of thymic malignancies do not exhibit increased FDG uptake and there is a lack of standardization in techniques that can result in quantitative variability between studies (4). As there are other FDG avid neoplasms in the prevascular mediastinum such as lymphoma or malignant germ cell tumors, the presence of FDG uptake in a prevascular mass cannot clearly distinguish thymic epithelial tumor from other tumors. Some studies reported 18F-FDG PET/CT as a useful tool for differentiating low-grade from high-grade thymic malignancies, while some studies reported that these observations are due to overlap in imaging findings and FDG uptake between low-grade and high-grade thymic tumors (5). 18F-FDG PET/CT has its role in aggressive tumors, such as thymic carcinoma, due to higher overall tumor metabolism, and the maximum standardized uptake value (SUV max ≥ 6) serves as a cutoff to separate thymic carcinoma from lower-grade thymic tumors (6). Finally, when a tumor is FDG avid,18F-FDG PET/CT has a role in the detection of occult metastases.

The thymus typically appears in the prevascular space as a triangular-shaped structure; however, other typical morphological shapes can also be observed. The size and structure of the thymus can be altered by benign and malignant pathologic processes, which can pose a diagnostic challenge. Generally benign processes can be easily recognized based on imaging properties.

BENIGN THYMIC TUMORS

Benign thymic tumors include thymic cysts, thymic hyperplasia and thymolipoma.

Thymic cysts

The thymopharyngeal duct remnants that give rise to congenital thymic cysts can be found anywhere along the length of the thymic descent, but most frequently they appear in the prevascular mediastinal region (7). Acquired thymic cysts are more common and they are often multi-locular, complex, associated with neoplasms (such as thymoma, lymphoma, or germ cell tumors), radiation therapy, Sjogren syndrome, aplastic anemia, systemic lupus erythematosus, myasthenia gravis, and pediatric AIDS, and can develop after tumor resection (7, 8). On a CT scan, thymic cysts typically appear as well-circumscribed round or oval lesions with fluid density Hounsfield units (HU) under 20, with no thickened, irregular, or enhancing walls. MRI can be useful for additional assessment if HU are uncertain or if there is a doubt about enhancement. In rare situations where cyst infection is suspected, 18F-FDG PET/CT may be helpful. 18F-FDG PET/CT can be used to detect and confirm infected cysts by identifying the hypermetabolic cyst wall (9).

Thymic hyperplasia

True thymic hyperplasia, often referred to as ‘rebound’ hyperplasia, is present when the thymic volume increases by more than 50%, and is commonly seen after infection, surgery, burns, chemotherapy, radiation therapy, or steroid therapy. In thymic hyperplasia, there is generally symmetric thymic enlargement with smooth contour and margins; however, a nodular or bulky appearance can be seen, which cannot be readily distinguished from malignancy (10, 11). Diffusely increased FDG uptake is frequently observed in thymic hyperplasia on scans performed after chemotherapy, more commonly in younger patients (10).

Thymolipoma

Thymolipoma is a benign tumor that develops in the thymus gland and is frequently large and slow to grow. Adipose tissue forms the main component of thymolipomas, with sporadic soft tissue and interposed thymic tissue (12, 13). The hallmark CT findings of the thymolipoma are a very large mass with a predominantly fat density interspersed with fibrous septa and normal thymic tissue. 18F-FDG PET/CT adds only little added value to the CT findings (14).

MALIGNANT THYMIC TUMORS

Malignant thymic tumors are relatively rare and include thymic epithelial tumors such as thymoma, thymic neuroendocrine tumor/carcinoma and thymic carcinoma.

Thymic epithelial tumors

Thymic epithelial tumors (TET) are primarily prevascular mediastinal masses that can appear homogeneous or heterogeneous, solid or solid/cystic, and have well-circumscribed or irregular borders. Despite the fact that there is a lot of overlap in imaging between the different thymoma grades and between thymoma and thymic cancer, there are clinical and imaging patterns that help differentiate them. The typical age of malignant thymic tumors at presentation is in the sixth decade, whereas the median age of more benign processes is in the fourth or fifth decade (1517). Malignant tumors tend to be larger and are more likely to be locally invasive, while benign tumors are more frequently midline, exhibit intralesional fat, and retain the usual thymic triangle form (1820).

Thymoma

On CT, thymomas often appear as a smooth or lobular tumor affecting only one thymus lobe, with bilateral involvement occurring less frequently (21). Most thymomas have homogeneous contrast enhancement, but about one-third of them have more heterogeneous contrast enhancement due to areas of bleeding, necrosis, or cystic change, with possible punctate, linear capsular, or coarse intratumoral calcifications (22). The CT characteristics of thymomas may differ depending on the lesion grade, with higher-grade lesions are generally more likely to have vascular invasion, pleural, and pericardial involvement. Although there is imaging overlap, higher grade tumors are typically larger, have a lobular or irregular contour, areas of cystic or necrotic change, areas of calcification, and evidence of infiltration of surrounding fat (2325).

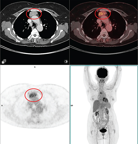
According to histological characteristics, thymomas are divided into five different types: type A thymoma (containing an unusual form), type AB thymoma, type B thymoma (divided into B1, B2, and B3 thymomas), micronodular thymoma with lymphoid stroma, and metaplastic thymoma (22). The presence of FDG uptake in the normal and hyperplastic thymus, especially in younger adults and children, limits the role of 18F-FDG PET/CT in thymoma imaging. Physiological uptake in the thymus has been reported in 28% of patients under 40 years of age and up to 73% in children under 13 years of age (26). Although research has been limited, higher grade tumors tend to have higher FDG activity, 18F-FDG PET/CT has not been shown to reliably distinguish between different grades of thymic tumors (27, 28). An example of typical thymoma is shown in Figure 1.

Fig 1

Figure 1. Type A thymoma. Anterior mediastinal mass that was pathologically confirmed as type A thymoma. FDG PET/CT images include axial CT (top left panel), fused axial PET/CT (top right panel), axial PET (bottom left panel), and maximum intensity projection (MIP) PET image (bottom right panel). In the red circle, there is a soft tissue density mass with well-defined contour showing homogenous enhancement in CT with moderate FDG uptake on PET. No evidence of infiltration of adjacent structures. No other metabolically active disease in the whole-body survey.

Thymic carcinoma and neuroendocrine tumor/carcinoid

As thymic carcinoma and thymic neuroendocrine tumors have overlapping features with higher-grade thymomas on imaging, they are discussed together here. Compared to thymomas, thymic carcinomas exhibit a higher degree of necrosis, cystic change, and hemorrhage, along with greater local invasion (29). They also present as large prevascular masses with irregular poorly margined borders. The presence of pleural or pericardial nodules, pleural effusion, or distant metastasis favors thymic carcinoma or thymic neuroendocrine tumor compared to thymoma.

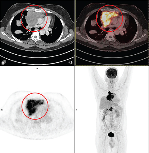
Aggressive thymic epithelial tumors frequently invade or extrinsically compress the superior vena cava (SVC), causing SVC syndrome. Thymic carcinomas typically exhibit more irregular contours, heterogeneity related to hemorrhage, necrosis, and cystic change, as well as higher levels of local vascular and mediastinal invasion and lymphadenopathy (3032). An example of thymic carcinoma is shown in Figure 2.

Fig 2

Figure 2. Thymic carcinoma. Anterior mediastinal mass that was pathologically confirmed as thymic carcinoma. FDG PET/CT images include axial CT (top left panel), fused axial PET/CT (top right panel), axial PET (bottom left panel), and maximum intensity projection (MIP) PET image (bottom right panel). In the red circle, there is a soft tissue density mass with irregular nodular contour showing heterogenous enhancement in CT with heterogenous FDG uptake on PET. There is loss of intervening fat plane with the body of sternum anteriorly and the pulmonary trunk posteriorly concerning for infiltration. There was additional mild to moderately FDG-avid regional lymph nodes and pleural deposits (not on the included PET/CT images and could be appreciated on the MIP image) that were suggestive of metastatic disease.

Although18F-FDG PET/CT cannot reliably distinguish between different thymoma grades, several studies indicate that thymoma and thymic carcinoma can be distinguished using different SUV max cutoffs ranging from 4.6 to 6.3. Evaluation and follow-up of thymic carcinoma can benefit from the use of 18F-FDG PET/CT, since higher grade tumors have increased FDG uptake (33, 34). 18F-FDG PET/CT can be used for two main staging goals: invasive thymomas and localization of distant metastases or lymph node involvement. Distant metastases from TETs typically affected the pleural cavity, diaphragm, lung, and less frequently extrathoracic regions like the intra-ocular region, spleen, liver, pancreas, spinal cord, and bone.

Additionally, 68Ga-DOTATATE PET/CT can be used to assess thymic neuroendocrine tumors and could demonstrate improved sensitivity for lesion detection compared to 18F-FDG PET/CT. It can also be used to identify tumors that may benefit from Lutetium 177 based peptide receptor radiotherapy (PRRT).

FUTURE PERSPECTIVES

The future of PET/CT and theranostics in TETs is still evolving. Further meta-analyses collecting available data on 18F-FDG PET/CT accuracy, as well as data with other hybrid imaging tools such as PET/MRI, could improve the treatment of patients with TETs as hybrid imaging can potentially play a key role to improve staging and treatment response assessment in thymic neoplasms (35). Quinoline-based PET molecular imaging agents that function as fibroblast activation protein inhibitors (FAPI) can be used to target the stromal component of TET and identify regions where cancer-associated fibroblasts are overexpressed. Recent development of these tracers shows encouraging preclinical and clinical results (36). To summarize, although there is some overlap in the imaging findings, thymoma and thymic carcinoma can be distinguished by several characteristics of CT, MRI, and PET/CT, with new CT and MRI techniques showing promising results.

18F-FDG PET/CT IN MEDIASTINAL GERM CELL TUMORS

Germ cell tumor (GCT) is the most common malignancy in men aged 20 to 35 years (37). Both MRI and CT are good imaging modalities to identify mediastinal masses, and both can often identify features that can help in making an appropriate diagnosis. However, CT and MRI usually cannot evaluate the aggressiveness of masses or detect viable tumors in post-chemotherapy residual masses. Using 18F-FDG PET/CT may be useful for further characterizing the masses and determining the most appropriate site for biopsy.

Mediastinal germ cell tumors

Germ cell tumors are classified on cell type into: (i) benign teratomas; (ii) seminomas; and (iii) non-seminomatous germ cell tumors (NSGCT). They are generally benign and do not require18F-FDGPET/CT. 18F-FDGPET/CT appears to have value in seminomas though perhaps less value in NSGCT. The value of 18F-FDGPET/CT in residual masses in mediastinal germ cell tumors is slightly more contentious.

Seminomas

Mediastinal seminomas account for ~ 70% of extragonadal germ cell tumors in the adult population (38). On CT, mediastinal seminomas usually appear as large, homogeneous lobular masses with mild contrast enhancement. Sometimes they might have cystic, hemorrhagic, or necrotic components as seen in Figure 3. Residual mediastinal mass may persist after chemotherapy, and 18F-FDG PET/CT has been used to detect untreated viable disease. In masses greater than 3 cm, Becherer et al. (39) noticed that PET predicted residual viable tumor with a sensitivity of 80% and a specificity of 100%, compared to 73% for CT. Although specificity was much lower at 47% in another multicenter trial, sensitivity was still very high (40).

Fig 3

Figure 3. Seminoma. Anterior mediastinal mass that was pathologically confirmed as seminoma. FDG PET/CT images include axial CT (top left panel), fused axial PET/CT (top right panel), axial PET (bottom left panel), and maximum intensity projection (MIP) PET image (bottom right panel). In the red circle, a well-defined heterogeneously FDG avid and mildly enhancing lobulated soft tissue mass is seen in the anterior mediastinum on left side of midline. Non FDG avid non enhancing hypodense area seen within the mass representing necrotic component. The mass encases the arch of aorta.

Non seminomatous germ cell tumors

Non seminomatous germ cell tumors (NSGCT) are varied and have a worse prognosis than mediastinal seminomas with 5-year survival of 48% versus 88%, respectively (41). Typically, CT is used to stage and diagnose them, with the help of diagnostic tumor markers. Although these tumors exhibit high uptake of FDG,18F-FDG PET/CT is usually not essential. After receiving first-line therapy, 40% of patients still have residual masses, which are composed of necrosis in 40% of cases, mature teratoma in 40% of cases, and viable tumors in 20% of cases (42). Mature teratoma is resistant to chemotherapy and requires surgical resection. In an extensive study of NSGCT with residual masses and histological confirmation, 18F-FDG PET/CT had sensitivity and specificity for viable tumors of 70% and 48% with a PPV of 59%, which was comparable to CT, and it appears that 18F-FDG PET/CT did not have an advantage over conventional imaging or markers (43).

Initial staging and follow-up

Staging and follow-up of germ cell tumors involves blood tumor markers and conventional anatomic imaging examinations (44). When there is only a low risk of progression, surveillance is one of the management strategies suggested for stage I NSGCTs. Since GCT cells can be present in lymph nodes of normal size, it has been recognized that the use of anatomic imaging alone for the detection of GCT may be challenging (45). It is significant to note that the identification of metastatic disease locations influences the best course of treatment for GCT upon presentation. Although18F-FDG PET/CT was unable to detect mature teratoma, it is a useful diagnostic tool for initial staging in patients with stage I-II GCT (4648). 18F-FDG PET/CT may be particularly useful for detecting stage IIA in clinical stage I NSGCTs.

The efficacy of 18F-FDG PET/CT in identifying suspected recurrences in patients with GCT was mainly investigated in the setting of high circulating tumor markers, where there are two areas of concern. The first is where, if anywhere, the malignancy is found in patients with no residual tumors. Second, if there are numerous residual tumors and which of them have malignant GCT (45). According to the largest reported experience, 18F-FDG PET/CT was able to identify the locations of the disease in these patients (45). 18F-FDG PET/CT has the ability to identify actively spreading malignant disease, which may have an impact on patient management. However, false positive results with 18F-FDG PET/CT should be taken into account because different conditions can mimic malignant neoplasms (49, 50). Sarcoidosis, histoplasmosis, aspergillosis, and tuberculosis can all mimic tumors in the chest (50, 51). In the differential diagnosis of GCT relapse, sarcoidosis in particular should be taken into account because there is evidence associating the two diseases (52). In addition, increased FDG uptake may be observed in inflamed tissues. A significant number of studies also revealed elevated FDG uptake in the healthy thymus, especially in children and young adults (53). To avoid misinterpreting, special attention should be paid to the examination of the anterior mediastinum.

Early prediction of treatment response

In order to improve treatment for individuals with advanced GCT, new surrogate end goals for assessing treatment response may be established. 18F-FDG PET/CT may supplement anatomic imaging methods and tumor marker evaluation in patients with relapsed/refractory GCT by assessing the subclinical response, among other features. Early-stage salvage treatment with18F-FDG PET/CT has offered independent prognostic information (53). When there is a mismatch between the tumor marker and changes on the CT scan, 18F-FDG PET/CT may be particularly helpful (54, 55).

POST-CHEMOTHERAPY RESIDUAL DISEASE

Assessment of treatment response is an important aspect of any tumor management and molecular imaging takes the upper hand over other options such as biopsy to look for presence or absence of residual disease.

Seminoma

18F-FDG PET/CT offers an excellent prognostic potential for identifying viable tumor tissue in seminoma patients’ post-chemotherapy residual masses. 18F-FDG PET/CT accurately predicted 100% of cases with residual lesions greater than 3 cm and 95% with residual lesions smaller than 3 cm, demonstrating that it is the best predictor of viable seminoma in residual lesions (56). Therefore, 18F-FDG PET/CT should be useful in most patients in this group as a standard tool for clinical decision making.

Non seminoma

In NSGCT patients with residual masses, several investigations found that 18F-FDG PET/CT can be helpful in detecting residual viable malignant disease after treatment (57). To distinguish tumor from non-tumor lesions, PET analysis showed positive and negative predictive values of 91% and 62%, respectively (58). Negative 18F-FDG PET/CT did not rule out the presence of disease, primarily due to the presence of teratoma, despite the substantial correlation between the results of 18F-FDG PET/CT and the presence of a viable tumor. As a result, surgical excision is still necessary for remaining masses with negative 18F-FDG PET/CT results.

To summarize, the initial staging and early detection of recurrences are crucial factors in the management and prognosis of GCT. Since criteria for node involvement is only based on size enlargement, subcentimeter metastatic node can be missed by conventional anatomic imaging modalities and are nonspecific. In the case of high circulating tumor markers, 18F-FDG PET/CT may be helpful in locating the suspected recurrence sites during follow-up. 18F-FDG PET/CT seems to be helpful if salvage surgery is considered, particularly when a discrepancy is observed between the tumor marker and the imaging changes. In post-chemotherapy seminoma assessment, 18F-FDG PET/CT is the best predictor of a viable residual tumor and should be used as a standard tool for clinical decision-making. Furthermore, because surgical resection is still required in PET negative patients due to the possibility of a residual mature teratoma with low FDG uptake, the clinical impact of 18F-FDG PET/CT in the evaluation of residual masses is minimal. Additionally, it is important to take into account the possibility of false positive18F-FDG PET/CT results brought on by inflammatory processes. Although preliminary research has suggested that 18F-FDG PET/CT may be useful in these patients for the detection and staging of GCT, monitoring of therapy outcomes, and identification of viable malignant cells in residual masses, it is crucial to evaluate the effects of this technique on patient outcomes.

MOLECULAR IMAGING OF MEDIASTINAL LYMPHOMA

Mediastinal lymphoma is uncommon. It might be primary or secondary. Mediastinal lymph nodes usually represent sites of involvement (59). Only 10% of mediastinum involving lymphomas is primary (60). The most prevalent primary mediastinal lymphomas are Hodgkin lymphoma (HL), primary mediastinal B-cell lymphoma (PMBCL) and T-lymphoblastic lymphoma (TLL) (61).

For most lymphoma subtypes, PET/CT with 18F-FDG is the typical staging tool, especially for identifying extranodal sites. Results from 18F-FDG PET/CT can both upstage and downstage a disease (62). When used before therapy, 18F-FDG PET/CT has a significant impact on the treatment approach due to significant differences in the treatments for early and advanced stages of lymphoma.

18F-FDG PET/CT in patients with HL and high-grade or aggressive non-Hodgkin lymphoma (NHL) consistently has very high sensitivity (63). 18F-FDG PET/CT improved the characterization of lesions that were uncertain on other types of imaging and often detected nodal and extranodal disease sites that were missed by conventional staging techniques. An example of 18F-FDG PET/CT showing synchronous sites of supra and infradiaphragmatic involvement is seen in Figure 4.

Fig 4

Figure 4. Diffuse large B cell lymphoma. Anterior mediastinal mass that was pathologically confirmed as NHL (Diffuse large B cell lymphoma). FDG PET/CT images include axial CT (top left panel), fused axial PET/CT (top right panel), axial PET (bottom left panel), and maximum intensity projection (MIP) PET image (bottom right panel). In the red circle, an enhancing lobulated intensely FDG avid soft tissue mass is seen in the anterior mediastinum on right side of midline, extending into the middle mediastinum. The lesion shows broad based abutment with the mediastinal pleura and compresses the SVC with resultant luminal narrowing. There was additional FDG avid heterogeneously enhancing lesion in the junction of head and neck of pancreas (not on the included PET/CT images and could be appreciated on the MIP image) that were suggestive of synchronous lymphomatous disease involvement.

The results of 18F-FDG PET/CT, which are used during and after treatment for HL and aggressive NHL, have a high prognostic value and correlate with survival. Updated response criteria for aggressive lymphomas now include 18F-FDG PET/CT. Figure 5 shows the impact of the interim response assessment with 18F-FDG PET/CT by demonstrating the minimal persistent residual metabolically active disease (with Deauville score 4) which would have been interpreted by conventional anatomic imaging modalities as post-treatment fibrotic residue.

Fig 5

Figure 5. Staging and interim response assessment 18F-FDG PET/CT scans. 18F-FDG PET/CT images include fused axial PET/CT of the patient taken during staging on the left column and interim response assessment after 3 cycles of chemotherapy on the right column (comparative lesions marked with small white arrows). First row showing complete resolution of the bulky component of the disease. Second row showing persistent minimal metabolically active residual disease (Deauville’s score 4) abutting the pericardium and third row showing complete resolution of the pancreatic lesion and adjoining peripancreatic lymph node.

There have been greater variations in the reported specificity and sensitivity as well as the reported impact on the staging and treatment strategy for the heterogeneous group of low-grade or indolent lymphomas. 18F-FDG PET/CT is now the cornerstone of staging methods in the most advanced management of HL and aggressive NHL, despite the fact that there is limited evidence that its integration has an effect on treatment outcomes. 18F-FDG PET/CT is still used less frequently or in combination with investigative methods for the staging of indolent lymphomas (64).

To summarize, the vital role and impact of 18F-FDG PET/CT in staging, interim response evaluation and early PET response adapted change in therapy, end of treatment disease assessment and follow-up surveillance of lymphoma have been well established in the literature and/or clinical practice.

THORACIC NEUROGENIC (POSTERIOR MEDIASTINAL) TUMORS

Thoracic neurogenic tumors arise from tissues derived from the neural crest in the chest. Given the complex anatomy of the chest and its nervous structures, these tumors can be found in any mediastinal compartment, including the chest wall, when they originate from the intercostal nerves. However, they are more common in the posterior mediastinum. In fact, Schwannoma, a type of neurogenic tumor, is the most common posterior mediastinal tumor. These tumors can arise from cells of the nerve root/sheath (Schwannoma, neurofibroma, and neurilemmoma), autonomic/sympathetic ganglia (ganglioneuroma, neuroblastoma, and ganglioneuroblastoma), or paraganglia (paraganglioma, chemodectoma, and pheochromotcytoma) (6567). Peripheral nerve root/sheath-derived tumors tend to be more common and paraganglia-derived neurogenic tumors tend to be less common. Paragangliomas are only rarely present as posterior mediastinal masses. Although a significant proportion of these tumors are benign in adults (about 95%), they are more commonly malignant in the pediatric population. Approximately 30% of mediastinal tumors in the pediatric population are neurogenic tumors, but they decrease to only 10–15% in adults (68). They can sometimes present as large masses detected incidentally in asymptomatic patients, and at other times, they can be aggressive, causing early symptoms.

Cross sectional imaging of the thoracic neurogenic tumors

Cross-sectional imaging with CT and MRI is generally the preferred imaging modalities for the evaluation of these tumors. However, not infrequently, these tumors present a diagnostic challenge, as clinically they may behave indolently and radiologically, they do not have distinctive morphologic features that can reliably differentiate between benign and malignant lesions (65).

Molecular imaging of the thoracic neurogenic tumors

There are various radiopharmaceuticals that can assist in imaging of neurogenic tumors. However, as a group, they show heterogeneous characteristics with no single radiopharmaceutical that is useful in all of them. Previously, meta-iodobenzyl guanidine (MIBG) labeled with I-131 or I-123 has been the predominant radiopharmaceutical for evaluation of neuroblastomas and pheochromocytomas. However, imaging requires rigorous patient preparation and availability, as well as cost, which have hampered utilization in the United States. With the availability of dotatate-based PET agents as well as Lutetium-177-based dotatate therapy, the utilization of MIBG has decreased further in the United States.

There are a few PET-based radiopharmaceuticals that are useful in workup of neurogenic tumors in the chest, in select situations. FDG, the most common radiopharmaceutical, has varying degrees of uptake in some of these neurogenic tumors. Although many of these tumors are benign, they are still metabolically active and can show increased FDG uptake. For example, schwannomas can show increased FDG uptake and are generally benign (69). In the absence of tissue diagnosis, they can be interpreted as false positives as malignant lesions based on their FDG avidity. Neuroblastomas also show increased FDG uptake, in primary and metastatic lesions, especially before treatment (70). However, post-treatment, uptake tends to be more variable. Generally, the uptake of FDG and MIBG tends to be concordant, however, MIBG may be superior in assessing treatment response, especially to assess residual disease. 18F-FDG PET/CT may be of value to assess non-MIBG avid neuroblastomas; however, more recently, Gallium 68 (68Ga) dotatate PET/CT is preferred for this (Figure 6). 18F-FDG PET/CT has also been shown to be useful in differentiating benign and malignant neurogenic tumors; however, SUV cut-off values have been variable, and other parameters like lesion to liver ratio have also been proposed as useful (7074). In our experience, the results are equivocal and differentiation between benign and malignant neurofibromas is not always feasible based only on 18F-FDG PET/CT imaging. Furthermore, benign and malignant neurofibroma lesions can coexist in the same patient and there may be a subsequent malignant transformation in some cases. FDG PET/MRI may also be beneficial for the evaluation of these lesions.

Fig 6

Figure 6. Posterior mediastinal mass that was pathologically confirmed as neuroblastoma. 68Ga - dotatate PET/CT images include axial CT (top left panel), fused axial PET/CT (top right panel), axial PET (bottom left panel), and maximum intensity projection (MIP) PET image (bottom right panel). In the red circle, a large lobulated heterogeneously 68Ga - dotatate avid and enhancing mass is seen involving the left chest cavity and posterior mediastinum with contiguous extension across the midline, and into the superior midline retroperitoneal / posterior abdominal cavity regions. There was additional 68 Ga - dotatate avid mass involving the paranasal sinuses, orbits, nasal cavity, facial bones and multiple other sites of skeletal involvement (not on the included PET/CT images and could be appreciated on the MIP image) that were suggestive of metastatic disease.

68Ga dotatate PET/CT can be useful in certain neurogenic tumors. Paragangliomas show intense uptake on 68Ga dotatate PET/CT (75). Neuroblastomas also show intense 68Ga dotatate uptake and 68Ga dotatate PET/CT can be useful for evaluation of neuroblastomas (76). Dotatate avid lesions can also potentially be treated with Lutetium–177 dotatate-based treatments when needed. Schwannomas do not tend to show intense FDG uptake. Schwannomas, however, can also show increased uptake of prostate specific membrane antigen (PSMA) (77), another PET-based radiopharmaceutical.

To summarize, neurogenic tumors are a heterogenous group of tumors and based on pathology, appropriate radiopharmaceutical may be useful in the workup in select cases and situations.

CONCLUSION

Imaging is crucial to the treatment of patients with mediastinal tumors right from initial diagnosis, staging, prognostication, and stratification to the identification of locally invasive disease and distant metastases. Molecular imaging with 18F-FDG PET/CT has been shown to have much better sensitivity and specificity in various mediastinal tumors to evaluate treatment efficacy and detect recurring disease. Interim response assessment and early PET response adapted change in therapy has revolutionized the treatment algorithm for various tumors, especially in the context of lymphoma.18F-FDG PET/CT seems to be helpful in clinical decision making, particularly when a discrepancy is observed between tumor marker and anatomic imaging. Imaging with other non-FDG PET radiopharmaceutical like 68Ga dotatate, has enabled the option of personalized medicine using theranostic pair Lutetium–177 dotatate in patients with metastatic progressive disease.

Conflict of Interest: The authors declare that they have no potential conflict of interest with respect to the research, authorship, and/or publication of this chapter.

Copyright and Permission Statement: The authors confirm that the materials included in this chapter do not violate copyright laws. Where relevant, appropriate permissions have been obtained from the original copyright holder(s), and all original sources have been appropriately acknowledged or referenced. Where relevant, informed consent has been obtained from patients or their caregivers according to applicable national or institutional policies.

REFERENCES

  1. Jerushalmi J, Frenkel A, Bar-Shalom R, Khoury J, Israel O. Physiologic thymic uptake of 18F-FDG PET in children and young adults: a PET/CT evaluation of incidence, patterns, and relationship to treatment. J Nucl Med. 2009;50:849–53. https://doi.org/10.2967/jnumed.108.058586
  2. Carter BW, Okumura M, Detterbeck FC, Marom EM. Approaching the Patient with an Anterior Mediastinal Mass: A Guide for Radiologists. J Thorac Oncol. 2014;9(9 Suppl 2):S110–8. https://doi.org/10.1097/JTO.0000000000000295
  3. Tomiyama N, Honda O, Tsubamoto M, Inoue A, Sumikawa H, Kuriyama K, et al. Anterior Mediastinal Tumors: Diagnostic Accuracy of CT and MRI. Eur J Radiol. 2009;69(2):280–8. https://doi.org/10.1016/j.ejrad.2007.10.002
  4. Benveniste MF, Korst RJ, Rajan A, Detterbeck FC, MaromEMInternational Thymic Malignancy Interest G. A Practical Guide from the International Thymic Malignancy Interest Group (ITMIG) Regarding the Radiographic Assessment of Treatment Response of Thymic Epithelial Tumors Using Modified RECIST Criteria. J Thorac Oncol. 2014;9(9 Suppl 2):S119–24. https://doi.org/10.1097/JTO.0000000000000296
  5. Lococo F, Cesario A, Okami J, Cardillo G, Cavuto S, Tokunaga T, et al. Role of Combined 18F-FDG-PET/CT for Predicting the WHO Malignancy Grade of Thymic Epithelial Tumors: A Multicenter Analysis. Lung Cancer. 2013;82(2):245–51. https://doi.org/10.1016/j.lungcan.2013.08.003
  6. Benveniste MF, Moran CA, Mawlawi O, Fox PS, Swisher SG, Munden RF, et al. FDG PET-CT Aids in the Preoperative Assessment of Patients with Newly Diagnosed Thymic Epithelial Malignancies. J Thorac Oncol. 2013;8(4):502–10. https://doi.org/10.1097/JTO.0b013e3182835549
  7. Quint LE. Imaging of Anterior Mediastinal Masses. Cancer Imaging. 2007;7 Spec No A:S56–62. https://doi.org/10.1102/1470-7330.2007.9014
  8. Shahrzad M, Le TS, Silva M, Bankier AA, Eisenberg RL. Anterior Mediastinal Masses. AJR Am J Roentgenol. 2014;203(2):W128–38. https://doi.org/10.2214/AJR.13.11998
  9. S. Vaidyanathan, CN Patel, AF Scarsbrook, FU Chowdhury. FDG PET/CT in infection and inflammation-current and emerging clinical applications. Clin Radiol. 2015 Jul;70(7):787–800. https://doi.org/10.1016/j.crad.2015.03.010
  10. Nasseri F, Eftekhari F. Clinical and Radiologic Review of the Normal and Abnormal Thymus: Pearls and Pitfalls. Radiographics. 2010;30(2):413–28. https://doi.org/10.1148/rg.302095131
  11. Nishino M, Ashiku SK, Kocher ON, Thurer RL, Boiselle PM, Hatabu H. The Thymus: A Comprehensive Review. Radiographics. 2006;26(2):335–48. https://doi.org/10.1148/rg.262045213
  12. Gaerte SC, Meyer CA, Winer-Muram HT, Tarver RD, Conces DJ Jr. Fat Containing Lesions of the Chest. Radiographics. 2002;22 Spec No:S61–78. https://doi.org/10.1148/radiographics.22.suppl_1.g02oc08s61
  13. Molinari F, Bankier AA, Eisenberg RL. Fat-Containing Lesions in Adult Thoracic Imaging. AJR Am J Roentgenol. 2011;197(5):W795–813. https://doi.org/10.2214/AJR.11.6932
  14. Sharma P, Singhal A, Kumar A, Bal C, Malhotra A, Kumar R. Evaluation of thymic tumors with 18F-FDG PET-CT: A pictorial review. Acta Radiologica. 2013;54(1):14–21. https://doi.org/10.1258/ar.2012.120536
  15. De Jong WK, Blaauwgeers JL, Schaapveld M, Timens W, Klinkenberg TJ, Groen HJ. Thymic Epithelial Tumours: A Population-Based Study of the Incidence, Diagnostic Procedures and Therapy. Eur J; Cancer. 2008;44(1):123–30. https://doi.org/10.1016/j.ejca.2007.11.004
  16. Engels EA, Pfeiffer RM. Malignant Thymoma in the United States: Demographic Patterns in Incidence and Associations with Subsequent Malignancies. Int J Cancer. 2003;105(4):546–51. https://doi.org/10.1002/ijc.11099
  17. McErlean A, Huang J, Zabor EC, Moskowitz CS, Ginsberg MS. Distinguishing Benign Thymic Lesions from Early-Stage Thymic Malignancies on Computed Tomography. J Thorac Oncol. 2013;8(7):967–73. https://doi.org/10.1097/JTO.0b013e3182904bc2
  18. Jeong YJ, Lee KS, Kim J, Shim YM, Han J, Kwon OJ. Does CT of Thymic Epithelial Tumors Enable Us to Differentiate Histologic Subtypes and Predict Prognosis? AJR Am J Roentgenol. 2004;183(2):283–9. https://doi.org/10.2214/ajr.183.2.1830283
  19. Jung KJ, Lee KS, Han J, Kim J, Kim TS, Kim EA. Malignant Thymic Epithelial Tumors: CT-Pathologic Correlation. AJR Am J Roentgenol. 2001;176(2):433–9. https://doi.org/10.2214/ajr.176.2.1760433
  20. Rosado-de-Christenson ML, Templeton PA, Moran CA. From the Archives of the AFIP. Mediastinal Germ Cell Tumors: Radiologic and Pathologic Correlation. Radiographics. 1992;12(5):1013–30. https://doi.org/10.1148/radiographics.12.5.1326777
  21. Rosado-de-Christenson ML, Strollo DC, Marom EM. Imaging of Thymic Epithelial Neoplasms. Hematol Oncol Clin North Am. 2008;22(3):409–31. https://doi.org/10.1016/j.hoc.2008.03.011
  22. Alexander Marx, John K. C. Chan, Lara Chalabreysse, et al. The 2021 WHO Classification of Tumors of the Thymus and Mediastinum: What Is New in Thymic Epithelial, Germ Cell, and Mesenchymal Tumors? J Thorac Oncol. 2021;17(2):200–213. https://doi.org/10.1016/j.jtho.2021.10.010
  23. Priola AM, Priola SM, Di Franco M, Cataldi A, Durando S, Fava C. Computed Tomography and Thymoma: Distinctive Findings in Invasive and Noninvasive Thymoma and Predictive Features of Recurrence. Radiol Med. 2010;115(1):1–21. https://doi.org/10.1007/s11547-009-0478-3
  24. Tomiyama N, Muller NL, Ellis SJ, Cleverley JR, Okumura M, Miyoshi S, et al. Invasive and Noninvasive Thymoma: Distinctive CT Features. J Comput Assist Tomogr. 2001;25(3):388–93. https://doi.org/10.1097/00004728-200105000-00010
  25. Marom EM, Milito MA, Moran CA, Liu P, Correa AM, Kim ES, et al. Computed Tomography Findings Predicting Invasiveness of Thymoma. J Thorac Oncol. 2011;6(7):1274–81. https://doi.org/10.1097/JTO.0b013e31821c4203
  26. Jerushalmi J, Frenkel A, Bar-Shalom R, Khoury J, Israel O. Physiologic Thymic Uptake of 18F-FDG in Children and Young Adults: A PET/CT Evaluation of Incidence, Patterns, and Relationship to Treatment. J Nucl Med. 2009;50(6):849–53. https://doi.org/10.2967/jnumed.108.058586
  27. Endo M, Nakagawa K, Ohde Y, Okumura T, Kondo H, Igawa S, et al. Utility of 18FDG-PET for Differentiating the Grade of Malignancy in Thymic Epithelial Tumors. Lung Cancer. 2008;61(3):350–5. https://doi.org/10.1016/j.lungcan.2008.01.003
  28. Sung YM, Lee KS, Kim BT, Choi JY, Shim YM, Yi CA. 18f-FDG PET/CT of Thymic Epithelial Tumors: Usefulness for Distinguishing and Staging Tumor Subgroups. J Nucl Med. 2006;47(10):1628–34.
  29. Benveniste MF, Rosado-de-Christenson ML, Sabloff BS, Moran CA, Swisher SG, Marom EM. Role of Imaging in the Diagnosis, Staging, and Treatment of Thymoma. Radiographics. 2011;31(7):1847–61; discussion 61–3. https://doi.org/10.1148/rg.317115505
  30. Sadohara J, Fujimoto K, Muller NL, Kato S, Takamori S, Ohkuma K, et al. Thymic Epithelial Tumors: Comparison of CT and MR Imaging Findings of Low-Risk Thymomas, High-Risk Thymomas, and Thymic Carcinomas. Eur J Radiol. 2006;60(1):70–9. https://doi.org/10.1016/j.ejrad.2006.05.003
  31. Han J, Lee KS, Yi CA, Kim TS, Shim YM, Kim J, et al. Thymic Epithelial Tumors Classified According to a Newly Established WHO Scheme: CT and MR Findings. Korean J Radiol. 2003;4(1):46–53. https://doi.org/10.3348/kjr.2003.4.1.46
  32. Inoue A, Tomiyama N, Fujimoto K, Sadohara J, Nakamichi I, Tomita Y, et al. MR Imaging of Thymic Epithelial Tumors: Correlation with World Health Organization Classification. Radiat Med. 2006;24(3):171–81. https://doi.org/10.1007/s11604-005-1530-4
  33. Nakagawa K, Takahashi S, Endo M, Ohde Y, Kurihara H, Terauchi T. Can (18)F-FDG PET Predict the Grade of Malignancy in Thymic Epithelial Tumors? An Evaluation of Only Resected Tumors. Cancer Manag Regressed in size with resolution of metabolic activity. 2017;9:761–8. https://doi.org/10.2147/CMAR.S146522
  34. Shibata H, Nomori H, Uno K, Sakaguchi K, Nakashima R, Iyama K, et al. 18FFluorodeoxyglucose and 11C-Acetate Positron Emission Tomography are Useful Modalities for Diagnosing the Histologic Type of Thymoma. Cancer. 2009;115(11):2531–8. https://doi.org/10.1002/cncr.24278
  35. Treglia G, Sadeghi R, Annunziata S, Lococo F, Cafarotti S, Prior J, Bertagna F, Ceriani L, Giovanella L. Diagnostic performance of Fluorine-18-Fluorodeoxyglucose positron emission tomography in the assessment of pleural abnormalities in cancer patients: A systematic review and a meta-analysis. Lung Cancer. 2014;83:1–7. https://doi.org/10.1016/j.lungcan.2013.11.002
  36. Giesel FL, Kratochwil C, Lindner T, Marschalek MM, Loktev A, Lehnert W, Debus J, Jäger D, Flechsig P, Altmann A, et al. 68Ga-FAPI PET/CT: Biodistribution and Preliminary Dosimetry Estimate of 2 DOTA-Containing FAP-Targeting Agents in Patients with Various Cancers. J. Nucl. Med. 2019;60:386–392. https://doi.org/10.2967/jnumed.118.215913
  37. Gori S, Porrozzi S, Roila et al. Germ cell tumours of the testis. Crit Rev Oncol Hematol. 2005;53:141–164. https://doi.org/10.1016/j.critrevonc.2004.05.006
  38. Kühn MW, Weissbach L. Localization, incidence, diagnosis and treatment of extratesticular germ cell tumors. Urol Int. 1985;40(3):166–172. https://doi.org/10.1159/000281074
  39. Becherer A, De Santis M, Karanikas G, et al. FDG-PET is superior to CT in the prediction of viable tumour in post chemotherapy seminoma residuals. Eur J Radiol. 2005;54:284–8. https://doi.org/10.1016/j.ejrad.2004.07.012
  40. Hinz S, Schrader M, Kempkensteffen C, et al. The role of positron emission tomography in the evaluation of residual masses after chemotherapy of advanced stage seminoma. J Urol. 2008;179:936–40. https://doi.org/10.1016/j.juro.2007.10.054
  41. Rankin S. [(18)F]2-fluoro-2-deoxy-D-glucose PET/CT in mediastinal masses. Cancer Imaging. 2010 Oct 4;10 Spec no A(1A):S156–60. https://doi.org/10.1102/1470-7330.2010.9026
  42. Sanchez, D, Zudaire, JJ, Fernandez, JM, Lopez, J, Arocena, J, Sanz, G, Gimenez, M, Rosell, D, Robles, JE and Berian, JM. 18F-fluoro-2-deoxyglucose-positron emission tomography in the evaluation of nonseminomatous germ cell tumours at relapse. BJU International. 2002;89:912–916. https://doi.org/10.1046/j.1464-410X.2002.02779.x
  43. Oechsle K, Hartmann M, Brenner W, et al. [18F] Fluorodeoxyglucose positron emission tomography in non seminomatous germ cell tumours after chemotherapy: the German Multicentre Positron Emission Tomography Study Group. J Clin Oncol. 2008;26:5930–35. https://doi.org/10.1200/JCO.2008.17.1157
  44. Schmoll HJ, Souchon R, Krege S et al. European consensus on diagnosis and treatment of germ cell cancer: a report of the European Germ Cell Cancer Consensus Group (EGCCCG). Ann Oncol. 2004;15:1179–1200
  45. Hain SF, O’Doherty MJ, Timothy AR, Leslie MD, Harper PG, Huddart RA. Fluorodeoxyglucose positron emission tomography in the evaluation of germ cell tumours at relapse. Br J Cancer. 2000;83:863–869. https://doi.org/10.1054/bjoc.2000.1389
  46. Spermon JR, De Geus-Oei LF, Kiemeney LA, Witjes JA, Oyen WJ. The role of (18)-fluoro-2-deoxyglucose positron emission tomography in initial staging and re-staging after chemotherapy for testicular germ cell tumours. Brit J Urol Int. 2002;89:549–556. https://doi.org/10.1046/j.1464-410X.2002.02641.x
  47. Tsatalpas P, Beuthien-Baumann B, Kropp J et al. Diagnostic value of 18F-FDG positron emission tomography for detection and treatment control of malignant germ cell tumors. Urol Int. 2002;68:157–163. https://doi.org/10.1159/000048442
  48. Hain SF, O’Doherty MJ, Timothy AR, Leslie MD, Partridge SE, Huddart RA. Fluorodeoxyglucose PET in the initial staging of germ cell tumours. Eur J Nucl Med. 2000;27:590–594. https://doi.org/10.1007/s002590050547
  49. Maszelin P, Lumbroso J, Theodore C, Foehrenbach H, Merlet P, Syrota A. Fluorodeoxyglucose (FDO) positron emission tomography (PET) in testicular germ cell tumors in adults: preliminary French clinical evaluation, development of the technique and its clinical applications. Prog Urol. 2000;10:1190–1199.
  50. Jerusalem G, Hustinx R, Beguin Y, Fillet G. The value of positron emission tomography (PET) imaging in disease staging and therapy assessment. Ann Oncol. 2002;13(Suppl 4):227–234. https://doi.org/10.1093/annonc/mdf664
  51. Karapetis CS, Strickland AH, Yip D, van der Walt JD, Harper PG. PET and LAP in suspected testicular cancer relapse: beware sarcoidosis. Ann Oncol. 2001;12:1485–1488. https://doi.org/10.1023/A:1012548312538
  52. Rayon D, Burch PA, Richardson RL. Sarcoidosis and testicular carcinoma. Cancer. 1998;83:361–361. https://doi.org/10.1002/(SICI)1097-0142(19980715)83:2<337::AID-CNCR18>3.0.CO;2-U
  53. Patel PM, Alibazoglu H, Ali A, Fordham E, LaMonica G. Normal thymic uptake of FDG on PET imaging. Clin Nucl Med. 1996;21:772–775. https://doi.org/10.1097/00003072-199610000-00004
  54. Fizazi K, Culine S, Kramar A et al. Early predicted time to normalization of tumor markers predicts outcome in poor-prognosis nonseminomatous germ cell tumors. J Clin Oncol. 2004;22:3868–3876. https://doi.org/10.1200/JCO.2004.04.008
  55. De Santis M, Pont J. The role of positron emission tomography in germ cell cancer. World J Urol. 2004;22:41–46. https://doi.org/10.1007/s00345-004-0403-2
  56. De Santis M, Bokemeyer C, Becherer A et al. Predictive Impact of 2-18Fluoro-2-Deoxy-D-Glucose Positron Emission Tomography for Residual Post chemotherapy Masses in Patients With Bulky Seminoma. J Clin Oncol. 2001;19:3740–3744. https://doi.org/10.1200/JCO.2001.19.17.3740
  57. De Santis M, Bokemeyer C, Becherer A et al. Predictive Impact of 2-18Fluoro-2-Deoxy-D-Glucose Positron Emission Tomography for Residual Postchemotherapy Masses in Patients With Bulky Seminoma. J Clin Oncol. 2001;19:3740–3744. https://doi.org/10.1200/JCO.2001.19.17.3740
  58. Kollmannsberger C, Oechsle K, Dohmen BM et al. Prospective comparison of [18F]fluorodeoxyglucose positron emission tomography with conventional assessment by computed tomography scans and serum tumor markers for the evaluation of residual masses in patients with nonseminomatous germ cell carcinoma. Cancer. 2002;94:2353–2362. https://doi.org/10.1002/cncr.10494
  59. Strickler JG, Kurtin PJ. Mediastinal lymphoma. Semin Diagn Pathol. 1991;8:2–13.
  60. Duwe BV, Sterman DH, Musani AI. Tumors of the mediastinum. Chest. 2005;128:2893–909. https://doi.org/10.1378/chest.128.4.2893
  61. Strollo DC, Rosado-de-Christenson ML, Jett JR. Primary mediastinal tumors: Part II. Tumors of the middle and posterior mediastinum. Chest. 1997;112:1344–57. https://doi.org/10.1378/chest.112.5.1344
  62. Isasi CR, Lu P, Blaufox MD. A metaanalysis of 18F-2-deoxy-2-fluoro-D-glucose positron emission tomography in the staging and restaging of patients with lymphoma. Cancer. 2005;104:1066–1074. https://doi.org/10.1002/cncr.21253
  63. Elstrom R, Guan L, Baker G, et al. Utility of FDG-PET scanning in lymphoma by WHO classification. Blood. 2003;101:3875–3876. https://doi.org/10.1182/blood-2002-09-2778
  64. Hutchings M, Specht L. PET/CT in the management of haematological malignancies. Eur J Haematol. 2008;80:369–380. https://doi.org/10.1111/j.1600-0609.2008.01051.x
  65. John D. Pavlus, Brett W. Carter, Marc D. Tolley, Elaine S. Keung, Leila Khorashadi, and John P. Lichtenberger. Imaging of Thoracic Neurogenic Tumors. AJR. 2016;207:3,552–561. https://doi.org/10.2214/AJR.16.16018
  66. Maureen F Zakowski, Anil V Parwani, Chapter 7 - Mediastinum, in Fine Needle Aspiration Cytology, Editor(s): Mary K Sidawy, Syed Z Ali, John R Goldblum, Churchill Livingstone, 2007; Pages 201–218. https://doi.org/10.1016/B978-0-443-06731-0.50011-2
  67. Gangadharan SP. Neurogenic Tumors of the Posterior Mediastinum. In: Sugarbaker DJ, Bueno R, Colson YL, Jaklitsch MT, Krasna MJ, Mentzer SJ, Williams M, Adams A. eds. Adult Chest Surgery, Second Edition. McGraw Hill; 2014.
  68. Takeda S, Miyoshi S, Minami M, et al. Intrathoracic neurogenic tumors: 50 years’ experience in a Japanese institution. Eur J Cardiothorac Surg. 2004;26:807–812. https://doi.org/10.1016/S1010-7940(04)00529-9
  69. Boré P, Descourt R, Ollivier L, Le Roux P-Y, and Abgral R. False Positive 18F-FDG Positron Emission Tomography Findings in Schwannoma-A Caution for Reporting Physicians. Front. Med. 2018;5:275. https://doi.org/10.3389/fmed.2018.00275
  70. Shulkin BL, Hutchinson RJ, Castle VP, Yanik GA, Shapiro B, Sisson JC. Neuroblastoma: positron emission tomography with 2-[fluorine-18]-fluoro-2-deoxy-D-glucose compared with metaiodobenzylguanidine scintigraphy. Radiology. 1996;Jun;199(3):743–50. https://doi.org/10.1148/radiology.199.3.8637999
  71. Benz MR, Czernin J, Dry SM, et al. Quantitative F18-fluorodeoxyglucose positron emission tomography accurately characterizes peripheral nerve sheath tumors as malignant or benign. Cancer. 2010;116(2):451–458. https://doi.org/10.1002/cncr.24755
  72. Cardona S, Schwarzbach M, Hinz U, et al. Evaluation of F18-deoxyglucose positron emission tomography (FDG-PET) to assess the nature of neurogenic tumours. Eur J Surg Oncol. 2003;29(6):536–541. https://doi.org/10.1016/S0748-7983(03)00055-6
  73. Nishida, Y, Ikuta, K, Ito, S, et al. Limitations and benefits of FDG-PET/CT in NF1 patients with nerve sheath tumors: A cross-sectional/longitudinal study. Cancer Sci. 2021;112:1114–1122. https://doi.org/10.1111/cas.14802
  74. Alin Chirindel, Muhammad Chaudhry, Jaishri O. Blakeley, Richard Wahl. 18F-FDG PET/CT Qualitative and Quantitative Evaluation in Neurofibromatosis Type 1 Patients for Detection of Malignant Transformation: Comparison of Early to Delayed Imaging With and Without Liver Activity Normalization. Journal of Nuclear Medicine. Mar 2015;56(3)379–385. https://doi.org/10.2967/jnumed.114.142372
  75. Kuker R, Wang J, Nagornaya N, Bhatia RG, Quencer R, Serafini A. Ga-68 DOTATATE PET/CT in the Evaluation of Paragangliomas and Other Indeterminate Lesions in the Head and Neck. Indian J Nucl Med. 2022 Oct-Dec;37(4):350–358. https://doi.org/10.4103/ijnm.ijnm_66_22
  76. Maaz AUR, O’Doherty J, Djekidel M. 68Ga-DOTATATE PET/CT for Neuroblastoma Staging: Utility for Clinical Use. J Nucl Med Technol. 2021 Sep;49(3):265–268. https://doi.org/10.2967/jnmt.120.258939
  77. Dias A, Bouchelouche K. Prostate-specific membrane antigen PET/CT incidental finding of a schwannoma. Clin Nuclear Med. 2018;43:267–8. https://doi.org/10.1097/RLU.0000000000001988