13

Features of Metastatic Ewing Sarcoma

Nikolas C. Zetouni1 • Consolato M. Sergi1-3

1Department of Laboratory Medicine and Pathology, University of Alberta Hospital, Walter C. Mackenzie Centre, Edmonton, AB, Canada; 2Division of Anatomic Pathology, Children’s Hospital of Eastern Ontario, University of Ottawa, Ottawa, ON, Canada; 3Department of Orthopedics, Tianyou Hospital, Wuhan University of Science and Technology, Wuhan, Hubei, China

Abstract: Since its first description in 1921, Ewing sarcoma has been the subject of several morphologic and genetic investigations. Currently, the overall survival for localized Ewing sarcoma is 65–70%. However, in patients presenting with metastatic disease, the overall survival is poor, being in the range of 20–30%. There are several unknown features of Ewing sarcoma, such as its cell of origin, genetic background, chemotherapy resistance, and abnormal presentation sites, among others. A better understanding of the molecular basis of the development of Ewing sarcoma is needed to help improve survival, especially in metastatic/resistance cases. In this chapter, we provide an overview of the features of metastatic Ewing sarcoma.

Keywords: cell signaling in Ewing sarcoma; metastatic Ewing sarcoma; metastatic spread; oncogenetic origins of Ewing sarcoma; therapy of metastatic Ewing sarcoma

Address for Correspondence; Consolato M. Sergi, Anatomic Pathology Division, Children’s Hospital of Eastern Ontario (CHEO), University of Ottawa, Ottawa, ON, Canada. Email: csergi@cheo.on.ca

Cite this chapter as: Zetouni NC, Sergi CM. Features of Metastatic Ewing Sarcoma. In: Sergi CM, editor. Metastasis. Brisbane (AU): Exon Publications. Online first 2022 Apr 05.

Doi: https://doi.org/10.36255/exon-publications.metastasis.metastatic-ewing-sarcoma

In: Consolato M. Sergi, editor. Metastasis. Exon Publications, Brisbane, Australia. ISBN: 978-0-6453320-2-5. Doi: https://doi.org/10.36255/exon-publications.metastasis

Copyright: The Authors.

License: This open access article is licenced under Creative Commons Attribution-NonCommercial 4.0 International (CC BY-NC 4.0) https://creativecommons.org/licenses/by-nc/4.0/

INTRODUCTION

Among sarcomas, Ewing sarcoma/Primitive neuroectodermal tumor (ES/PNET) is one of the most dangerous and lethal (1). James R. Ewing, an outstanding American pathologist at Cornell, described this entity in 1921 (24). The incidence of this tumor is 1–3 cases per million per year (5, 6). It is an aggressive tumor that can quickly become metastatic and affect children and young adults, being more common in Caucasians than in Asians or Africans. It is also more common in males than females (7, 8). ES/PNET usually occurs in the diaphysis or metaphyseal-diaphyseal portion of the long bones, pelvis, and ribs. Radiologically, ES/PNET shows an ill-defined osteolytic lesion with permeative or moth-eaten bony destruction. An “onion-skin” like periosteal reaction, associated with pain and fever, is the most common symptom. The most common laboratory findings include anemia, leukocytosis, and an increase in erythrocyte sedimentation rate (ESR). In the early 20th century, radiotherapy was the primary therapy modality, and the overall survival was 30%. Today, the combination of chemotherapy and radiotherapy is the standard treatment approach, with surgery reserved for resistant/recurrence disease if the site of the neoplasm is amenable to surgery (912). Therapy and event-free survival for ES/PNET have significantly improved over the years with the 5-year survival rate being barely achieved before using neo-adjuvant chemotherapy. Today, the long-term survival rate is 30–60%, suggesting that ES/PNET is sensitive to anti-cancer agents. There are many protocols to treat this type of sarcoma. The most common drugs used are doxorubicin, cyclophosphamide, vincristine, actinomycin-D, ifosfamide, and etoposide (13).

LIGHT AND ELECTRON MICROSCOPY FEATURES

Histologically, ES/PNET is a “round blue cell tumor” that is characterized by predominantly undifferentiated sheets of cells with relatively little stroma. It may be found at the skeletal site of origin or at metastasis (Figure 1). The cell size may vary with some ES composed of small round cells with round nuclei containing fine chromatin, scanty clear or eosinophilic cytoplasm, glycogen granules highlighted by Periodic Acid Schiff (PAS) staining, and indistinct cytoplasmic membranes (Figure 2). On the other hand, some ES/PNETs are made up of larger cells with prominent nucleoli and irregular contours. The tumor cells contain abundant glycogen, which is highlighted by histochemistry (PAS). In some cases, an arrangement of the tumor cells around a pseudo lumen (Homer-Wright pseudo-rosettes) is seen. Necrosis is a standard feature, and non-necrotic viable areas show tumor cells with frequent perivascular distribution (7).

Almost all cases express CD99 on the cell membranes (Figure 3). Vimentin and neuron specific enolase are also frequently expressed by immunohistochemistry. The relative lack of differentiation of ES/PNET has led to difficulty in identifying the tumor cell of origin, and it probably involves more than one cell type. Various authors have tried to find the cell of origin. Many suggestions have been made. They include endothelial, perivascular lympho-endothelial, pure hematologic, mesenchymal/fibroblastic, neural crest derivatives, or stem/progenitor cells. The ultrastructural investigation of tissue specimens of ES/PNET reveals polygonal cells with slightly irregular nuclei, finely dispersed chromatin, and prominent nucleoli (1416). Nucleoli are small-to-large and often open (nucleolonemas). However, some atypical cases of ES/PNET show more deeply indented nuclei. The tumor cells appear smooth-contoured, and aggregates of glycogen rosettes are frequently seen in the cytoplasm. Glycogen granules may also be seen free in the interstitium.

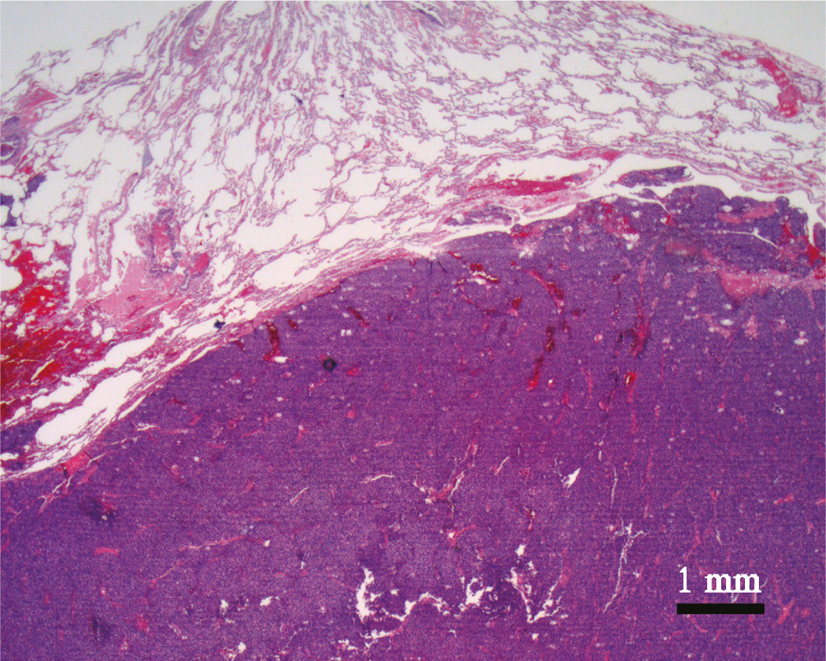
Fig 1

Figure 1. Blue cell tumor. The microphotograph depicts a resection specimen of the lung showing a “round” blue cell tumor involving the right lower half portion of the picture (dark blue area). The tumor is well demarcated and the intensity of the tumor cells is identifiable easily comparing to the alveolar parenchyma of the lung of the left upper half of the picture. The “roundness” of the tumor cells with round-ovoid contour is not appreciable at this magnification, but is better identifiable in figure 2 (Hematoxylin and Eosin staining x 12.5 original magnification).

Lipid spherules may also be seen. The cytoplasm has limited cytoplasmic organelles. Microtubules and mitochondria are rare, but pseudopod-like extensions can be observed. There is little stroma between the tumor cells. Neurosecretory granules with a 100–150 nm diameter and microtubules may be seen. The cells are joined by poorly formed, so-called desmosome-type, intercellular junctions. Atypical ES/PNET shows variable amounts of glycogen. They can also demonstrate prominent cytoplasmic filaments, mitochondria, and profiles of the endoplasmic reticulum. The ultrastructural assessment of ES/PNET requires optimal preservation of the cellular and sub-cellular organization. The “en bloc” staining technique with uranyl salts results in considerable glycogen extraction, and lead staining is mandatory. The fixation with Karnovsky osmium tetroxide-potassium ferricyanide fixative enhances glycogen preservation. Finally, ES/PNET should be kept in the differential diagnosis of the ultrastructural investigation of childhood round blue cell tumors. These tumors can sometimes be difficult to differentiate on immunohistochemistry or molecular biology (1721).

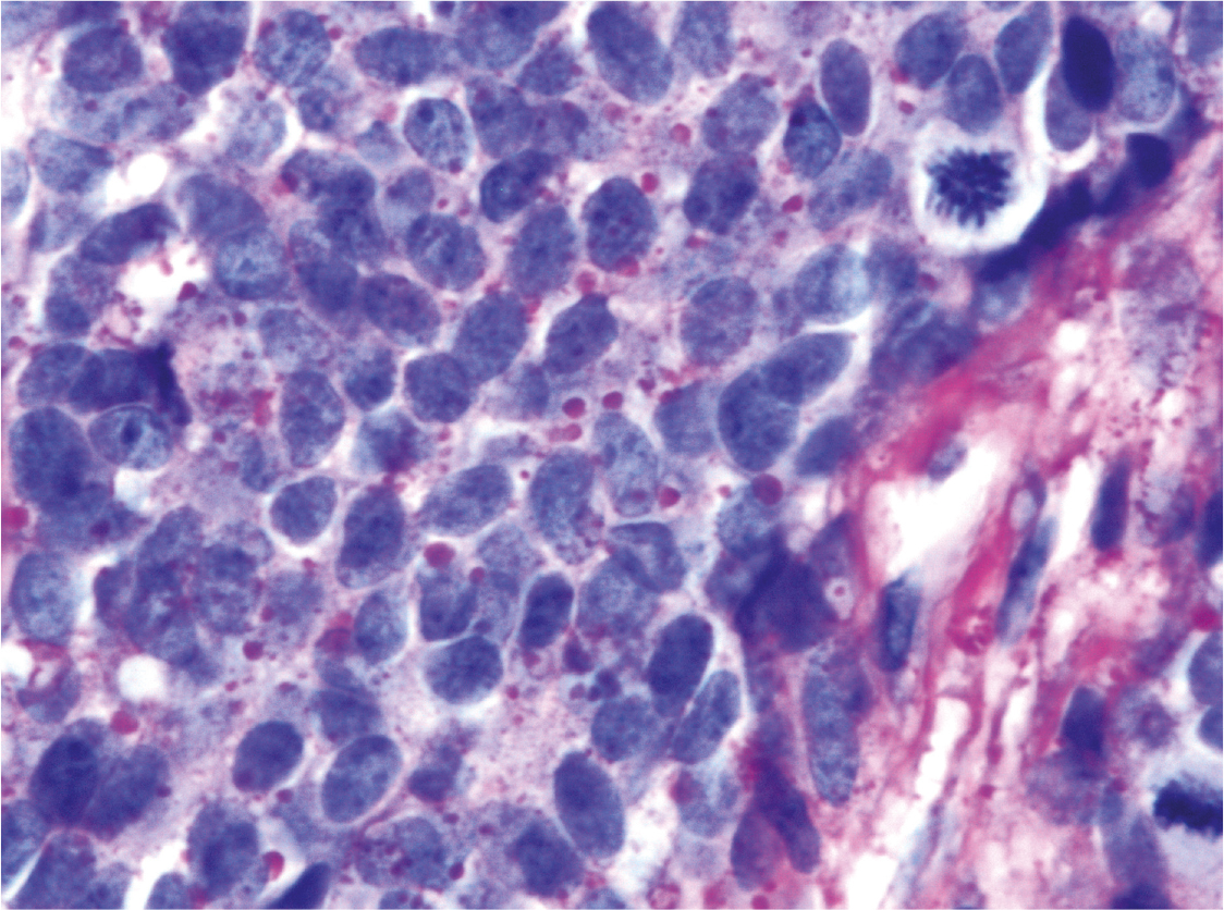
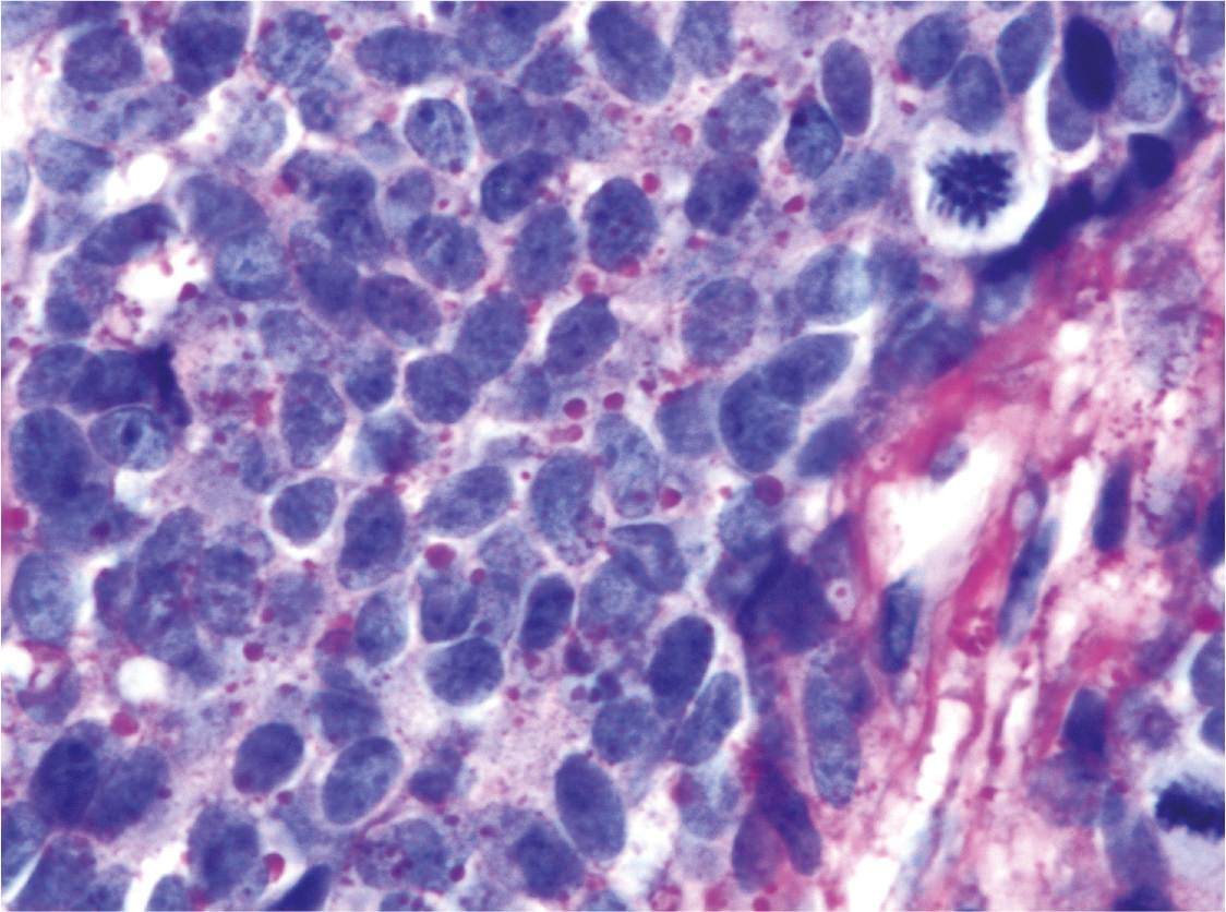
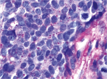
Fig 2

Figure 2. Glycogen deposits in ES/PNET. The microphotograph shows a high power view of the Ewing sarcoma/Primitive neuroectodermal tumor (ES/PNET) depicted in figure 1 with particulate of glycogen in the cytoplasm of the tumor cells and a high nucleus to cytoplasm ratio. Two mitoses (right upper corner and right lower corner) are also seen (Periodic acid Schiff staining x 630 original magnification).

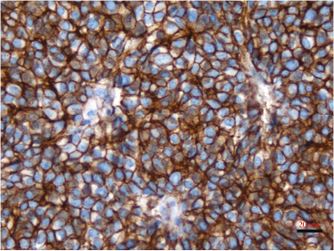
Fig 3

Figure 3. CD99 expression in ES/PNET. Immunohostochemistry of Ewing sarcoma/Primitive neuroectodermal tumor (ES/PNET) showing an intense membranous staining. It is imperative to emphasize that FLI1 immunohistochemistry is standard of care because of the non-specificity of the CD99 antigen. Thus, a positive CD99 staining result must be validated by a nuclear FLI1 immunohistochemical result, which is not demonstrated here. FLI1 is the surrogate marker for characteristic EWSR1-FLI1 translocation. A minority of ES/PNET disclose a translocation involving the EWSR1 gene and an alternative partner, most commonly the ERG gene, which is located on 21q12. (Avidin-Biotin Complex, anti-CD99 immunostaining, x400 original magnification).

ONCOGENETIC ORIGINS AND CELL SIGNALING OF EWING SARCOMA

ES/PNET is an example of a malignancy caused by fusion between oncogenes—EWS (Ewing’s sarcoma breakpoint region 1) and ETS (E-twentysix family of transcription factors) (22, 23). Genetically, these fusions come from specific chromosomal translocations that yield in-frame fusion of the amino terminus of the EWS gene on chromosome 22 and the carboxyl terminus, including the DNA-binding domain, of an ETS gene. The most common types are t(11;22)(q24;q12) and t(21;22)(q22;q12). The t(11;22) translocation results in the fusion of the region 59 of the ubiquitously expressed EWS1 gene to region 39 of the FLI-1 gene. This chimeric gene product (EWS/FLI-1) is an aberrant transcription factor that contains the transcriptional domain of EWS1, which is usually involved in protein-protein interactions, and the DNA-binding domain of FLI-1. Although capable of promoting tumorigenesis, the target gene(s) of EWS/FLI-1 is not yet fully studied in detail. In a recent study involving the Children’s Oncology Group (COG) trial AEWS1221, the patterns of translocation testing for newly diagnosed ES were described (24). The AEWS1221 trial was a phase III randomized study enrolling patients with newly diagnosed metastatic ES/PNET from 2014 to 2019. Three-hundred and five patients were enrolled. The most common type of molecular testing was fluorescence in situ hybridization (FISH). FISH was carried out on the primary tumor in three-fourths of the patients. Dubois et al. (24) found positive testing for an EWSR1 or FUS translocation in 211, which equates almost 90% of the patients. A reverse transcription-polymerase chain reaction (RT-PCR) was carried out in one fifth of the patients. The authors recorded positive results in three-fourths of the patients. A next-generation sequencing was reported in seven patients for the primary tumor and in three patients for metastatic sites. In about 5% of the patients, a translocation testing was neither on the primary nor on the metastatic tumor reported. The lack of an abnormality consistent with a molecular diagnosis of ES/PNET was seen in about 15% of the patients.

Besides chromosomal rearrangement, two mutations are correlated with ES: p53, and Retinoblastoma RB pathway, with an incidence of 5–20%. The rate on ETS/FLI-1 is in 85% of cases, ERG in 10% of cases, and ETV1, ETV4, or FEV in the remaining 5% of cases. Other common mutations or deregulated pathways involve the JNK (c-JUN oncogene) (25, 26), uPA/uPAR (urokinase plasminogen activator), and PEDF (pigment epithelium derivate factor) genes (27). The JNK pathway is related to malignant proliferation and differentiation via Mitogen-activated protein kinases (MAPKs), growth factors, and environmental stress. It occurs in response to inflammatory processes such as cytokines, being useful as biological markers to define if the tumor is at a low or high differentiation grade. The signaling consists of phosphorylation of JNK, and activation of the transcription factor c-Jun via several modulatory Serine/Threonine sites within its N-terminal transactivation domain. Activated c-Jun proceeds to homo/hetero-dimerize with c-Fos, generating the activator protein-1 (AP-1) transcription complex. It binds specific DNA sequences at target promoters and regulates the expression of genes (26, 28). The uPa/uPAR is involved in angiogenesis, cell migration, malignancy, and wound healing. Thus, high expression can indicate a fast progression of ES/PNET, the chance of metastasis, and, consequently, the prognosis of the disease. This signaling works on the conversion of plasminogen to plasmin which degrades proteins such as fibrin, fibronectin and laminin, facilitating matrix degradation and breakdown of the extracellular matrix, which is a critical step in cell invasion and cancer metastasis. The PEDF is a potent antiangiogenic and antitumorigenic glycoprotein and prevents cell migration. Low expression of PEDF can contribute to tumor growth, increased aggressiveness, metastasis, and poor outcome (2931).

The genetics of ES also interferes directly with cell signaling, deregulating many cell processes, leading to tumorgenesis. There are two common pathways deregulated in ES/PNET: tyrosine kinase and Wnt (3235). The autocrine and paracrine activation of growth factor receptors and their corresponding ligands, such as insulin-like growth factor 1 (IGF1), determine ES proliferation and maintenance (34, 3642). Targeting of EWS/FLI1 by RNA interference in ES cells affected IGF1/IGF1R (insulin like growth factor receptor type 1) survival pathway and its downstream targets. Both MAPK and PI3K signaling pathways are constitutively activated in ES, probably because of the presence of IGF1R-mediated autocrine loops. Stringent clustering was observed by analyzing gene expression in 181 tumor types, including 16 classes of sarcomas with high expression levels of tyrosine kinases or receptor tyrosine kinases in the pediatric sarcomas group. Also, there is evidence that Wnt/Frizzled signaling is functional in ES/PNET cell lines (43). Canonical Wnt/β-catenin signaling enhances EFT (Ewing family of tumors) cell motility, contributing to metastasis, probably through either autocrine or paracrine modes of action of Wnt glycoproteins. These are expressed in bone, muscle, and soft tissues. Wnt-3a induces morphological changes characterized by the formation of long cytoplasmic extensions in EFT cells (4446).

There are reports correlating the role of IGF axis with the occurrence of ES/PNET (37). Studies demonstrated a strong influence on deregulated secretion of IGF and the malignancy of tumors (40, 4752). The genetic mechanisms involve mainly three genes: EWS, FLI1, and WT1 (23). The WT1 proteins can suppress the transcriptional activity of IGF and its proteins. There are several ways IGF can promote growth in tumor cells: increased secretion of IGF-1, decreased production of IGFBP-3 (insulin-like growth factor-binding protein), and the development of IGF-1R on the cell membrane. The EWS and WT1 gene can regulate the IGF1R activity by binding IGF1R transcription start site. As for the EWS and the FLI1, the latter, when present, can activate the EWS oncogene pathway, producing abnormal proteins, making the cell susceptible to abnormal growth via the IGF axis and IGF1R is considered a potential target in ES/PNET (3739, 5356). It has been demonstrated that resistant cells switch from IGF1-IGF1R signaling to IGF2/insulin/IRA signaling. It means that there is an activation of the proliferative downstream pathways, indicating that some responding patients with ES/PNET did not have active IRA signaling. Of the pathways detected, the IGF2/insulin/IRA and the MAPK pathways seem to be important for the resistance to IGF1R inhibition. Also, the role of the IGF2 mRNA-binding protein 3 (IGF2BP3) in IGF1R and IRA signaling needs to be better elucidated.

PATTERNS OF METASTATIC SPREAD

Metastatic spread is probably the most powerful predictor of poor survival. There are several sites that have been reportedly affected by the metastatic spread. In up to four-fifths of the patients affected by ES/PNET, metastases occur in the first two years following the primary manifestation of the tumor. Metastases appear frequently in the lung (57%) and bones (34%), while spread to the central nervous system occurs in 10–37% of cases with brain metastases; primary and metastatic ES/PNET of the skull bases have been reported (57). It seems that the occurrence of metastasis, which can be overt or subclinical, seems to be a recurring phenomenon in almost all patients. Such metastatic sites can also be quite distant and rare from the primary site of the tumor, including small bowel, oral cavity, pancreas, spine, and orbital cavities among others (5765). In a dramatic presentation, ES/PNET metastasized into the jejunum causing intussusception, one of the most life-threatening chirurgical emergency (65). It seems that the transcription factor hepatoma-derived growth factor (HDGF) plays a crucial role in meatastatic spread (66). HDGF seems to regulate multiple metastasis-associated genes, including the activated leukocyte cell adhesion molecule (ALCAM)) in ES/PNET cells (66). By downregulating ALCAM, HDGF induces the expression and activation of many downstream effector genes, including Rho-GTPase Rac1 and Cdc42. In addition, HDGF promotes actin cytoskeleton remodeling and cell-matrix adhesion, which are critical in paving the pathways for metastatsic spread.

THERAPEUTIC CHALLENGES OF METASTATIC ES/PNET

Local therapy has been proposed for some patients folllowing the examination of the primary tumor by MRI, the lungs by CT, and the entire body by 18F-FDG-PET/CT/MRI. The principles, and techniques of surgery and reconstruction in primary malignant osteotumors have been defined (67). Local therapy of involved sites is crucial in controlling the outcome of patients affected with ES/PNET. Histopathological response in response to systemic therapy, assessed as >90% necrosis, has a major impact on local control rates. Additional radiotherapy following surgery has been indicated in any case of positive margins. Some protocols suggest additional radiotherapy for narrow margins and/or poor histological response (≥10% viable tumor cells in the surgical specimen assessed with histopathological examination) (67).

A combination of local therapeutic strategies may be suggested for large primary tumors with extensive soft-tissue extension. Neoadjuvant chemotherapy alone or in combination with preoperative radiotherapy has helped in reducing the tumor volume, particularly of the soft tissue component. It seems that it facilitates an adequate limb-sparing surgery. It is particularly important for subjects affected with disseminated and multifocal tumor and should probably complement systemic protocols whenever possible (67). Local treatment of both primary and metastastic tumor seems to be superior to local treatment of either the primary tumor or extrapulmonary metastases in increasing the survival of the patients. In disseminated tumor, a combined modality treatment including surgery of both the primary tumor and extrapulmonary metastases has shown better survival than single-modality local therapy (67). It has been suggested that solitary osseous metastases may be approached by surgery, radiotherapy or both if the morbidity is considered acceptable. Patients with pulmonary metastases should be considered for the same local therapy as those without (67). The role of metastasectomy of the lung parenchyma in relapsed tumor remains controversial, with variable evidence of benefit between studies (67). It is reasonable to perform a metastasectomy in selected ES/PNET patients with resectable lung metastases and proof of adquate cardiopulmonary function. It seems that the number of pulmonary metastases, disease-free time interval, and chemotherapy-response are critical factors influencing overall survival in ES/PNET (68).

The outcome of ES/PNET patients with metastasis only in the lung is better than those with bone metastasis. In fact, patients who have both pulmonary and bone metastasis have the worst outcome (6974). While various combinations of chemotherapeutic agents have provided beneficial event-free surivial for localized ES/PNET, benefits of chemotherapy for metatastatic ES/PNET continues to be dismal with the 3-year event-free survival being only 28–30% (75, 76). The addition of ifosfamide and etoposide to VDC (vincristine, doxorubicin, and cyclophosphamide) showed no significant benefit in patients who had netastatic diseases at diagnosis, differently from the improvement observed in patients with nonmetastatic ES/PNET (77). Various combination of other anticancer drugs such as vinblastine, celecoxib, or the anti-IGFR antibody ganitumab, with VDC/ifosfamide/etoposide have failed to improve outcomes (78, 79). High-dose chemotherapy with autologous stem cell did not provide any beneficial effect (80, 81). A recent Cochrane review concluded that when the location of primary ES/PNET metastasis, i.e., with metastatic disease at diagnosis, is other than the lungs, high-dose chemotherapy or autologous hematopoietic cell transplantation do not provide any advantage in event-free survival than those who receive conventional chemotherapy with whole lung irradiation (82). Palliative radiotherapy can provide symptom relief, especially pain, without a protracted treatment course for metastatic ES/PNET patients (83).

CONCLUSION

Ewing sarcoma is a highly malignant bone tumor with a poor prognosis. The prognosis has improved over the years for localized tumors but remains poor for patients with metastatic disease. Various molecular pathways involving JNK, uPA/uPAR, PEDF, and IGF have been identified in ES/PNET malignancy; however, their role in metastatic transformation is yet to be fully clarified. Metastatic ES/PNET is difficult to treat. The most commonly used radiation therapies and chemotherapies have very limited beneficial effect. Despite remarkable efforts in both diagnostic and therapeutic approaches, several aspects of ES/PNET remain elusive. A better understanding of the molecular mechanisms of metastatic transformation is urgently needed to develop effective treatment strategy for metastatic ES/PNET. Exploring drug repositioning may be one of the therapeutic options for advanced, refractory, or relapsed ES/PNET.

Conflict of Interest: The authors declare no potential conflict of interest with respect to research, authorship and/or publication of this chapter.

Copyright and Permission Statement: The authors confirm that the materials included in this chapter do not violate copyright laws. Where relevant, appropriate permissions have been obtained from the original copyright holder(s), and all original sources have been appropriately acknowledged or referenced.

REFERENCES

  1. Sergi CM. Pathology of Childhood and Adolescence: Springer; 2020. https://doi.org/10.1007/978–3-662-59169-7
  2. Cripe TP. Ewing sarcoma: an eponym window to history. Sarcoma. 2011;2011:457532. https://doi.org/10.1155/2011/457532
  3. Ewing J. Classics in oncology. Diffuse endothelioma of bone. James Ewing. Proceedings of the New York Pathological Society, 1921. CA Cancer J Clin. 1972;22(2):95–8. https://doi.org/10.3322/canjclin.22.2.95
  4. Ewing J. Diffuse endothelioma of bone. Proceedings of the New York Pathological Society. 1921;21:17.
  5. Campbell KM, Shulman DS, Grier HE, DuBois SG. Role of bone marrow biopsy for staging new patients with Ewing sarcoma: A systematic review. Pediatr Blood Cancer. 2021;68(2):e28807. https://doi.org/10.1002/pbc.28807
  6. Miller RW. Contrasting epidemiology of childhood osteosarcoma, Ewing’s tumor, and rhabdomyosarcoma. Natl Cancer Inst Monogr. 1981(56):9–15.
  7. Le Loarer F, Baud J, Azmani R, Michot A, Karanian M, Pissaloux D. Advances in the classification of round cell sarcomas. Histopathology. 2022;80(1):33–53. https://doi.org/10.1111/his.14547
  8. Aran V, Devalle S, Meohas W, Heringer M, Cunha Caruso A, Pinheiro Aguiar D, et al. Osteosarcoma, chondrosarcoma and Ewing sarcoma: Clinical aspects, biomarker discovery and liquid biopsy. Crit Rev Oncol Hematol. 2021;162:103340. https://doi.org/10.1016/j.critrevonc.2021.103340
  9. Clemente EJI, Navarro OM, Navallas M, Ladera E, Torner F, Sunol M, et al. Multiparametric MRI evaluation of bone sarcomas in children. Insights Imaging. 2022;13(1):33. https://doi.org/10.1186/s13244-022-01177-9
  10. Indelicato DJ, Mailhot Vega RB, Viviers E, Morris CG, Bradfield SM, Gibbs CP, et al. Modern Therapy for Chest Wall Ewing Sarcoma: An Update of the XXX Experience. Int J Radiat Oncol Biol Phys. 2022. https://doi.org/10.1016/j.ijrobp.2022.02.011
  11. Abboud A, Masrouha K, Saliba M, Haidar R, Saab R, Khoury N, et al. Extraskeletal Ewing sarcoma: Diagnosis, management and prognosis. Oncol Lett. 2021;21(5):354. https://doi.org/10.3892/ol.2021.12615
  12. Bouaoud J, Temam S, Galmiche L, Cozic N, Bolle S, Belhous K, et al. Head and neck Ewing sarcoma: French surgical practice analysis pleads for surgery centralization. J Craniomaxillofac Surg. 2021. https://doi.org/10.1016/j.jcms.2021.01.030
  13. Bompas E, Martin V, Meniai F, Toulmonde M, Marec-Berard P, Claude L, et al. Management of sarcomas in children, adolescents and adults: Interactions in two different age groups under the umbrellas of GSF-GETO and SFCE, with the support of the NETSARC+ network. Bulletin du cancer. 2021;108(2):163–76. https://doi.org/10.1016/j.bulcan.2020.10.009
  14. da Silva Ferreira V, Eugenio MFC, Del Nery Dos Santos E, de Souza W, Sant’Anna C. Cellular toxicology and mechanism of the response to silver-based nanoparticle exposure in Ewing’s sarcoma cells. Nanotechnology. 2021;32(11):115101. https://doi.org/10.1088/1361-6528/abcef3
  15. Fong EL, Lamhamedi-Cherradi SE, Burdett E, Ramamoorthy V, Lazar AJ, Kasper FK, et al. Modeling Ewing sarcoma tumors in vitro with 3D scaffolds. Proc Natl Acad Sci U S A. 2013;110(16):6500–5. https://doi.org/10.1073/pnas.1221403110
  16. Suh CH, Ordonez NG, Hicks J, Mackay B. Ultrastructure of the Ewing’s sarcoma family of tumors. Ultrastruct Pathol. 2002;26(2):67–76. https://doi.org/10.1080/01913120252959236
  17. Funakoshi T, Sato T, Hosokawa R, Saito M, Amagai M, Ishiko A, et al. Application of electron microscopic analysis and fluorescent in situ hybridization technique for the successful diagnosis of extraskeletal Ewing’s sarcoma. J Dermatol. 2015;42(9):893–6. https://doi.org/10.1111/1346-8138.12930
  18. Avigad S, Naumov I, Ohali A, Jeison M, Berco GH, Mardoukh J, et al. Short telomeres: a novel potential predictor of relapse in Ewing sarcoma. Clinical cancer research : an official journal of the American Association for Cancer Research. 2007;13(19):5777–83. https://doi.org/10.1158/1078-0432.CCR-07-0308
  19. Amiel A, Ohali A, Fejgin M, Sardos-Albertini F, Bouaron N, Cohen IJ, et al. Molecular cytogenetic parameters in Ewing sarcoma. Cancer Genet Cytogenet. 2003;140(2):107–12. https://doi.org/10.1016/S0165-4608(02)00659-3
  20. Dagher R, Pham TA, Sorbara L, Kumar S, Long L, Bernstein D, et al. Molecular confirmation of Ewing sarcoma. Journal of pediatric hematology/oncology. 2001;23(4):221–4. https://doi.org/10.1097/00043426-200105000-00009
  21. May WA, Denny CT. Biology of EWS/FLI and related fusion genes in Ewing’s sarcoma and primitive neuroectodermal tumor. Curr Top Microbiol Immunol. 1997;220:143–50. https://doi.org/10.1007/978-3-642-60479-9_9
  22. Flores G, Grohar PJ. One oncogene, several vulnerabilities: EWS/FLI targeted therapies for Ewing sarcoma. Journal of bone oncology. 2021;31:100404. https://doi.org/10.1016/j.jbo.2021.100404
  23. Riggi N, Suva ML, Stamenkovic I. Ewing’s Sarcoma. N Engl J Med. 2021;384(2):154–64. https://doi.org/10.1056/NEJMra2028910
  24. DuBois SG, Krailo MD, Buxton A, Lessnick SL, Teot LA, Rakheja D, et al. Patterns of Translocation Testing in Patients Enrolling in a Cooperative Group Trial for Newly Diagnosed Metastatic Ewing Sarcoma. Arch Pathol Lab Med. 2021;145(12):1564–8. https://doi.org/10.5858/arpa.2020-0671-OA
  25. Satterfield L, Shuck R, Kurenbekova L, Allen-Rhoades W, Edwards D, Huang S, et al. miR-130b directly targets ARHGAP1 to drive activation of a metastatic CDC42-PAK1-AP1 positive feedback loop in Ewing sarcoma. International journal of cancer. 2017;141(10):2062–75. https://doi.org/10.1002/ijc.30909
  26. Javelaud D, Besancon F. NF-kappa B activation results in rapid inactivation of JNK in TNF alpha-treated Ewing sarcoma cells: a mechanism for the anti-apoptotic effect of NF-kappa B. Oncogene. 2001;20(32):4365–72. https://doi.org/10.1038/sj.onc.1204570
  27. Dai X, Ma W, He X, Jha RK. Review of therapeutic strategies for osteosarcoma, chondrosarcoma, and Ewing’s sarcoma. Med Sci Monit. 2011;17(8):RA177–90. https://doi.org/10.12659/MSM.881893
  28. Bubici C, Papa S, Pham CG, Zazzeroni F, Franzoso G. NF-kappaB and JNK: an intricate affair. Cell Cycle. 2004;3(12):1524–9. https://doi.org/10.4161/cc.3.12.1321
  29. Prager GW, Mihaly J, Brunner PM, Koshelnick Y, Hoyer-Hansen G, Binder BR. Urokinase mediates endothelial cell survival via induction of the X-linked inhibitor of apoptosis protein. Blood. 2009;113(6):1383–90. https://doi.org/10.1182/blood-2008-06-164210
  30. Reuning U, Sperl S, Kopitz C, Kessler H, Kruger A, Schmitt M, et al. Urokinase-type plasminogen activator (uPA) and its receptor (uPAR): development of antagonists of uPA/uPAR interaction and their effects in vitro and in vivo. Curr Pharm Des. 2003;9(19):1529–43. https://doi.org/10.2174/1381612033454612
  31. Taubert H, Magdolen V, Kotzsch M. Impact of expression of the uPA system in sarcomas. Biomark Med. 2013;7(3):473–80. https://doi.org/10.2217/bmm.12.105
  32. Just MA, Van Mater D, Wagner LM. Receptor tyrosine kinase inhibitors for the treatment of osteosarcoma and Ewing sarcoma. Pediatr Blood Cancer. 2021;68(8):e29084. https://doi.org/10.1002/pbc.29084
  33. Jin W. The Role of Tyrosine Kinases as a Critical Prognostic Parameter and Its Targeted Therapies in Ewing Sarcoma. Front Cell Dev Biol. 2020;8:613. https://doi.org/10.3389/fcell.2020.00613
  34. Balamuth NJ, Womer RB. Ewing’s sarcoma. Lancet Oncol. 2010;11(2):184–92. https://doi.org/10.1016/S1470-2045(09)70286-4
  35. Hawkins AG, Pedersen EA, Treichel S, Temprine K, Sperring C, Read JA, et al. Wnt/beta-catenin-activated Ewing sarcoma cells promote the angiogenic switch. JCI Insight. 2020;5(13). https://doi.org/10.1172/jci.insight.135188
  36. Chang WI, Lin C, Liguori N, Honeyman JN, DeNardo B, El-Deiry W. Molecular Targets for Novel Therapeutics in Pediatric Fusion-Positive Non-CNS Solid Tumors. Front Pharmacol. 2021;12:747895. https://doi.org/10.3389/fphar.2021.747895
  37. de Groot S, Rottgering B, Gelderblom H, Pijl H, Szuhai K, Kroep JR. Unraveling the Resistance of IGF-Pathway Inhibition in Ewing Sarcoma. Cancers (Basel). 2020;12(12). https://doi.org/10.3390/cancers12123568
  38. Mancarella C, Pasello M, Manara MC, Toracchio L, Sciandra EF, Picci P, et al. Insulin-Like Growth Factor 2 mRNA-Binding Protein 3 Influences Sensitivity to Anti-IGF System Agents Through the Translational Regulation of IGF1R. Front Endocrinol (Lausanne). 2018;9:178. https://doi.org/10.3389/fendo.2018.00178
  39. van de Luijtgaarden AC, Versleijen-Jonkers YM, Roeffen MH, Schreuder HW, Flucke UE, van der Graaf WT. Prognostic and therapeutic relevance of the IGF pathway in Ewing’s sarcoma patients. Target Oncol. 2013;8(4):253–60. https://doi.org/10.1007/s11523-012-0248-3
  40. Grohar PJ, Helman LJ. Prospects and challenges for the development of new therapies for Ewing sarcoma. Pharmacol Ther. 2013;137(2):216–24. https://doi.org/10.1016/j.pharmthera.2012.10.004
  41. van Valen F, Harrer H, Hotfilder M, Dirksen U, Pap T, Gosheger G, et al. A Novel Role of IGF1 in Apo2L/TRAIL-Mediated Apoptosis of Ewing Tumor Cells. Sarcoma. 2012;2012:782970. https://doi.org/10.1155/2012/782970
  42. Mosakhani N, Guled M, Leen G, Calabuig-Farinas S, Niini T, Machado I, et al. An integrated analysis of miRNA and gene copy numbers in xenografts of Ewing’s sarcoma. J Exp Clin Cancer Res. 2012;31:24. https://doi.org/10.1186/1756-9966-31-24
  43. Uren A, Wolf V, Sun YF, Azari A, Rubin JS, Toretsky JA. Wnt/Frizzled signaling in Ewing sarcoma. Pediatr Blood Cancer. 2004;43(3):243–9. https://doi.org/10.1002/pbc.20124
  44. Seipel AH, Mechahougui H, Mach N, Triponez F, Faquin WC, De Vito C. Primary Extra-Osseous Ewing Sarcoma of the Thyroid: A Case Report and Review of the Literature. Head Neck Pathol. 2021. https://doi.org/10.1007/s12105-021-01365-x
  45. Llombart-Bosch A, Peydro-Olaya A, Gomar F. Ultrastructure of one Ewing’s sarcoma of bone with endothelial character and a comparative review of the vessels in 27 cases of typical Ewing’s sarcoma. Pathol Res Pract. 1980;167(1):71–87. https://doi.org/10.1016/S0344-0338(80)80182-8
  46. Endo Y, Beauchamp E, Woods D, Taylor WG, Toretsky JA, Uren A, et al. Wnt-3a and Dickkopf-1 stimulate neurite outgrowth in Ewing tumor cells via a Frizzled3- and c-Jun N-terminal kinase-dependent mechanism. Mol Cell Biol. 2008;28(7):2368–79. https://doi.org/10.1128/MCB.01780-07
  47. Wu SG, Chang TH, Tsai MF, Liu YN, Hsu CL, Chang YL, et al. IGFBP7 Drives Resistance to Epidermal Growth Factor Receptor Tyrosine Kinase Inhibition in Lung Cancer. Cancers (Basel). 2019;11(1). https://doi.org/10.3390/cancers11010036
  48. Gershtein ES, Isaeva ER, Kushlinsky DN, Korotkova EA, Ermilova VD, Laktionov KP, et al. Insulin-Like Growth Factors (IGF) and IGF-Binding Proteins (IGFBP) in the Serum of Patients with Ovarian Tumors. Bull Exp Biol Med. 2016;160(6):814–6. https://doi.org/10.1007/s10517-016-3317-2
  49. Jin L, Shen F, Weinfeld M, Sergi C. Insulin Growth Factor Binding Protein 7 (IGFBP7)-Related Cancer and IGFBP3 and IGFBP7 Crosstalk. Front Oncol. 2020;10:727 (in press). https://doi.org/10.3389/fonc.2020.00727
  50. Burnett M, Abuetabh Y, Wronski A, Shen F, Persad S, Leng R, et al. Graphene Oxide Nanoparticles Induce Apoptosis in wild-type and CRISPR/Cas9-IGF/IGFBP3 knocked-out Osteosarcoma Cells. J Cancer. 2020;11(17):5007–23. https://doi.org/10.7150/jca.46464
  51. Sergi C, Shen F, Liu SM. Insulin/IGF-1R, SIRT1, and FOXOs Pathways-An Intriguing Interaction Platform for Bone and Osteosarcoma. Front Endocrinol (Lausanne). 2019;10:93. https://doi.org/10.3389/fendo.2019.00093
  52. de Souza LD, Vendrame CM, de Jesus AR, Carvalho MD, Magalhaes AS, Schriefer A, et al. Insulin-like growth factor-I serum levels and their biological effects on Leishmania isolates from different clinical forms of American tegumentary leishmaniasis. Parasit Vectors. 2016;9(1):335. https://doi.org/10.1186/s13071-016-1619-x
  53. Luo W, Xu C, Phillips S, Gardenswartz A, Rosenblum JM, Ayello J, et al. Protein phosphatase 1 regulatory subunit 1A regulates cell cycle progression in Ewing sarcoma. Oncotarget. 2020;11(19):1691–704. https://doi.org/10.18632/oncotarget.27571
  54. Alvarez-Nava F, Lanes R. GH/IGF-1 Signaling and Current Knowledge of Epigenetics; a Review and Considerations on Possible Therapeutic Options. Int J Mol Sci. 2017;18(10). https://doi.org/10.3390/ijms18101624
  55. Sun H, Lin DC, Cao Q, Guo X, Marijon H, Zhao Z, et al. CRM1 Inhibition Promotes Cytotoxicity in Ewing Sarcoma Cells by Repressing EWS-FLI1-Dependent IGF-1 Signaling. Cancer research. 2016;76(9):2687–97. https://doi.org/10.1158/0008-5472.CAN-15-1572
  56. Loganathan SN, Tang N, Fleming JT, Ma Y, Guo Y, Borinstein SC, et al. BET bromodomain inhibitors suppress EWS-FLI1-dependent transcription and the IGF1 autocrine mechanism in Ewing sarcoma. Oncotarget. 2016;7(28):43504–17. https://doi.org/10.18632/oncotarget.9762
  57. Cherekaev VA, Kushel’ Iu V, Shkarubo AN, Mukhametzhanov D, Stepanian MA, Rotin DL, et al. [Primary and metastatic Ewing sarcoma of the skull base - case reports and comparative analysis]. Zh Vopr Neirokhir Im N N Burdenko. 2013;77(1):30–6; discussion 6.
  58. Farooq M, Mustafa B, Sultan KA, Ashraf M, Ashraf N, Siddique A. Extraosseous extradural ewing sarcoma of the thoracic spine: Case report and literature review. Surg Neurol Int. 2021;12:542. https://doi.org/10.25259/SNI_790_2021
  59. Mohammadhoseini P, Razzaghi S, Barazesh M, Jalili S. Ewing’s sarcoma of the hip: A case report with no evidence of tumor recurrence and literature review. Bone Rep. 2021;15:101131. https://doi.org/10.1016/j.bonr.2021.101131
  60. Schulz RE, de Lima MHA, Lopes RN, Pinto CAL, Nicolau UR, Araujo JP. A rare case of Ewing sarcoma metastasis to the oral cavity. Imaging Sci Dent. 2021;51(2):217–22. https://doi.org/10.5624/isd.20200318
  61. Agarwal R, Khare A, Gupta N. Isolated Unilateral Orbital Metastasis From Ewing Sarcoma Detected on FDG PET/CT Scan. Clin Nucl Med. 2021;46(7):e391-e2. https://doi.org/10.1097/RLU.0000000000003546
  62. Polimera H, Moku P, Abusharar SP, Vasekar M, Chintanaboina J. Metastasis of Ewing Sarcoma to the Pancreas: Case Report and Literature Review. Case Rep Oncol Med. 2020;2020:7075048. https://doi.org/10.1155/2020/7075048
  63. Saifuddin A, Sharif B, Oliveira I, Kalus S, Barnett J, Pressney I. The incidence of skip metastases on whole bone MRI in high-grade bone sarcomas. Skeletal Radiol. 2020;49(6):945–54. https://doi.org/10.1007/s00256-019-03369-9
  64. Ralapanawa DM, Jayawickreme KP, Ekanayake EM, Kumarihamy KW. Spinal intradural metastasis from scapular Ewing sarcoma. BMC Res Notes. 2015;8:298. https://doi.org/10.1186/s13104-015-1263-0
  65. Tan QT, Teo JY, Ahmed SS, Chung AY. A case of small bowel metastasis from spinal Ewing sarcoma causing intussusception in an adult female. World J Surg Oncol. 2016;14:109. https://doi.org/10.1186/s12957-016-0850-4
  66. Yang Y, Ma Y, Gao H, Peng T, Shi H, Tang Y, et al. A novel HDGF-ALCAM axis promotes the metastasis of Ewing sarcoma via regulating the GTPases signaling pathway. Oncogene. 2021;40(4):731–45. https://doi.org/10.1038/s41388-020-01485-8
  67. Zollner SK, Amatruda JF, Bauer S, Collaud S, de Alava E, DuBois SG, et al. Ewing Sarcoma-Diagnosis, Treatment, Clinical Challenges and Future Perspectives. J Clin Med. 2021;10(8). https://doi.org/10.3390/jcm10081685
  68. Stork T, Boemans R, Hardes J, Streitburger A, Dirksen U, Pottgen C, et al. Number of metastases and their response to chemotherapy impact survival of patients with isolated lung metastases from bone-derived sarcoma. BMC Cancer. 2021;21(1):375. https://doi.org/10.1186/s12885-021-08073-3
  69. Khanna N, Pandey A, Bajpai J. Metastatic Ewing’s Sarcoma: Revisiting the “Evidence on the Fence”. Indian J Med Paediatr Oncol. 2017;38(2):173–181.
  70. Cotterill S, Ahrens S, Paulussen M, Jurgens H, Voute P, Gadner H, et al. Prognostic factors in Ewing’s tumor of bone: Aanalysis of 975 patients from the European Intergroup Cooperative Ewing’s Sarcoma Study Group. J Clin Oncol. 2000;18:3108–14. https://doi.org/10.1200/JCO.2000.18.17.3108
  71. Paulussen M, Braun-Munzinger G, Burdach S, Deneke S, Dunst J, Fellinger E, et al. Results of treatment of primary exclusively pulmonary metastatic Ewing sarcoma. A retrospective analysis of 41 patients. Klinische Padiatrie 1992;205:210–6. https://doi.org/10.1055/s-2007-1025229
  72. Paulussen M, Ahrens S, Craft A, Dunst J, Fröhlich B, Jabar S, et al. Ewing’s tumors with primary lung metastases: survival analysis of 114 (European Intergroup) Cooperative Ewing’s Sarcoma Studies patients. J Clin Oncol. 1998;16:3044–52. https://doi.org/10.1200/JCO.1998.16.9.3044
  73. Paulussen M, Ahrens S, Burdach S, Craft A, Dockhorn-Dworniczak B, Dunst J, et al. Primary metastatic (stage IV) Ewing tumor: survival analysis of 171 patients from the EICESS studies. Ann Oncol. 1998;9:275–81. https://doi.org/10.1023/A:1008208511815
  74. Miser JS, Krailo MD, Tarbell NJ, Link MP, Fryer CJH, Pritchard DJ, et al. Treatment of metastatic Ewing’s sarcoma or primitive neuroectodermal tumor of bone: evaluation of combination ifosfamide and etoposide-a Children’s Cancer Group and Pediatric Oncology Group study. J Clin Oncol. 2004;22:2873–2876. https://doi.org/10.1200/JCO.2004.01.041
  75. Metts J, Russell T, Reed D, Trucco M. A Proposed Trial Design for the Treatment of Widely Metastatic Ewing Sarcoma Inspired by Evolutionary Dynamics. Cancers. 2022;14(3):736. https://doi.org/10.3390/cancers14030736
  76. Cangir A, Vietti TJ, Gehan EA, Burgert EO, Thomas P, Tefft M, et al. Ewing’s sarcoma metastatic at diagnosis. Results and comparisons of two intergroup Ewing’s sarcoma studies. Cancer 1990;66:887–893. https://doi.org/10.1002/1097-0142(19900901)66:5<887::AID-CNCR2820660513>3.0.CO;2-R
  77. Grier HE, Krailo MD, Tarbell NJ, Link MP, Fryer CJ, Pritchard DJ, et al. Addition of ifosfamide and etoposide to standard chemotherapy for Ewing’s sarcoma and primitive neuroectodermal tumor of bone. N Engl J Med. 2003;348:694–701. https://doi.org/10.1056/NEJMoa020890
  78. Felgenhauer JL, Nieder ML, Krailo MD, Bernstein ML, Henry DW, Malkin D et al. A pilot study of low-dose anti-angiogenic chemotherapy in combination with standard multiagent chemotherapy for patients with newly diagnosed metastatic Ewing sarcoma family of tumors: A Children’s Oncology Group (COG) Phase II study NCT00061893. Pediatr Blood Cancer 2013;60:409–414. https://doi.org/10.1002/pbc.24328
  79. Dubois S, Glade-Bender J, Buxton A, Laack N, Randall L, Chen H, et al. Randomized Phase 3 Trial of Ganitumab Added to Intervel Compressed Chemotherapy for Patients with Newly Diagnosed Metastatic Ewing Sarcoma: A Report from Children’s Oncology Group (COG). In Proceedings of the CTOS 2019 Annual Meeting, Tokyo, Japan, 13–16 November 2019. Available online: https://www.ctos.org/Portals/0/PDF/2019%20CTOS% 20Final%20Program.pdf (accessed on 01 April 2022).
  80. Ladenstein R, Potschger U, Le Deley MC, Whelan J, Paulussen M, Oberlin O, et al. Primary disseminated multifocal Ewing sarcoma: Results of the Euro-EWING 99 trial. J Clin Oncol. 2010;28:3284–3291. https://doi.org/10.1200/JCO.2009.22.9864
  81. Dirksen U, Brennan B, Le Deley MC, Cozic N, van den Berg H, Bhadri V, et al. High-Dose Chemotherapy Compared With Standard Chemotherapy and Lung Radiation in Ewing Sarcoma With Pulmonary Metastases: Results of the European Ewing Tumour Working Initiative of National Groups, 99 Trial and EWING 2008. J Clin Oncol. 2019;37:3192. https://doi.org/10.1200/JCO.19.00915
  82. Haveman LM, van Ewijk R, van Dalen EC, Breunis WB, Cm Kremer L, van den Berg H, et al. High-dose chemotherapy followed by autologous haematopoietic cell transplantation for children, adolescents, and young adults with primary metastatic Ewing sarcoma. Cochrane Database Syst Rev. 2021;9(9):CD011405. https://doi.org/10.1002/14651858.CD011405.pub2
  83. Koontz BF, Clough RW, Halperin EC. Palliative radiation therapy for metastatic Ewing sarcoma. Cancer. 2006;106(8):1790–3. https://doi.org/10.1002/cncr.21812