1

Pathophysiological Mechanisms Underlying the Etiologies of Seizures and Epilepsy

Alejandro Vera-González1,2

1Department of Basic Health Science, University of Caldas, Manizales, Colombia; 2Grupo de Neurociencia de Caldas, University of Caldas, Manizales, Colombia

Abstract: Epilepsies are a complex and heterogeneous group of disorders mainly characterized by the presence of recurrent, spontaneous, and unpredictable seizures. Epilepsy affects 1–2% of the global population and its incidence varies according to age, gender, race, type of epilepsy syndrome and socioeconomic conditions. The International League Against Epilepsy (ILAE) proposed a new classification framework in 2017 which included six etiologic categories of seizures and epilepsies. This chapter focuses on the proposed etiologies of epilepsy and some of the basic pathophysiological mechanisms that underlie them. Some aspects of current epilepsy treatments, and future directions related to therapeutics are discussed.

Keywords: current epilepsy treatment; epilepsy; etiology of epilepsy; physiopathology of epilepsy; seizures

Author for correspondence: Alejandro Vera-González, Department of Basic Health Science, University of Caldas, Manizales, Colombia. E-mail: alejandro.vera@ucaldas.edu.co

Cite this chapter as: Vera-González A. Pathophysiological Mechanisms Underlying the Etiologies of Seizures and Epilepsy. In: Czuczwar SJ, editor. Epilepsy. Brisbane (AU): Exon Publications. Online first 2022 Feb 25.

Doi: https://doi.org/10.36255/exon-publications-epilepsy-pathopysiology

In: Czuczwar SJ, editor. Epilepsy. Exon Publications, Brisbane, Australia. ISBN: 978-0-6453320-4-9. Doi: https://doi.org/10.36255/exon-publications-epilepsy

Copyright: The Authors.

License: This open access article is licenced under Creative Commons Attribution-NonCommercial 4.0 International (CC BY-NC 4.0) https://creativecommons.org/licenses/by-nc/4.0/

INTRODUCTION

Epilepsy is one of the most common neurological conditions, affecting over 70 million people worldwide (1). Its prevalence in high-income countries is estimated to be 6.4 cases per 1,000 persons, and the annual incidence is 67.8 cases per 100,000 person-years (2). These numbers are almost quadrupled in low-income and middle-income countries (LMICs) (3). The disease is caused by many genetic and acquired factors, some of which are reviewed here. According to the International League Against Epilepsy (ILAE), epilepsy is diagnosed when someone has two unprovoked seizures occurring more than 24 h apart; or when someone has a single unprovoked seizure (if recurrence risk is high); or when a diagnosis of an epilepsy syndrome is done (4). An epileptic seizure is defined as a transient behavioral change that might present objective signs or subjective symptoms (such as loss of awareness, stiffening, a sensation that rises from the abdomen to the chest, an odd smell, etc.), caused by abnormal excessive or synchronous neuronal activity in the brain (5).

The cornerstone of the diagnosis of epilepsy is a detailed clinical history and a reliable eyewitness account of the seizure episode. Before attempting to classify a seizure, the clinician must rule out a myriad of differential diagnoses that include convulsive syncope, parasomnias, movement disorders, and other nonepileptic events. Once the above is done, the next steps comprise the classification of the seizure type, then the epilepsy type, and finally an Epilepsy Syndrome diagnosis. At each step, causes and comorbidities should be identified (Figure 1). Seizures are first classified by onset as either focal, generalized, or unknown. Epilepsy types are divided into four categories: focal, generalized, combined generalized and focal, and unknown. The highest level of precision is obtained when the physician can put together a cluster of clinical features including age of onset, seizure types, comorbidities, abnormal electroencephalogram (EEG) findings, and imaging features to identify an epileptic syndrome (6).

Fig 1

Figure 1. 2017 ILAE classification of the epilepsies. From reference (7).

ETIOLOGY OF EPILEPSY AND PATHOPHYSIOLOGICAL MECHANISMS

Seizures and epilepsy are the consequence of an imbalance between excitation and inhibition within certain regions of the central nervous system (CNS). Given the numerous mechanisms that control neuronal electrical function, there are many different ways to perturb this balance, and therefore many different causes of both seizures and epilepsy. The ILAE Task Force (6) has defined six etiologic categories for epilepsy: genetic, structural, metabolic, infectious, immune, and unknown. These are not hierarchical, and a patient’s epilepsy may be classified into more than one etiologic category.

Structural etiology

A structural etiology refers to an abnormal finding on neuroimaging reasonably inferred to cause the patient’s seizures with concordant electroclinical assessments and/or clinical findings (7, 8). Structural etiologies may be acquired or genetic. Acquired structural causes include hypoxic-ischemic encephalopathy, stroke, trauma, and infection. Genetic origins belong to a broad range of disorders ranging from single-nucleotide mutations such as missense, frameshift and nonsense mutations, copy number variations by de novo or inherited DNA deletion or duplication, to chromosomal copy number abnormalities (9).

Among structural etiologies, it is noteworthy the relatively frequent finding of hippocampal sclerosis (HS) in mesial temporal lobe seizures (6). The characteristic pathological findings of HS consist of loss of pyramidal neurons and gliosis occurring primarily in the dentate hilus (CA4 subregion) and CA1 subregion with less change in the CA3 subregion (Figure 2). The resulting loss of inhibitory gamma-aminobutyric acid neurons (GABA-ergic) and neuropeptidergic hilar interneurons and the degeneration of excitatory mossy cells induces a synaptic reorganization primarily consistent in mossy fiber sprouting (granule cell axon sprouting) which predominantly projects into the inner molecular layer and hilar region and might establish excitatory feedback loops with the soma and dendrites of normal and ectopic granule cells (10). Mossy fiber sprouting is also linked to granule cell neurogenesis which is acutely accelerated shortly after the epileptogenic insult partly due to a loss of reelin expression by injured hippocampal interneurons (11, 12).

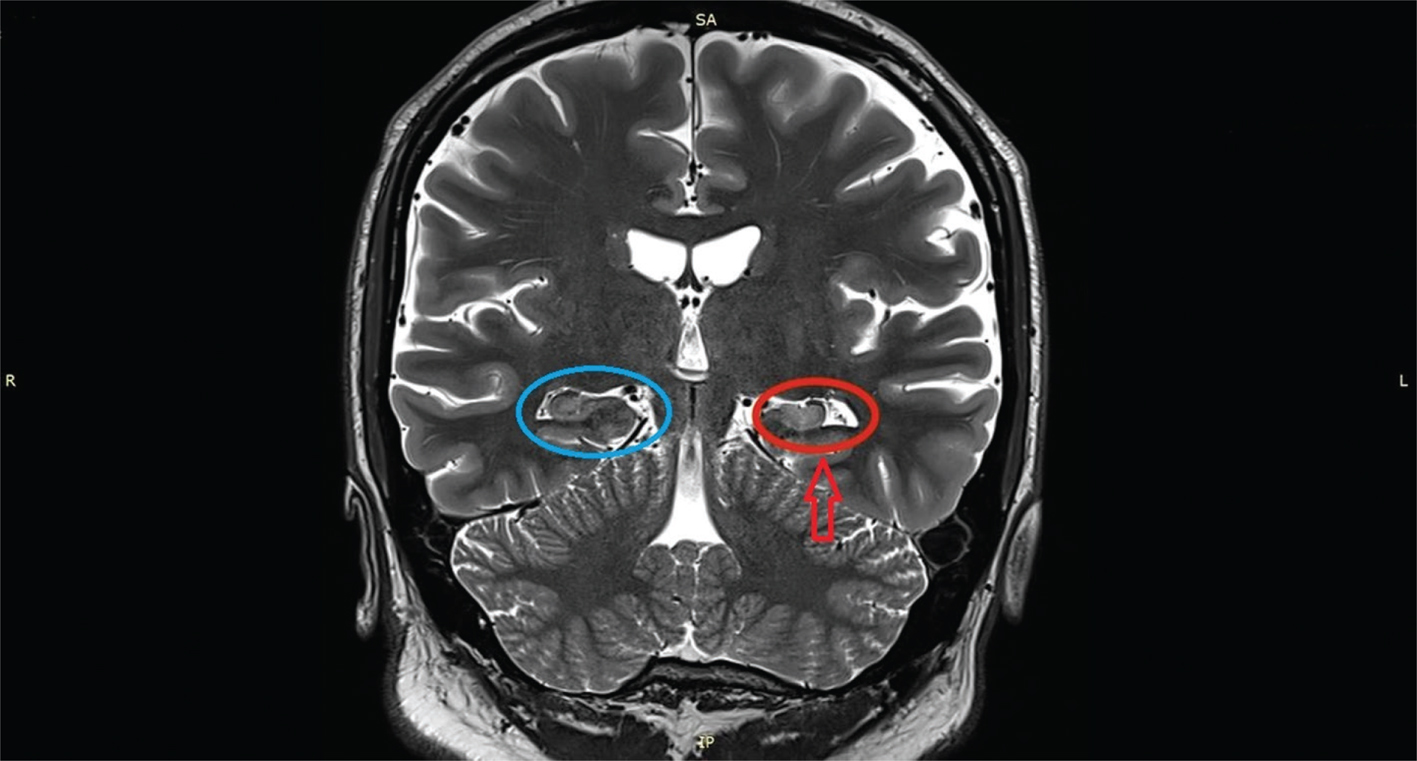
Fig 2

Figure 2. Hippocampal sclerosis as detected by MRI. Note the volume loss (red arrow and red oval) in the left hippocampus compared to the right hippocampus (blue oval). Credit: Uhomachinky, CC BY-SA 4.0 <https://creativecommons.org/licenses/by-sa/4.0>, via Wikimedia Commons.

Finally, reactive gliosis induces the downregulation of gap junction connexins, glutamate transporters, potassium channels and aquaporin 4 channels, and also promotes the altered neuronal expression of cation-chloride co-transporters, all of which can promote neuronal network hyperexcitability (13). Activated astrocytes also release gliotransmitters and cytokines, which increase neuronal network synchronization (14).

Genetic etiology

An epilepsy is considered of genetic origin if there is a known, or presumed, specific disease-causing variant in a gene or copy number variant, in which seizures are a common phenotype (6). A study by Wang et al (15) found that 977 genes were associated with epilepsy. The authors classified these genes into 4 categories according to the manifestation of epilepsy in phenotypes. These genes include epilepsy genes (genes that cause epilepsies or syndromes with epilepsy as the core symptom), neurodevelopment-associated epilepsy genes (genes associated with both brain-development malformations and epilepsy), epilepsy-related genes (genes associated with both physical or other systemic abnormalities and epilepsy or seizures) and putatively associated with epilepsy (genes which require further verification) (15). Accordingly, epilepsies can be broadly grouped into three classes defined as genetic generalized epilepsy (GGE), focal epilepsy (FE), and epileptic encephalopathy, with specific syndromes within each class defined by differences in specific seizure types, EEG patterns, age of onset, and disease progression (16).

The GGE syndromes tend to start in childhood or adolescence and are characterized by generalized seizures that involve both sides of the brain (16). They include, among others, juvenile myoclonic epilepsy, and childhood absence epilepsy, in which large recurrent deletions at chromosomes 15q13.3, 16p13.11, and 15q11.2 have been identified (17,18). With these three deletions, an association with autism and schizophrenia has also been found.

FE originate in one hemisphere of the brain. A few examples of FE syndromes are familial mesial temporal lobe epilepsy (FMTLE), autosomal dominant lateral temporal epilepsy (ADLTE) and autosomal dominant nocturnal frontal lobe epilepsy (ADNFLE). FMTLE was first described as a benign syndrome with prominent psychic and autonomic seizures and no association with HS or febrile seizures (FS), and as other types of inherited epilepsies, FMTLE is likely to be genetically heterogeneous. Genetic analysis in a four-generation kindred with several affected members from FMTLE detected a group of markers with lod score >3 on chromosome 4q13.2-q21.3 spanning a 7 cM region (19). ADLTE is a form of heritable temporal lobe epilepsy with auditory ictal manifestations. A linkage analysis in a three-generation family with 11 patients identified mutations of the leucine-rich glioma-inactivated 1 (LGI1) gene at the 10q24 locus (20). ADNFLE has a childhood onset, and it is characterized by brief nocturnal motor seizures with origins in the frontal lobe. This was the first inherited epilepsy syndrome in which a specific mutation has been identified. The gene for this FE, CHRNA4, maps to chromosome 20q13 and it encodes the α-4 subunit of the neuronal nicotinic acetylcholine receptor (nAChR), which is a pentameric ligand-gated ion channel consisting of α and β subunits. In ADNFLE patients, a missense mutation occurs in this gene causing serine to be replaced with phenylalanine at position 247, a strongly conserved amino acid residue in the second transmembrane domain (21). To better understand the functional significance of this mutation, Kuryatov et al (22) characterized the properties of mutant and wild-type human a4b2 AChRs expressed in Xenopus oocytes. The authors found that mutant AChR responses showed faster desensitization, slower recovery from desensitization, less inward rectification, and virtually no Ca2+ permeability as compared with wild type a4b2 AChRs. They concluded that the net effect of the mutation is to reduce AChR function (Figure 3).

Fig 3

Figure 3. Functional differences between wild-type and mutant a4b2 AChRs expressed in Xenopus oocytes. Use-dependent functional upregulation of the responses mediated by mutant a4b2 AChRs. Left, Currents induced by the first and fifth application of 3 mM ACh are shown for oocytes expressing wild-type and mutant a4b2 AChRs. Oocytes that did not have previous exposure to the agonists were held at 250 mV. ACh was applied at 2 min intervals. Right, Plot of the response peak amplitude on the initial five consecutive applications of 3 mM ACh on the oocytes expressing wild-type (open circles) or mutant a4b2 AChRs (filled circles). Currents were normalized to the peak amplitude of the first response. From reference (22) “Copyright 1997 Society for Neuroscience”.

Epileptic encephalopathies are severe, early onset conditions characterized by refractory seizures, developmental delay or regression associated with ongoing epileptic activity, and generally poor prognosis (16). To this class of epilepsies belong a group of disorders resulting from mutations in genes encoding ion channels, such as KCNQ2 in benign familial neonatal seizures (23), SCN2A in benign familial infantile epilepsy (24) and SCN1A in Dravet syndrome (25). KCNQ2 gene encodes voltage-gated potassium channels that produce the M current which, under normal conditions, induce a hyperpolarizing shift in membrane voltage. Loss of its function can increase neuronal hyperexcitability, leading to spontaneous seizure activities as reported in KCNQ2 knockout mice (26). SCN1A gene encodes the NaV1.1 (one of nine α subtypes of voltage-gated sodium channels preferentially expressed in GABA-ergic neurons), and this is one of the most important causative genes in epilepsy with more than 1,257 epilepsy-related mutations being reported (27). Dysfunction of Nav1.1 channels lead to reduced excitability of GABA-ergic neurons resulting in brain hyperexcitability in patients with Dravet syndrome (28). The identification of these monogenic epilepsy-causing genes gave rise to the “channelopathy” hypothesis of epilepsy origin, postulating that dysfunction or dysregulation of ion channels is a common mechanism underlying epilepsy syndromes. As an example of a Nav based channelopathy, in Figure 4 it can be appreciated how a F1449V mutation in Nav1.7 channel (which causes inherited erythromelalgia) increases channel activity by augmenting the channel diameter in the closed state. In the WT channel, the hydrophobic gate is formed by a tyrosine residue from DI and three phenylalanine residues from each of DII, DIII and DIV. The F1449V mutation is found in DIII (29).

Fig 4

Figure 4. Nav1.7 channel structure and contour of the pore. A, Snapshot of the NavAb channel structure embedded in a lipid bilayer with a solution containing sodium and chloride ions in the extracellular and intracellular milieu. The voltage sensors are purple and the channel domains green. B and C, Model of the hydrophobic gate in Nav1.7 with the WT F1449 (B) and the mutant F1449V (C), causing an increased channel diameter. From reference (29).

Infectious etiology

Infections of the CNS are a major risk factor for epilepsy, and they are the most common identifiable etiology of epilepsy in some regions of the world. The reported risk of unprovoked seizures in population-based cohorts of survivors of CNS infections from developed countries is between 6.8 and 8.3 %, and is higher in LMICs (30).

An infectious etiology refers to a patient with epilepsy, not a patient with seizures due to an acute infection of the CNS (6). In this context, seizures are induced by brain alterations in response to neurotropic infectious agents that attack the CNS like cysticercus, human immunodeficiency virus, cytomegalovirus, toxoplasma gondii, mycobacterium tuberculosis, and Plasmodium falciparum, among many others. Each infectious agent causes specific types of cerebral damage like cortical necrosis in the case of some viruses, infarction in bacterial meningitis, hypoxic–ischemic injury in cerebral malaria, and gliosis around calcified larvae in Neurocysticercosis; besides, they trigger an immune/inflammatory-mediated response in the infected brain tissue. The prolonged stimulation by proinflammatory signals, either by chronic inflammation or by seizures themselves, may lead to damage of the blood brain barrier (BBB), neuronal death, and persistent neuronal hyperexcitability. Immune responses to systemic (non-CNS) infections may result in proinflammatory cytokine-induced alterations in BBB integrity and subsequent neuronal hyperexcitability (30, 31). Classifying an epilepsy patient as having an infectious etiology has treatment implications and thus would often take precedence over other classifications (6).

Metabolic etiology

The concept of a metabolic epilepsy is that it results directly from a known or presumed metabolic derangement in which seizures are a core symptom of the disorder. Someone with a transient metabolic disturbance resulting in acute-symptomatic seizures would not qualify as their seizures are provoked, and therefore they cannot be classified as epileptic (6). Several metabolic disorders result from genetic abnormalities which can manifest as cellular degeneration and dysmyelination to disorders of neuronal migration, promoting epileptogenesis indirectly by negatively impacting cellular or organ function.

These disorders are organized by the defective molecule or mechanism and categorized as small or large molecule disorders. Small-molecule disorders involve amino, organic, and fatty acids, neurotransmitters and its metabolites, urea cycle constituents, vitamers and cofactors, and they are represented by a variety of amino acidopathies, organic acidemias (e.g., methylmalonic acidemia), demyelinating conditions (e.g., Canavan disease), defective GABA metabolism (e.g., succinic semialdehyde dehydrogenase deficiency), and mitochondrial disorders (e.g., myoclonic epilepsy with ragged red fibers). Large-molecule disorders include lysosomal storage, peroxisomal and glycosylation disorders, and leukodystrophies (32). Even though most metabolic epilepsies will have a genetic basis, some may be acquired such as pyridoxine-dependent seizures and cerebral folate deficiency (6).

Immune etiology

An immune etiology can be suspected in patients with epilepsy of unknown origin when they are seropositive for neural specific antibodies and have evidence of autoimmune-mediated CNS inflammation (6). The rate of autoimmune epilepsies according to population-based studies is around 5-7% of all epilepsies (33). The identification of this etiology has treatment implications because epileptic seizures evoked by autoimmune encephalitis should be treated by immunotherapies instead of conventional antiepileptic drug therapies.

Autoimmune epilepsy has been linked to both neuronal cell surface antigens (LGI1, N-methyl-D-aspartate receptor (NMDA-R), α-amino-3-hydroxy-5-methyl-4-isoxazolepropionic acid (AMPA), GABA-B, and metabotropic glutamate receptor 5 (mGluR5)) and neuronal intracellular antigens (glutamic acid decarboxylase 65 (GAD65), antineuronal nuclear antibody type 1 (ANNA-1), and small cell lung carcinoma (Ma)) (33,34). Autoantibodies against plasma membrane epitopes seem to impair ion channel functions, for example, IgG anti-LGI1 leads to disruption of LGI1–ADAM22 interaction which reduces synaptic AMPA receptor function, subsequently disrupting calcium influx (33). In a similar manner, IgG anti-NMDA-R binds to a region of the GluN1 subunit of NMDA-R disrupting the interaction between NMDA-R and ephrin type B2 receptor, accompanied by reduced synaptic NMDA-R-mediated currents (33, 34). In the case of autoantibodies against intracellular epitopes, the pathogenic mechanisms seem to be mediated by cytotoxic T cells which cause neuronophagia, granzyme B neurotoxicity, neuronal loss, and gliosis, favoring epileptogenesis in the affected patients (35).

Immune responses are also implicated in seizure induction and in the development of epilepsy. Both innate (inflammation) and adaptive immune responses are activated in the epileptic brain by resident immune cells and their secreted-mediators, as well as for leukocytes infiltrated from the periphery. The pathogenic neuroinflammatory process can be either of peripheral, or central origin. Peripheral inflammation potentiates epileptic discharges via changes in ion and glutamate homeostasis, and also via migration of pro-inflammatory molecules from peripheral inflammatory focus to the BBB (36).

The pathological trigger event can be a febrile seizure, trauma, stroke or infection, any of which may lead to an inflammatory cascade that involves the activation of the IL-1 receptor/toll-like receptor (IL-1R/TLR) signaling pathways through ligation of pathogen-associated molecular patterns (PAMPs) or damage-associated molecular patterns (DAMPs), the activation of the cyclooxygenase-2 (COX-2) pathway, and the initiation of the transforming growth factor-β/small mothers against decapentaplegic (TGF-β/Smad) signaling cascade. The activation of glia, neurons, and endothelial cells that constitute the BBB most likely result in the release of proinflammatory cytokines, such as IL-1β and TNF-α, and of danger signals, such as high-mobility group box-1 (HMGB1). The inflammatory mediators produced leads to BBB leakage by enhancing its permeability and upregulating leukocyte adhesion molecules on the endothelium, which acts to attract lymphocytes of the adaptive immune system leading to their infiltration into the CNS (37).

There is a sixth etiology category, designated as Unknown, reserved for patients whose etiology remains unclear.

CURRENT EPILEPSY TREATMENT

The goal of current treatment for a patient with a seizure disorder or a diagnosis of an epileptic syndrome is to enable him/her to live an unrestricted life by controlling the seizures with anti-epileptic medications, neuromodulation or surgery, avoiding precipitating factors, and addressing a variety of psychological and social issues. To date, epilepsy cannot be cured.

Pharmacological treatment

Antiepileptic drugs (AEDs) act primarily by favoring inhibition over excitation and thereby stopping or preventing the initiation or spread of seizure activity. The AEDs can be grouped according to their main mechanism of action. The mechanisms include inhibition of Na-dependent action potentials (e.g., phenytoin, carbamazepine, lamotrigine, topiramate, zonisamide, lacosamide, cenobamate), inhibition of voltage-gated Ca2+ channels (phenytoin), blocking of glutamate (lamotrigine, felbamate, perampanel), GABA enhancement (benzodiazepines and barbiturates), GABA reuptake inhibition (valproic acid, gabapentin, tiagabine) and opening of potassium channels (ezogabine). Two of the drugs for absence seizures, ethosuximide and valproic acid, probably act by inhibiting T-type Ca2+ channels in thalamic neurons (38).

Neurosurgical treatment

The current AEDs could be effective in almost 80% of individuals, the remaining 20% of patients are considered to have drug-resistant epilepsy despite efforts to find an effective combination of AEDs. These patients might benefit from removal or disconnection of a circumscribed brain region to achieve full seizure-control, or at least stop disabling seizures (1).

Types of neurosurgical interventions include resection procedures for lesional epilepsies caused by developmental abnormalities, tumors, vascular malformations, or trauma. For intractable temporal lobe epilepsy, temporal lobectomy with hippocampectomy remains the most common surgically treated cause of seizures. Other procedures include resections of discrete epileptogenic lesions such as tubers and certain types of tumor, resections of large parts of single or multiple lobes (partial or total lobectomy), and subtotal or total hemispherectomy for some conditions involving large portions of brain. The most common disconnection procedure involves partial and complete corpus callosotomies (39).

The effectiveness of surgical treatment depends on epilepsy type, underlying pathology, and accurate localization of the epileptogenic brain region by various clinical, neuroimaging, and neurophysiological investigations. The proportion of individuals that are seizure free after surgery ranges from 50–80% in well selected groups (40).

Neurostimulation

Neurostimulatory techniques are palliative options for patients with drug-resistant epilepsy when surgery is not possible or if surgery failed. Through electrical impulses applied to peripheral nerves or specific brain areas it is possible to counteract potential seizure generation or propagation. Two of the most used neurostimulation techniques, vagus nerve stimulator (VNS), the first approved neurostimulation device for epilepsy, and deep brain stimulation (DBS) using electrodes implanted into the anterior nucleus of the thalamus, have demonstrated a ≥50% reduction in seizure frequency in at least 50% of patients in open-labelled, uncontrolled studies. VNS and DBS both are also associated with improved Quality of Life (QOL), fewer hospitalizations due to status epilepticus and reduced mortality (1, 5).

FUTURE DIRECTIONS

Despite the development of more than 25 anti-seizure medicines, primarily focused on symptomatic reliefs by targeting ion channels and neurotransmitter systems, approximately 30-40% of patients cannot be adequately controlled (41). Additionally, 80% of patients with epilepsy report experiencing adverse events related to their anti-seizure medicine and 30–40% will have adverse effects that substantially impair their quality of life or result in medication cessation or non-adherence (5). On the other hand, most of the candidates for epilepsy surgery never receive an evaluation for resective brain surgery (42). Therefore, there is an urgent need for new therapeutic approaches for effective seizure-control.

In this context, gene therapy has emerged in the last years as an alternative to pharmacotherapy and surgical resections for the treatment of refractory epilepsy. Gene therapy seeks to alleviate diseases by introducing genetic material into target cells to restore physiological functions. Although it is still in the preclinical development phase, a variety of treatment strategies, from overexpressing inhibitory neuropeptides to modulating the expression of neurotransmitters or ion channels, have been tested successfully in animal models of epilepsy (43).

Another innovative treatment approach consists in the intracerebral injection of antisense oligonucleotides (ASOs) for the inhibition of certain MicroRNAs (miRNAs). miRNAs are small noncoding RNAs that suppress the translation of mRNAs and have become new therapeutic targets in epilepsy and other diseases. There have been more than 300 studies on miRNA and epilepsy, and over 100 different miRNAs are altered in experimental models and human samples. Of these, there are 10–20 miRNAs that appear consistently dysregulated and for which there is functional evidence for effects on seizures (44).

CONCLUSION

The introduction of the ILAE classification for the identification of etiologies of epilepsies was a major step towards our understanding of the pathophysiological mechanisms of epilepsies. The inclusion of multiple structural, genetic, metabolic, infectious, and immune etiologies of epilepsy made it possible to use an evidence-based approach to determine the optimal treatment for an individual patient. In addition, increased knowledge of the molecular alterations that lead to permanent changes in neuronal network structure and function after epileptogenic brain insults has opened new avenues for the development of new mechanism-based therapeutics which hold the promise of permanently curing some of the most common forms of genetic epilepsies.

Conflict of Interest: The author declares no potential conflicts of interest with respect to research, authorship and/or publication of this manuscript.

Copyright and Permission Statement: The author confirms that the materials included in this chapter do not violate copyright laws. Where relevant, appropriate permissions have been obtained from the original copyright holder(s), and all original sources have been appropriately acknowledged or referenced.

REFERENCES

  1. Thijs RD, Surges R, O’Brien TJ, Sander JW. Epilepsy in adults. The Lancet. 2019;393(10172):689–701. https://doi.org/10.1016/S0140-6736(18)32596-0
  2. Fiest KM, Sauro KM, Wiebe S, Patten SB, Kwon C-S, Dykeman J, et al. Prevalence and incidence of epilepsy: A systematic review and meta-analysis of international studies. Neurology. 2017;88(3):296–303. https://doi.org/10.1212/WNL.0000000000003509
  3. Díaz Cabezas R, Ruano Restrepo MI, Chacón Cardona JA, Vera-González A. Neuroepidemiology profile center zone of department of Caldas (Colombia), years 2004–2005. Rev Neurol. 2006;43(11):646. https://doi.org/10.33588/rn.4311.2005774
  4. Fisher RS, Acevedo C, Arzimanoglou A, Bogacz A, Cross JH, Elger CE, et al. ILAE Official Report: A practical clinical definition of epilepsy. Epilepsia. 2014;55(4):475–82. https://doi.org/10.1111/epi.12550
  5. Devinsky O, Vezzani A, O’Brien TJ, Jette N, Scheffer IE, de Curtis M, et al. Epilepsy. Nat Rev Dis Primer. 2018;3(18024). https://doi.org/10.1038/nrdp.2018.24
  6. Scheffer IE, Berkovic S, Capovilla G, Connolly MB, French J, Guilhoto L, et al. ILAE classification of the epilepsies: Position paper of the ILAE Commission for Classification and Terminology. Epilepsia. 2017;58(4):512–21. https://doi.org/10.1111/epi.13709
  7. Mei Z, Zhao X, Chen H, Chen W. Bio-signal complexity analysis in epileptic seizure monitoring: A topic review. Sensors. 2018;18(6):1720. https://doi.org/10.3390/s18061720
  8. Lapalme-Remis S, Cascino GD. Imaging for adults with seizures and epilepsy: Contin Lifelong Learn Neurol. 2016;22(5):1451–79. https://doi.org/10.1212/CON.0000000000000370
  9. El Achkar CM, Olson HE, Poduri A, Pearl PL. The genetics of the epilepsies. Curr Neurol Neurosci Rep. 2015;15(7):39. https://doi.org/10.1007/s11910-015-0559-8
  10. Buckmaster PS. Mossy fiber sprouting in the dentate gyrus. In: Jasper’s Basic Mechanisms of the Epilepsies [Internet]. 4th ed. Bethesda (MD): National Center for Biotechnology Information (US); 2012. https://doi.org/10.1093/med/9780199746545.003.0032
  11. Parent JM, Kron MM. Neurogenesis and Epilepsy. En: Jasper’s Basic Mechanisms of the Epilepsies [Internet]. 4th ed. Bethesda (MD): National Center for Biotechnology Information (US); 2012. https://doi.org/10.1093/med/9780199746545.003.0038
  12. Orcinha C, Münzner G, Gerlach J, Kilias A, Follo M, Egert U, et al. Seizure-induced motility of differentiated dentate granule cells is prevented by the central reelin fragment. Front Cell Neurosci. 2016;10. https://doi.org/10.3389/fncel.2016.00183
  13. Robel S, Buckingham SC, Boni JL, Campbell SL, Danbolt NC, Riedemann T, et al. Reactive astrogliosis causes the development of spontaneous seizures. J Neurosci. 2015;35(8):3330–45. https://doi.org/10.1523/JNEUROSCI.1574-14.2015
  14. Steinhäuser C, Grunnet M, Carmignoto G. Crucial role of astrocytes in temporal lobe epilepsy. Neuroscience. 2016;323:157–69. https://doi.org/10.1016/j.neuroscience.2014.12.047
  15. Wang J, Lin Z-J, Liu L, Xu H-Q, Shi Y-W, Yi Y-H, et al. Epilepsy-associated genes. Seizure. 2017;44:11–20. https://doi.org/10.1016/j.seizure.2016.11.030
  16. Myers CT, Mefford HC. Advancing epilepsy genetics in the genomic era. Genome Med. 2015;7(1):91.https://doi.org/10.1186/s13073-015-0214-7
  17. Helbig I, Mefford HC, Sharp AJ, Guipponi M, Fichera M, Franke A, et al. 15q13.3 microdeletions increase risk of idiopathic generalized epilepsy. Nat Genet. 2009;41(2):160–2. https://doi.org/10.1038/ng.292
  18. de Kovel CGF, Trucks H, Helbig I, Mefford HC, Baker C, Leu C, et al. Recurrent microdeletions at 15q11.2 and 16p13.11 predispose to idiopathic generalized epilepsies. Brain. 2010;133(1):23–32. https://doi.org/10.1093/brain/awp262
  19. Hedera P, Blair MA, Andermann E, Andermann F, D’Agostino D, Taylor KA, et al. Familial mesial temporal lobe epilepsy maps to chromosome 4q13.2-q21.3. Neurology. 2007;68(24):2107–12. https://doi.org/10.1212/01.wnl.0000261246.75977.89
  20. Ottman R, Winawer MR, Kalachikov S, Barker-Cummings C, Gilliam TC, Pedley TA, et al. LGI1 mutations in autosomal dominant partial epilepsy with auditory features. Neurology. 2004;62(7):1120–6. https://doi.org/10.1212/01.WNL.0000120098.39231.6E
  21. Steinlein OK, Mulley JC, Propping P, Wallace RH, Phillips HA, Sutherland GR, et al. A missense mutation in the neuronal nicotinic acetylcholine receptor α4 subunit is associated with autosomal dominant nocturnal frontal lobe epilepsy. Nat Genet. 1995;11(2):201–3. https://doi.org/10.1038/ng1095-201
  22. Kuryatov A, Gerzanich V, Nelson M, Olale F, Lindstrom J. Mutation causing autosomal dominant nocturnal frontal lobe epilepsy alters Ca2+ permeability, conductance, and gating of human α4β2 nicotinic acetylcholine receptors. J Neurosci. 1997;17(23):9035–47. https://doi.org/10.1523/JNEUROSCI.17-23-09035.1997
  23. Singh NA, Charlier C, Stauffer D, DuPont BR, Leach RJ, Melis R, et al. A novel potassium channel gene, KCNQ2, is mutated in an inherited epilepsy of newborns. Nat Genet. 1998;18(1):25–9. https://doi.org/10.1038/ng0198-25
  24. Heron SE, Crossland KM, Andermann E, Phillips HA, Hall AJ, Bleasel A, et al. Sodium-channel defects in benign familial neonatal-infantile seizures. The Lancet. 2002;360(9336):851–2. https://doi.org/10.1016/S0140-6736(02)09968-3
  25. Claes L, Del-Favero J, Ceulemans B, Lagae L, Van Broeckhoven C, De Jonghe P. De novo mutations in the sodium-channel gene SCN1A cause severe myoclonic epilepsy of infancy. Am J Hum Genet. 2001;68(6):1327–32. https://doi.org/10.1086/320609
  26. Peters HC, Hu H, Pongs O, Storm JF, Isbrandt D. Conditional transgenic suppression of M channels in mouse brain reveals functions in neuronal excitability, resonance and behavior. Nat Neurosci. 2005;8(1):51–60. https://doi.org/10.1038/nn1375
  27. Meng H, Xu H-Q, Yu L, Lin G-W, He N, Su T, et al. The SCN1A mutation database: Updating information and analysis of the relationships among genotype, functional alteration, and phenotype. Hum Mutat. 2015;36(6):573–80. https://doi.org/10.1002/humu.22782
  28. Kim J-B. Channelopathies. Korean J Pediatr. 2014;57(1):1.https://doi.org/10.3345/kjp.2014.57.1.1
  29. Musgaard M, Paramo T, Domicevica L, Andersen OJ, Biggin PC. Insights into channel dysfunction from modelling and molecular dynamics simulations. Neuropharmacology. 2018;132:20–30. https://doi.org/10.1016/j.neuropharm.2017.06.030
  30. Vezzani A, Fujinami RS, White HS, Preux P-M, Blümcke I, Sander JW, et al. Infections, inflammation and epilepsy. Acta Neuropathol (Berl). 2016;131(2):211–34. https://doi.org/10.1007/s00401-015-1481-5
  31. Singhi P. Infectious causes of seizures and epilepsy in the developing world: Review. Dev Med Child Neurol. 2011;53(7):600–9. https://doi.org/10.1111/j.1469-8749.2011.03928.x
  32. Yu JY, Pearl PL. Metabolic causes of epileptic encephalopathy. Epilepsy Res Treat. 2013;2013:1–20. https://doi.org/10.1155/2013/124934
  33. Husari KS, Dubey D. Autoimmune epilepsy. Neurotherapeutics. 2019;16(3):685–702. https://doi.org/10.1007/s13311-019-00750-3
  34. Toledano M, Pittock S. Autoimmune epilepsy. Semin Neurol. 2015;35(03):245–58. https://doi.org/10.1055/s-0035-1552625
  35. Bien CG, Vincent A, Barnett MH, Becker AJ, Blumcke I, Graus F, et al. Immunopathology of autoantibody-associated encephalitides: clues for pathogenesis. Brain. 2012;135(5):1622–38. https://doi.org/10.1093/brain/aws082
  36. Vitaliti G, Pavone P, Marino S, Saporito MAN, Corsello G, Falsaperla R. Molecular mechanism involved in the pathogenesis of early-onset epileptic encephalopathy. Front Mol Neurosci. 2019;12:118. https://doi.org/10.3389/fnmol.2019.00118
  37. Xu D, Miller SD, Koh S. Immune mechanisms in epileptogenesis. Front Cell Neurosci. 2013;7. https://doi.org/10.3389/fncel.2013.00195
  38. Lowenstein DH. Seizures and Epilepsy. En: Kasper D, Fauci A, Hauser S, Longo D, Jameson JL, Loscalzo J, editores. Harrison’s Principles of Internal Medicine, 19e [Internet]. New York, NY: McGraw-Hill Education; 2014
  39. Ali R, Air EL. Surgical Therapies for Epilepsy. En: Wasade VS, Spanaki MV, editors. Understanding Epilepsy [Internet]. 1st ed. Cambridge University Press; 2019. p. 417–31. https://doi.org/10.1017/9781108754200.023
  40. Ryvlin P, Cross JH, Rheims S. Epilepsy surgery in children and adults. Lancet Neurol. 2014;13(11):1114–26. https://doi.org/10.1016/S1474-4422(14)70156-5
  41. Chen Z, Brodie MJ, Liew D, Kwan P. Treatment outcomes in patients with newly diagnosed epilepsy treated with established and new antiepileptic drugs: A 30-year longitudinal cohort study. JAMA Neurol. 2018;75(3):279. https://doi.org/10.1001/jamaneurol.2017.3949
  42. Niu W, Parent JM. Modeling genetic epilepsies in a dish. Dev Dyn. 2020;249(1):56–75. https://doi.org/10.1002/dvdy.79
  43. Zhang L, Wang Y. Gene therapy in epilepsy. Biomed Pharmacother. 2021;143:112075. https://doi.org/10.1016/j.biopha.2021.112075
  44. Morris G, O’Brien D, Henshall DC. Opportunities and challenges for microRNA-targeting therapeutics for epilepsy. Trends Pharmacol Sci. 2021;42(7):605–16. https://doi.org/10.1016/j.tips.2021.04.007