4

Nasopharyngeal Melanoma

Giovanni Paolino1,2 Dario Didona3 Giulia Macrì4 Stefano Calvieri1 Santo Raffaele Mercuri2

1Dipartimento di Medicina Interna e Specialità Mediche, Dermatological Clinic, La Sapienza Università di Roma, Rome, Italy
2Dermatology and Cosmetology, IRCCS San Raffaele Hospital, Milan, Italy;
3Klinik für Dermatologie und Allergologie, Universitätsklinikum Marburg, Marburg, Germany;
4Department of Plastic and Reconstructive Surgery, Fondazione Policlinico Universitario Gemelli, Rome, Italy

Abstract: Mucosal nasopharyngeal melanoma is a rare head and neck melanoma. Prognosis is poor (5-year overall survival rate of 10–30%) with high rates of metastases and local recurrence. Head and neck mucosal melanoma represents 0.8–3.7% of all melanomas and 0.03% of all neoplasms; the most commonly involved sites are the nose, paranasal sinuses, oral cavity, pharynx, and larynx. A slight female predominance has been described and the median age of presentation is 64.3. Irritants and carcinogenic substances, such as tobacco smoke and formaldehyde, seem to be related to its development. A lack of specific clinical features often leads to a late diagnosis. At an early stage, clinical features can include epistaxis, obstruction, difficulty breathing, serous otitis media, and nasal discharge; subsequently, pain, facial distortion, proptosis, and diplopia predominate the clinical pictures. Masses are mostly polyploid, friable, and bloody. They can be amelanotic or surrounded by black- or brown-pigmented dots. Nasopharyngeal melanoma resembles other common polypoid lesions; therefore, histology plays a pivotal role in confirming the diagnosis. Computed tomography, facial and total body scan, as well as magnetic resonance imaging are mandatory for a correct staging. Surgical treatment remains the gold standard. External or intranasal incision depends on tumor site and size. Sentinel lymph node biopsy is not usually performed. Neck dissection is indicated in cases of clinical and/or radiological positivity. Radiotherapy is mostly palliative, as radiotherapy lacks efficacy for mucosal melanomas. The effectiveness of target therapy and/or immunotherapy is undergoing evaluation.

Keywords: Malignancy; Melanoma; Mucosal; Nasopharyngeal; Oral

Author for correspondence: Giovanni Paolino, Dipartimento di Medicina Interna e Specialità Mediche, Dermatological Clinic, La Sapienza Università di Roma, Rome, Italy & Dermatology and Cosmetology, IRCCS San Raffaele Hospital, Milan, Italy. E-mail: paolgio@libero.it

Doi: http://dx.doi.org/10.15586/codon.noncutaneousmelanoma.2018.ch4

In: Noncutaneous Melanoma. Jeffrey F. Scott and Meg R. Gerstenblith (Editors), Codon Publications, Brisbane, Australia. ISBN: 978-0-9944381-5-7; Doi: http://dx.doi.org/10.15586/codon.noncutaneousmelanoma.2018

Copyright: The Authors.

Licence: This open access article is licenced under Creative Commons Attribution-NonCommercial 4.0 International (CC BY 4.0). https://creativecommons.org/licenses/by-nc/4.0/

INTRODUCTION

Melanocytes are normally present in the mucous membrane of nasal cavities and paranasal sinuses in about 20% of the population (1). The biology of extracutaneous melanoma differs from that of cutaneous melanomas. Indeed, several functions of melanocytes, such as antimicrobial and immunological functions, have been recently reported. Furthermore, due to the involvement of anatomical sites such as oropharyngeal, anorectal, penile, and vulvar areas where specific viruses (e.g. human papillomavirus [HPV]) harbor, a role for melanocytes in viral pathogenesis has been postulated. Nasopharyngeal melanoma (NPM) is a rare type of head and neck mucosal melanoma (HNMM). Its prognosis is poor, with a 5-year overall survival rate of 10–30%, due to frequently delayed diagnosis, local recurrence, and high rates of metastases (2, 3). In this chapter, we illustrate and summarize the main clinicopathologic features of NPM and the available therapeutic approaches.

EPIDEMIOLOGY

In the literature, few data about HNMM and NPM have been reported (2). The USA Cancer Database reports that about 1.3% of melanomas are mucosal, of which 55% are localized in the head and neck area (4, 5). Primary HNMM accounts only for 0.8–3.7% of all melanomas and 0.03% of all cancers (1). More specifically, HNMM accounts for 4% of head and neck melanomas and 4% of nasopharyngeal neoplasms (1, 2). It is estimated that the incidence of NPM is about 0.3/1,000,000 per year (1). The most commonly involved sites are the nose (80% of HNMM in sinonasal tract, especially occurring in lateral wall and septum), paranasal sinuses (involving mostly primary ethmoid and maxillary sinus), oral cavity, pharynx and larynx (2, 5). There is no real sex predominance, although females are slightly more commonly affected than males (52% vs. 48%) (6). The median age of presentation is 64.3 years (range: 50–80 years). However, cases of melanoma of the oral cavity have been reported in patients as young as 9 years old (7). NPM melanoma represents a greater percentage of all melanomas among Japanese compared to Caucasians. Specifically, 7.5% of all melanomas in the Japanese population arise in oral cavity, compared to ≤1% reported in the Caucasian population (5, 8).

PATHOGENESIS

The role of irritants and carcinogenic compounds in the air, such as tobacco smoke and formaldehyde, in the development of NPM is not yet clear. Interestingly, it has been reported that hyper-production of melanocytes in the oral mucosa is associated with the use of cigarettes, leading to a greater prevalence of pigmented oral lesions (911). Several authors have reported that approximately 33% of mucosal melanomas of the oral cavity are preceded by oral melanosis (11). The significance of this finding is unclear and given the current levels of evidence melanosis should not be considered a pre-cancerous lesion. It is probable that most precursors of NPM originate from stem melanocytes that have acquired cytogenetic alternations of their oncogenes, tumor-suppressor genes, and DNA repair genes, performing a malignant phenotype (12). Otherwise, NPM can arise from mature melanocytes of the submucosa with cytogenetic alternations, due to several stimuli, including tobacco, trauma, and oxidative stress (12). Indeed, a reduction in melanin production can lead to an increase of oxidative stress metabolites, which cause DNA damage, promoting an initial cell transformation (13). Finally, the transformed melanocytes show specific alteration in the c-kit pathway, endothelin receptor type B/endothelin pathway, Wnt/β-catenin pathway, and in various cell-adhesion molecules (12, 14, 15).

GENETICS

Primary mucosal melanoma (PMM) is an extremely rare neoplasm and few studies have evaluated its genetic basis. Because of the anatomic locations involved and the paucity of early clinical clues, mucosal melanomas are often detected at advanced stages. Consequently, the prognosis is poorer than their cutaneous counterparts. NPM accounts for 55% of HNMM, and HNMM accounts for 55% of all mucosal melanomas (Table 1) (16). As reported by several authors (1721), PMM shows distinctive characteristics in comparison with cutaneous melanoma (CM). It has been shown that primary sinonasal melanomas (SNMs) are characterized by several abnormalities that lead to diffuse activation of the PI3K/Akt and RAS-MAPK pathways. As highlighted by Turri-Zanoni, alterations in these pathways are not associated with prognosis (17). Furthermore, it has been reported that early somatic events (KIT, NRAS, and BRAF mutations) are not frequent in primary SNMs (2, 4). Indeed, Turri-Zanoni et al. reported that BRAF mutations in exon 15 were not detected in 97% of melanomas (17). In addition, BRAFV600E mutations were not present in any of the cases (17). This finding has also been confirmed by Edwars et al., who detected no BRAF exon 15 mutation in 13 PMM (18). These findings corroborate the evidence that PMM shares no molecular features with CM. Furthermore, the lack of BRAF mutations in PMM suggests that the BRAF mutations in melanoma are influenced by the extent of sun exposure (16). In addition, this finding suggests that BRAF/MEK inhibitors are unlikely to be useful in the management of PMM (16). Conversely, NRAS mutations have been described in 22% of cases, involving codon 61 in 42.8%, codon 12 in 28.5%, and codon 13 in 28.5% (17). This mutation rate is similar to nonchronic sun-damage melanoma. Finally, KIT mutations were detected on either exon 11 or 18 in 12.5% of the cases (17). It has also been postulated that the expression of KIT in primary SNMs might indicate that the activation of PI3K/Akt and RAS-MAPK pathways might be dependent on ligand-dependent activation of this receptor (17). As reported by several authors, therapeutic c-KIT blockade could be useful in the treatment of PMM patients with activating KIT mutation (2022).

TABLE 1 Distribution of primary mucosal melanoma

PMM
%
Head and neck 55
Anorectal 23.8
Female genital tract 18
Urinary tract 2.8

Fluorescence in situ hybridization (FISH) analysis conducted on 32 primary SNMs showed gain of 6p25 (RREB1) in 100%, loss of 6q23 (MYB) in 76%, and gain of 11q13 (CCND1) in 65.6% (18). These findings are similar to the results reported in their cutaneous counterpart, which shows a high frequency of gain of 6p25 and loss of 6q23. These findings show that some chromosomal aberration of CM could also be detected in SNM by FISH. Conversely, gain of 11q13 (CCND1), which is described in >30% of CM, was not shown in SNM (17).

Edwards et al. described further peculiar chromosomic aberrations in SNM, including gains of 1q, 6p, and 8q (18). In particular, the authors detected a gain of 1q in all 14 analyzed specimens, and a gain of 6p in 93% of specimens (18). These results are intriguing, because 1q and 6p aberrations are usually detected in about 40–70% of other melanoma types, although it has been reported in several papers that PMM is characterized by distinctive genetic features in comparison with CM (18). Interestingly, the gains of 1q, 6p, and 8q in SNM occurred often in association with a loss of copy number or a normal copy number of the opposite chromosome arm, suggesting isochromosome formation (17, 18).

Turri-Zanoni et al. described loss of PTEN expression (<50% of positive cells) in 48.1% and a total absence of the protein in 33.3% of analyzed SNMs using immunohistochemistry (17). Furthermore, loss of p16INK4a in >50% of tumor cells was described in 55.2% of cases (17). The authors demonstrated that at least one tumor-suppressor gene was absent in 82.7% of cases, whereas loss of both p16 (CDKN2A gene) and PTEN was seen in 18.5% of the cases.

Data on the role of tumor-suppressor genes in PMM transformation and progression are inconclusive. It has been highlighted that loss of PTEN and activating mutations of PIK3CA play a pivotal role in the hyperactivation of PI3K-Akt pathway in a wide variety of human neoplasms. As reported by Turri-Zanoni et al., the hyperactivation of PI3K-Akt pathway was found in 89.7% of SNM cases, not related to activating mutations of PIK3CA (17). Although these findings need further investigation, they show that activation of PI3K-Akt might sustain the development of SNM (22). Therefore, drugs that inhibit PI3K-Akt-mTOR pathway could be useful when employed in SNM.

It has been speculated that the HPV could determine a higher genomic instability in PMM by supporting the degradation of the p53 protein (22, 23). However, Dahlgren et al. evaluated with PCR the presence of HPV DNA in 15 anal melanomas, 4 rectal melanomas, and 9 SNMs, and detected no HPV DNA in the analyzed samples (24). Therefore, the authors concluded that the 36 HPV subtypes tested did not play a pivotal role in the development of PMM.

CLINICAL FEATURES

The clinical presentation of NPM is nonspecific. Because of this and the anatomic area, median delay of 6–8 months in diagnosis has been estimated (3). Furthermore, the aggressiveness of this rare type of melanoma is also related to biological aspects. Indeed, especially in the initial stages, NPM is often asymptomatic. Primary clinical manifestations are usually obstruction of involved cavities and epistaxis. The most common symptoms of NPM, in decreasing order, are epistaxis, mass/obstructive symptoms, difficulty breathing, serous otitis media, pain, polyps, and nasal discharge (3, 9). In the most invasive stages, pain, facial distortion, proptosis, and diplopia may be present (9, 25). In a case reported by Alves et al., a 64-year-old white, male patient had pain on the right side of his face and nose, associated with sporadic episodes of epistaxis and progressive ipsilateral nasal obstruction which had begun 1 year earlier (26). In another report by Bhartiya et al., a 51-year-old male presented with a 5-month history of nasal swelling, blockage, and occasional nasal bleeding, reporting a rapid increase in size of a swelling lesion on the left side of his nose (27). On examination, a large, swelling, fleshy, bluish-red, friable lesion was noticed on the left side of the nose, completely blocking the nasal passage (27). Finally, a report by Shradda et al. described the case of a 42-year-old female patient with swelling over the left side of her face, ipsilateral nasal blockage, and a visible brownish-colored mass in the left nasal cavity (28). The swelling, which was associated with severe throbbing type of pain, started over the lateral part of the nose on the left side, below the left eye, and rapidly increased in size, involving the eye and the left cheek with ulceration of the overlying skin (28).

Endoscopically, NPM could appear as a polyploid, friable, and bloody mass, with a homogeneous or heterogeneous surface (2). As reported by Alves et al., anterior rhinoscopy and fibre-optic-naso-laryngoscopy may show blackish-blue, pale yellow, or translucent polypoid masses (in the presence of amelanotic melanoma) (25). Besides, as reported by Lazzeri et al., NPM could also be detected as a grayish stone-like material under the mucosa of a polypoid tissue (28). The primary lesion site is often difficult to detect because of the extension of the lesion at diagnosis (26). Furthermore, NPM is usually amelanotic and often mistaken for an ordinary nasal polyposis, delaying the diagnosis (2). Melanoma of nasal cavities and septum has a better prognosis than those of paranasal sinuses. This is probably due to the presence of clinical signs and symptoms, as well as better access, allowing for appropriate clinical examination, earlier diagnosis, and a more radical therapy. Regarding the pharyngeal involvement, in 66.6% of the cases, the first noticeable features are usually hoarseness, sore throat, irritation, dysphagia, and a cervical mass (25). The melanoma may also cause hemorrhage, difficulties in hearing and deglutition, voice changes, and breathing difficulties.

PATHOLOGY

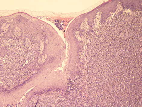
NPM is often amelanotic, resembling a benign polypoid lesion. Therefore, histology plays a pivotal role for a correct diagnosis (Figures 1 and 2). However, NPM can be also confused with other tumors, such as undifferentiated small blue cell tumors of the sinonasal tract, including olfactory neuroblastoma, sinonasal undifferentiated neuroendocrine carcinoma, Ewing’s sarcoma, peripheral neuroectodermal tumor (PNET), and rhabdomyosarcoma. Other differential diagnoses include squamous cell carcinoma and non-Hodgkin lymphoma. Accordingly, immunohistochemistry also plays an important role in the diagnosis. Human melanoma black (HMB)-45 reaches the 100% specificity for melanoma, while Melan-A is slightly less specific (2930). According to Morris et al., PNL-2 is a highly sensitive marker for mucosal melanoma, superior to Melan-A and microphthalmia-associated transcription factor (MITF) and comparable with HMB-45 (29). Therefore, PNL-2 can be evaluated as an important adjunctive marker in the immunohistochemical evaluation of PMMs (26, 27). Furthermore, it is often difficult to distinguish a metastasis from a primary neoplasm. However, a de novo primary NPM is much more likely than a metastasis, although at the time of diagnosis, up to 50% of patients with primary NPM develop distant metastases to the brain, liver, and lungs (3). Therefore, after a diagnosis of an NPM, it is important to perform a general dermatological consultation, followed by a trachea-laryngoscopy, gastro-duodenoscopy, colonoscopy, and ophthalmological consultation, in order to exclude other localizations.

Fig 1

Figure 1 A rare histological image of a dermal, pleomorphic malignant melanocytic proliferation of the oral cavity, in a nonkeratinized epithelium. (Hematoxylin and Eosin, 20×) Courtesy of Dr. Angelina Pernazza.

Fig 2

Figure 2 This image demonstrates hyperplasia of the epidermis, an atypical dermal melanocytic proliferation, with several ectatic vessels and a lymphocytic infiltrate. Sometimes it is difficult to distinguish between a metastasis and a primary head and neck mucosal melanoma. (Hematoxylin and Eosin, 20×). Courtesy of Dr. Angelina Pernazza.

STAGING OF NPM

In order to study local tumor extension, the execution of computed tomography (CT) of facial bones and brain, as well as facial magnetic resonance imaging (MRI), is indicated. CT is performed with axial and coronal sections, 1–3 mm thick slices and dual window settings (for soft tissues and bone) (31).

MRI provides three sections: T1, T1 post-gadolinium, and T2. Usually, melanomas exhibit a heterogeneous contrast enhancement with typical high and low intensity signal on T1 and T2, respectively, related to high melanin concentration and/or bleeding within the mass. MRI also assesses bone infiltration and, eventually, brain metastases. While, total body CT and positron emission tomography (PET) remain the gold standards to detect systemic neoplastic involvement, all these investigations are necessary in order to guide appropriate management (31).

In 1970, the Ballantyne staging system for NPM was proposed, characterized by three stages, depending on disease extension: local, regional, or disseminated (31). Subsequently, in 2004, Prasad et al. proposed a splitting of stage I into three further stages, depending on the degree of the neoplastic invasion (Table 2) (32, 3436). Another important and valid classification is the tumor–node–metastasis (TNM) staging system of the seventh edition of the American Committee on Cancer (AJCC) (Table 2) (33). Due to the rarity of this malignancy, the adequacy of these staging criteria for providing prognostic information is not clear. Further knowledge may allow for improvement of these staging schemas.

TABLE 2 Classifications of head and neck mucosal melanoma, including nasopharyngeal melanoma

Stage
Ballantyne 1970 (31)
Prasad 2004 (32)
TNM 2009 (33)
I Any T0 N0 M0 Stage 1: in situ
Stage 2: invasion of lamina propria
Stage 3: deep tissue invasion
T3: epithelium/submucosa
T4a: deep soft tissue/cartilage/ bone
T4b: brain, dura, skull base
II Any T N M0    
III Any T any N M1    

THERAPY

Surgical excision of NPM is considered the therapeutic gold standard (31). Performing external or intranasal incision depends on tumor site and size. It is difficult to control surgical margins both in case of endoscopic surgery and in case of an extranasal procedure. Intranasal surgery is usually performed for small intranasal masses. Tumor resection must provide 1.5–2 cm negative surgical margins, as defined by histological examination when NPM is ≥5 mm (31, 37). Craniofacial resection is indicated for neoplasms in contact with or infiltrating the skull base (37).

In cases of laryngeal or pharyngeal melanomas, complete neoplasm resection can be reached through total or partial laryngectomy or pharyngectomy (37). Unfortunately, it is important to note that these tumors can be aggressive and prone to recurrences, requiring extensive surgical resection and disfiguring surgery (31). In cases of oral cavity involvement, a radical surgical resection with tumor-free margins is the treatment of choice (5). However, in cases of large masses, a marginal or segmental mandibulectomy is needed, leading to disfigurement (5).

Sentinel lymph node biopsy is not usually performed for mucosal melanoma (31, 38). Lymph node dissection is indicated only in case of clinical and/or radiological positivity (31, 38). Performing prophylactic lymph nodes dissection in the presence of clinical negativity is now under debate (31, 38). In addition, it should be remembered that regional recurrence is higher, above all, in melanomas with localization in the oral cavity (constituting 77% of recurrences) (20).

NPM is poorly radiosensitive; however, radiotherapy is indicated in cases of local recurrence, positive surgical margins, or in case of palliative therapy. Adjuvant radiotherapy seems to allow loco-regional control without any impact on survival (38). Indeed, no differences have been reported between patients treated with surgery alone and those with surgery and adjuvant radiotherapy (38). On the contrary, new radiotherapy techniques, like intensity-modulated radiation therapy (IMRT), seem to be more effective and safe than the traditional ones, and are proposed as adjuvant therapy, regardless of surgical margins (6, 39). Head and neck stage III and IV a mucosal melanomas should be treated with a wide surgical resection and elective neck dissection, and eventually with adjuvant radiation therapy or IMRT (40).

Chemotherapy and/or immunotherapy are under evaluation. Anti-CTLA4, anti-PD1, anti-BRAF, and tyrosine-kinase inhibitors for the treatment of stage IV patients, however to date there is not any standardized procedure for management. Furthermore, adverse reactions induced by these drugs should be carefully evaluated, because patients with nasal and NPM are generally elderly and comorbid (31). Indeed, NPM has a poor prognosis; specifically, melanomas of nasal cavity and paranasal sinus have a 5-year overall survival around 20–40% (41). Local recurrence is frequent, occurring in 50% of patients and commonly related to positive surgical margins (41). Age ≤50 years is associated with a better prognosis compared with patients >50 years (41).

CONCLUSIONS

NPM is a rare HNMM with a poor prognosis and high rates of metastases and local recurrences. The poor prognosis is associated with a delay in the diagnosis, as well as with the intrinsic biology of the malignancy. Few studies have been reported in literature. An early diagnosis, correct staging, and correct therapy play a pivotal role in the management of this rare class of patients.

Conflict of interest: The authors declare no potential conflict of interest with respect to research, authorship, and/or publication of this article.

Acknowledgments: We thank Dr. Angelina Pernazza for the histological figures of oral melanoma.

Copyright and permission statement: To the best of our knowledge, the materials included in this chapter do not violate copyright laws. All original sources have been appropriately acknowledged and/or referenced. Where relevant, appropriate permissions have been obtained from the original copyright holder.

REFERENCES

  1. Uehara T, Matsubara O, Kasuga T. Melanocytes in the nasal cavity and paranasal sinus. Incidence and distribution in Japan. Acta Pathol Jpn. 1987 Jul;37(7):1105–14. http://dx.doi.org/10.1111/j.1440-1827.1987.tb00427.x
  2. Thompson LD, Wieneke JA, Miettinen M. Sinonasal tract and nasopharyngeal melanomas: A clinicopathologic study of 115 cases with a proposed staging system. Am J Surg Pathol. 2003 May;27(5): 594–611. http://dx.doi.org/10.1097/00000478-200305000-00004
  3. Azoury SC, Crompton JG, Straughan DM, Klemen ND, Reardon ES, Beresnev TH, et al. Unknown primary nasopharyngeal melanoma presenting as severe recurrent epistaxis and hearing loss following treatment and remission of metastatic disease: A case report and literature review. Int J Surg Case Rep. 2015 Apr;10(10):232–5. http://dx.doi.org/10.1016/j.ijscr.2015.03.053
  4. Chang AE, Karnell LH, Menck HR. The National Cancer Data Base report on cutaneous and noncutaneous melanoma: A summary of 84,836 cases from the past decade. The American College of Surgeons Commission on Cancer and the American Cancer Society. Cancer. 1998 Oct;83(8):1664–78. http://dx.doi.org/10.1002/(SICI)1097-0142(19981015)83:8%3C1664::AID-CNCR23%3E3.0.CO;2-G
  5. López F, Rodrigo JP, Cardesa A, Triantafyllou A, Devaney KO, Mendenhall WM, et al. Update on primary head and neck mucosal melanoma. Head Neck. 2016 Jan;38(1):147–55. http://dx.doi.org/10.1002/hed.23872
  6. Marcus DM, Marcus RP, Prabhu RS. Rising incidence of mucosal melanoma of the head and neck in the United States. J Skin Cancer. 2012 Dec;2012(2012):231693.
  7. Lourenço SV, A MS, Sotto MN, Bologna SB, Giacomo TB, Buim ME, et al. Primary oral mucosal melanoma: A series of 35 new cases from South America. Am J Dermatopathol. 2009 Jun;31(4):323–30. http://dx.doi.org/10.1097/DAD.0b013e3181a0d37c
  8. Moreno MA, Hanna EY. Management of mucosal melanomas of the head and neck: Did we make any progress? Curr Opin Otolaryngol Head Neck Surg. 2010 Apr;18(2):101–6. http://dx.doi.org/10.1097/MOO.0b013e3283374d31
  9. Mihajlovic M, Vlajkovic S, Jovanovic P, Stefanovic V. Primary mucosal melanomas: A comprehensive review. Int J Clin Exp Pathol. 2012 Oct;5(8):739–53.
  10. Axéll T, Hedin CA. Epidemiologic study of excessive oral melanin pigmentation with special reference to the influence of tobacco habits. Scand J Dent Res. 1982 Dec;90(6):434–42.
  11. Seetharamu N, Ott PA, Pavlick AC. Mucosal melanomas: A case-based review of the literature. Oncologist. 2010 Jul;15(7):772–81. http://dx.doi.org/10.1634/theoncologist.2010-0067
  12. Warszawik-Hendzel O, Słowińska M, Olszewska M, Rudnicka JL. Melanoma of the oral cavity: Pathogenesis, dermoscopy, clinical features, staging and management. Dermatol Case Rep. 2014 Sep;8(3):60–6. http://dx.doi.org/10.3315/jdcr.2014.1175
  13. Cramer SF. Stem cells for epidermal melanocytes—A challenge for students of dermatopathology. Am J Dermatopathol. 2009 Jun;31(4):331–41. http://dx.doi.org/10.1097/DAD.0b013e31819cd0cb
  14. Lucchese A, Favia G, Maiorano E, Napoli A, Zanna P, Cicero R, et al. Oral malignant melanoma: Immunopathological analysis of a multiphasic case. Clin Exp Dermatol. 2010 Oct;35(7):789–91. http://dx.doi.org/10.1111/j.1365-2230.2010.03801.x
  15. Bologna SB, Nico MM, Hsieh R, Coutinho-Camillo CM, Buim ME, Fernandes JD, et al. Adhesion molecules in primary oral mucosal melanoma: Study of claudins, integrins and immunoglobulins in a series of 35 cases. Am J Dermatopathol. 2013 Jul;35(5):541–54. http://dx.doi.org/10.1097/DAD.0b013e318276cab3
  16. Curtin JA, Fridlyand J, Kageshita T, Patel HN, Busam KJ, Kutzner H, et al. Distinct sets of genetic alterations in melanoma. N Engl J Med. 2005 Nov;353(20):2135–47. http://dx.doi.org/10.1056/NEJMoa050092
  17. Turri-Zanoni M, Medicina D, Lombardi D, Ungari M, Balzarini P, Rossini C, et al. Sinonasal mucosal melanoma: Molecular profile and therapeutic implications from a series of 32 cases. Head Neck. 2013 Aug;35(8):1066–77. http://dx.doi.org/10.1002/hed.23079
  18. Edwards RH, Ward MR, Wu H, Medina CA, Brose MS, Volpe P, et al. Absence of BRAF mutations in UV-protected mucosal melanomas. J Med Genet. 2004 Apr;41(4):270–2. http://dx.doi.org/10.1136/jmg.2003.016667
  19. Ascierto PA, Accorona R, Botti G, Farina D, Fossati P, Gatta G, et al. Mucosal melanoma of the head and neck. Crit Rev Oncol Hematol. 2017 Apr;112(112):136–52. http://dx.doi.org/10.1016/j.critrevonc.2017.01.019
  20. Green B, Elhamshary A, Gomez R, Rahimi S, Brennan PA. An update on the current management of head and neck mucosal melanoma. J Oral Pathol Med. 2017 Aug;46(7):475–9. http://dx.doi.org/10.1111/jop.12526
  21. Eroglu Z, Smalley KS, Sondak VK. Improving patient outcomes to targeted therapies in melanoma. Expert Rev Anticancer Ther. 2016 Jun;16(6):633–41. http://dx.doi.org/10.1080/14737140.2016.1178575
  22. Dréau D, Culberson C, Wyatt S, Holder WD Jr. Human papilloma virus in melanoma biopsy specimens and its relation to melanoma progression. Ann Surg. 2000 May;231(5):664–71. http://dx.doi.org/10.1097/00000658-200005000-00006
  23. Miracco C, Palummo N, Lavergne D, Nyongo A, Tosi P, de Villiers EM. Malignant melanomas: Search for human papillomaviruses. Arch Dermatol. 2001 Jun;137(6):826–7.
  24. Dahlgren L, Schedvins K, Kanter-Lewensohn L, Dalianis T, Ragnarsson-Olding BK. Human papilloma virus (HPV) is rarely detected in malignant melanomas of sun sheltered mucosal membranes. Acta Oncol. 2005 Jul;44(7):694–9. http://dx.doi.org/10.1080/02841860500247461
  25. Alves IS, Berriel LG, Alves RT, Pinto MB, Oliveira CF, Cazzotto AC, et al. Sinonasal melanoma: A case report and literature review. Case Rep Oncol Med. 2017 Jan;2017(2017):8201301.
  26. Bhartiya R, Prasad KM. Malignant melanoma of nasal cavity—A case report. J Clin Diagn Res. 2015 Dec;9(12):21–2. http://dx.doi.org/10.7860/JCDR/2015/17009.6995
  27. Shraddha J, Priya M, Sunil K. Mucosal malignant melanoma of sino-nasal region with orbital involvement: Case report. Indian J Otolaryngol Head Neck Surg. 2013 Jan;65(Suppl 1):178–81. http://dx.doi.org/10.1007/s12070-011-0428-y
  28. Lazzeri D, Agostini T, Giacomina A, Giannotti G, Colizzi L, De Rosa M, et al. Malignant melanoma of the nasal septum. J Craniofac Surg. 2010 Nov;21(6):1957–60. http://dx.doi.org/10.1097/SCS.0b013e3181f4eee6
  29. Morris LG, Wen YH, Nonaka D, DeLacure MD, Kutler DI, Huan Y, et al. PNL-2 Melanocytic marker in immuno-histochemical evaluation of primary mucosal melanoma of the head and neck. Head Neck. 2008 Jun;30(6):771–5. http://dx.doi.org/10.1002/hed.20785
  30. Mardi K. Primary mucosal malignant melanoma of nasopharynx: A rare case report. J Cancer Res Ther. 2014 Apr–Jun;10(2):416–18. http://dx.doi.org/10.4103/0973-1482.136676
  31. Ballantyne AJ. Malignant melanoma of skin of head and neck. An analysis of 405 cases. Am J Surg. 1970 Oct;120 (4):425–31. http://dx.doi.org/10.1016/S0002-9610(70)80001-0
  32. Prasad ML, Patel SG, Huvos AG, Shah JP, Busam KJ. Primary mucosal melanoma of the head and neck: A proposal for microstaging localized, stage I (lymph node-negative) tumors. Cancer. 2004 Apr;100(8):1657–1664. http://dx.doi.org/10.1002/cncr.20201
  33. Gilain L, Houette A, Montalban A, Mom T, Saroul N. Mucosal melanoma of the nasal cavity and paranasal sinuses. Eur Ann Otorhinolaryngol Head and Neck Dis. 2014 Dec;131(6):365–9. http://dx.doi.org/10.1016/j.anorl.2013.11.004
  34. Michel J, Perret-Court A, Fakhry N, Braustein D, Monestier S, Marie-Richard A, et al. Sinonasal mucosal melanomas: The prognostic value of tumor classifications. Head Neck. 2014 Mar;36(3): 311–16. http://dx.doi.org/10.1002/hed.23298
  35. Edge SB, Byrd DR, Compton CC, Fritz AG, Greene FL, Trotti A. AJCC cancer staging manual. 7th ed. New York: Springer; 2009.
  36. Clifton N, Harrison L, Bradley PJ, Jones NS. Malignant melanoma of nasal cavity and paranasal sinuses: Report of 24 patients and literature review. J Laryngol Otol. 2011 May;125(5):479–85. http://dx.doi.org/10.1017/S0022215110002720
  37. Lazarev S, Gupta V, Hu K, Harrison LB, Bakst S. Mucosal melanoma of the head and neck: A systematic review of the literature. Int J Radiat Oncol Biol Phys. 2014 Dec 1;90(5):1108–18. http://dx.doi.org/10.1016/j.ijrobp.2014.03.042
  38. Benlyazid A, Thariat J, Temam S, Florescu C, Choussy O, Makeieff M, et al. Postoperative radiotherapy in head and neck mucosal melanoma: A GETTEC study. Arch Otolaryngol-Head Neck Surg. 2010 Dec;136(12):1219–25. http://dx.doi.org/10.1001/archoto.2010.217
  39. Osorio M, Moubayed SP, Prera JH, Scott JC, Urken ML. Primary mucosal melanoma of the palatine tonsil: Report of a case and review of the literature. Am J Otolaryngol 2017 Aug;38(4):501–4. http://dx.doi.org/10.1016/j.amjoto.2017.04.010
  40. Roth TN, Gengler C, Huber GF, Holzmann D. Outcome of sinonasal melanoma: Clinical experience and review of the literature. Head Neck. 2010 Oct;32(10):1385–92. http://dx.doi.org/10.1002/hed.21340
  41. Bachar G, Loh KS, O’sullivan B, Goldstein D, Wood S, Brown D, et al. Mucosal melanomas of the head and neck: The Princess Margaret Hospital experience. Head Neck. 2008 Oct;30(10):1325–31. http://dx.doi.org/10.1002/hed.20878