5

Ulcerated Melanoma: Aspects and Prognostic Impact

Marie Louise Bønnelykke-Behrndtz1 Torben Steiniche2

1Department of Plastic and Reconstructive Surgery, Aarhus University Hospital, Aarhus, Denmark; 2Department of Pathology, Aarhus University Hospital, Aarhus, Denmark

Abstract: Ulceration is an important prognostic factor for patients with melanoma and also a predictive marker for the response of adjuvant immune-stimulating therapy. A consensual definition and accurate assessment of ulceration is therefore crucial for proper staging and clinical management, but can be difficult even between experienced pathologists. The definition of ulceration is stated differently in the available literature but is generally understood as loss of epidermal matrix. Thinning of the epidermis, also termed consumption of the epidermis (COE), is associated with ulcerated lesions and correlates with enhanced tumor cell proliferation in nonulcerated melanoma. These results suggest that COE may be a proliferative precursor of ulceration, characterized by erosive growth into the epidermal layer (infiltrative type) or expansive growth that may stretch and eventually disrupt the epidermis (attenuative type), which is reflected in the histopathology. We have no means to determine the dynamic changes of human ulcerated melanoma or to determine whether these wounds have re-epithelialization (RE) potential. However, the presence of reactive hyperplasia (REH) and changes indicating RE associates with increased density of neutrophils and may herald resolved or late-stage ulcerations. Combining the extent of ulceration (> or <70% of the total tumor length) and the presence of epidermal involvement (COE, REH, and/or RE) stratifies prognosis more accurately and supports the relevance of including these factors in the definition of ulceration and to define ulceration of a primary melanoma as loss of epidermis with evidence of a host response (infiltration of neutrophils or fibrin deposition) and thinning, effacement, or REH of the surrounding epidermis.

Keywords: Consumption of epidermis; Neutrophils; Prognosis; Proliferation; Ulceration

Author for correspondence: Marie Louise Bønnelykke-Behrndtz, Department of Plastic and Reconstructive Surgery, Aarhus University Hospital, Aarhus, Denmark. E-mail: mariboen@rm.dk; louiseboennelykke@gmail.com

Doi: http://dx.doi.org/10.15586/codon.cutaneousmelanoma.2017.ch5

In: Cutaneous Melanoma: Etiology and Therapy. William H. Ward and Jeffrey M. Farma (Editors), Codon Publications, Brisbane, Australia. ISBN: 978-0-9944381-4-0; Doi: http://dx.doi.org/10.15586/codon.cutaneousmelanoma.2017

Copyright: The Authors.

Licence: This open access article is licensed under Creative Commons Attribution-NonCommercial 4.0 International (CC BY 4.0). https://creativecommons.org/licenses/by-nc/4.0/

Introduction

Patients with ulcerated melanoma form a subgroup with shorter disease-free and overall survival than patients with nonulcerated melanoma (1, 2). The presence of ulceration upstages patients with localized melanoma by both subcategories and stages and is included as an independent prognostic factor defining the T-stage in the American Joint Committee of Cancer’s melanoma staging criteria (1, 2). Patients with ulceration form a subgroup whose survival is significantly improved when they are treated with adjuvant immunotherapy (3, 4) compared with observation alone. Accurate assessment of ulceration is therefore crucial for proper staging and clinical management but can be difficult even for experienced pathologists. There is currently no evidence-based definition of ulceration and no consensus in the published literature. The American Joint Committee on Cancer (AJCC) has defined ulceration as the absence of an intact epidermis overlying a major portion of the primary melanoma based on microscopic examination of the histologic sections (5). Other studies have defined ulceration as full-thickness loss of epidermis associated with a host reaction (infiltration of neutrophils and/or fibrin deposition) (6). Interestingly, a former study showed that the interobserver reproducibility increased by defining ulceration as full-thickness epidermal defect (including absence of stratum corneum and basement membrane), with evidence of a host response (i.e., fibrin deposition, neutrophils) and thinning, effacement, or reactive hyperplasia (REH) of the surrounding epidermis (7).

In this chapter, ulceration is defined as full-thickness loss of epidermis overlying melanoma tissue, in which epidermal loss was associated with a host reaction (infiltration of neutrophils and/or fibrin deposition) (8). Characteristics of the surrounding epidermis were coded and analyzed separately, aimed at a better understanding of the biology and impact of these changes, allowing better stratification of ulcerated melanoma.

Consumption of the Epidermis:A Possible Precursor of Ulceration That Associates with Increased Tumor Cell Proliferation

Cleft formation (CF, gap formation in the dermal/epidermal junction) and consumption of epidermis (COE, general thinning of the epidermis) are interesting phenomena as they may indicate early structural changes and be possible precursors of ulceration. CF correlates with an increased Breslow thickness and to the presence of ulceration (8). However, either the presence, type, or the extent of CF had prognostic impact (8). The visualized CF could be due to several factors: artifacts, increased proliferation and thereby erosion of hemi-desmosomes, or cell–cell adhesion loss. Nineteen percent of the tumors displaying CF are sealed with CD34-positive endothelial cells in the dermal/epidermal junction (9). This indicates that the presence of CF could also be due to blocked and dilated vessels of the superficial plexus. In 72% of the tumors, CF associates with infiltrative epidermal growth of melanoma cells and focal thinning of the overlying epidermis, which may be a possible precursor of focal ulceration (9).

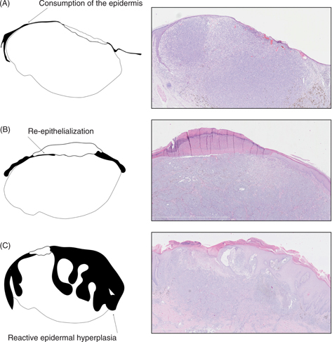
COE has been defined as thinning of the epidermis—attenuation of basal and suprabasal layers and loss of the normal rete-ridge configuration in areas overlying melanoma tissue (10)—and its presence is reported in between 37 and 86% of all melanomas (8, 1012) (Figure 1). COE can be detected in thin melanomas, but its likelihood rises with increasing Breslow thickness, and only 18% of thin melanomas (<1 mm) and 46% of the thicker melanomas (2–4 mm) had COE (8). There was a strong correlation between COE and ulceration, with 25% of nonulcerated melanomas and 52% of the ulcerated tumors showing presence of COE (8). These figures are in line with those reported in other studies (11, 13). Consumption was first defined and introduced as an important factor for differentiating melanomas from Spitz nevi (10), whereas Walters et al. showed a correlation between COE and ulceration (11). In this latter study, COE was frequently found at the edges of ulcerated areas and it was thought of as an early step in the progression toward ulceration (8).

Fig 1

Figure 1 An illustration of the different types of epidermal involvement. (A) Consumption of the epidermis, defined as general epidermal thinning (involving >2/3 of the epidermis) and loss of rete-ridge configuration in areas with direct contact to underlying melanoma tissue. (B) Possible re-epithelialization, a thin, few-layered epidermis under or at the edges of a scab. (C) Reactive epidermal hyperplasia, enlargement of epidermis, with increased epidermal layers and elongated rete-ridges. (Adapted from Am J Clin Pathol 2014;142(6):845–856.)

The biology behind COE is not clear, but theoretically thinning of the epidermis may be tumor cells proliferating into the epidermis (infiltrative type) or expansive growth that stretches the epidermis thin (attenuative type) (8, 14) (Figure 2). Supporting these hypothesis, tumors with COE displayed 37% increased tumor cell proliferation compared with tumors of normal epidermal configuration (9), when only the nonulcerated melanomas are analyzed. COE was associated with increased Breslow thickness, nodular melanoma, and age over 50 years, but after adjusting for these factors the proliferative index in tumors with COE was still significantly increased (9). It is therefore suggested that COE is a proliferative precursor of ulceration, in which increased proliferation may either erode or stretch the epidermis thin and finally ulcerate it (14). There was no increased inflammatory response (cd163+ macrophages or cd66b+ neutrophils) associated with COE, supporting a noninflammatory drive of proliferation (9). In contrast with this possible erosion of epidermis, total loss of epidermis and an ulcer are associated with a robust inflammation response (15), with a vital reaction with neutrophils or fibrin being suggested as important in the definition of ulceration.

Fig 2

Figure 2 An illustration of the type of epidermal involvement and ulceration in melanoma. (A) Infiltrative ulceration with melanoma cells that infiltrate and erode the epidermal layer. (B) Attenuative ulceration where nodular growth stretches and eventually disrupts the epidermal layer, with minimal epidermal infiltration. (Adapted from Am J Clin Pathol 2014;142(6):845–856.)

Melanomas with Re-Epithelialization and Reactive Epidermal Hyperplasia May Herald Late-Stage or Resolved Ulcerations

The presence of a thin epidermis under or at the edges of a scab can be seen as a possible instance of re-epithelialization (RE), and enlargement of epidermis or elongated rete-ridges as reactive epidermal hyperplasia (8) (Figure 1). These phenomena are described phases during wound healing, seen subsequent to ulceration and wounding (16). A vital reaction with neutrophils and/or fibrin and the presence of epidermal changes may therefore be important characteristics distinguishing tumor-induced ulceration from traumatic disruption of epidermis, related to the surgical or preparation procedure. Scratching as a traumatic ulceration may be impossible to distinguish from tumor-induced ulceration though, as these lesions would present a vital reaction of the underlying melanoma tissue, with unknown biological and prognostic impact. There is no means to determine the dynamic changes of human ulcerated melanoma or whether these wounds possess the ability of RE. However, the presence of REH and changes indicating RE has been found associated with ulceration and observed in 13% of melanoma (8). In addition, the density of cd66b+ neutrophils was increased by 18% in tumors presenting RE and reactive epidermal hyperplasia compared with tumors with no evidence of the described characteristics (9). It therefore seems reasonable to suggest that these melanomas may possess prolonged, late-stage, or resolved ulcerations.

Ulceration Is a Heterogeneous Phenomenon of Which Both the Type and Extent Matters

Studies have found that the extent of ulceration seemed to stratify prognosis more accurately than the mere presence or absence of ulceration (6, 1719). In a recent study of localized melanoma, Hout et al. subdivided ulcerated melanoma into excessive (>5 mm or >70%) or minimal/moderate ulcerations (<5 mm or <70%). This provided additional prognostic information, and showed that excessive ulceration had a significantly negative effect on melanoma-specific survival (6). In line with this, a detailed analysis of ulcerated melanomas in 179 patients compared with 207 patients with nonulcerated melanomas found that excessive ulceration, measured as percentage of the total tumor length (>70%), was an independent predictor of poor survival compared with minimal/moderate ulceration (<70%) (8).

While the prognostic impact of the extent of ulceration is supported by the literature, the prognostic impact of the type of ulceration is less clear. Two different types of ulceration have been described; an infiltrative type in which infiltrative growth erodes the epidermal layer or an attenuative type, defined as expansive growth, that stretches and eventually disrupts the epidermal layer (14) (Figure 2). One study reported that an attenuative type of ulceration is an independent predictor of poor melanoma-specific survival as compared with both an infiltrative type and nonulcerated lesions (8). The histological type (superficial spreading vs. nodular) was found to have no independent prognostic value; however, it correlated significantly with the type of ulceration (8). After adjustment of the histological type, an attenuative type of ulceration retained its independent significance (8). Combining the described pattern of ulceration with the presence of COE, an attenuative type of consumption demonstrated independent prognostic value, in line with the prognostic impact of the attenuative type of ulceration (8). Fair to good interobserver reproducibility of the type of ulceration is reported; however, in a clinical setting, this marker might be difficult to implicate (8). Distinction between the different patterns of epidermal infiltration is interesting, though, as it may reflect important differences in the biological nature or tumor microenvironments. Infiltrative ulceration has been characterized by increased and erosive growth into the epidermal layer, which may disrupt cellular adhesion (14, 20). This is in contrast to melanomas with an attenuative type of ulceration which show minimal epidermal erosion; however, expansive growth of melanomas may stretch and eventually disrupt the epidermis (14, 20). Cramer et al. suggest that intraepidermal growth and erosion may be a marker of more mature melanoma cells as opposed to more immature and dermal oriented melanoma cells (21).

The Extent of Ulceration and Changes of the Surrounding Epidermis Have a Prognostic Impact

AJCC has defined ulceration as the absence of an intact epidermis overlying a major portion of the primary melanoma based on microscopic examination of the histologic sections (1, 5). However, by including full-thickness epidermal loss, with evidence of a host response and thinning, effacement, or REH of the surrounding epidermis into the definition of ulceration the interobserver reproducibility increased (6). The described association between the biological markers (proliferation and inflammation) and the prognostic impact of the histopathological changes further supports the relevance of including epidermal changes into the definition.

Combining the presence of epidermal involvement (COE, RE, or reactive epidermal hyperplasia) and the extent of ulceration, patients with a normal epidermis and patients with minimal/moderate ulceration without epidermal involvement have equivalent 5-year survival rates, while patients with minimal/moderate ulceration with epidermal involvement and patients with excessive ulcerations, both of which are independent prognostic factors, have significantly poorer survival in multivariate analysis (8) (Figure 3). The extent of ulceration and involvement of the surrounding epidermis (COE, RE, and reactive epidermal hyperplasia) is therefore suggested as a useful marker allowing better stratification of ulcerated melanoma.

Fig 3

Figure 3 Kaplan–Meier survival curves, illustrating the prognostic impact of the extent of ulceration and the involvement of the surrounding epidermis. Combining the extent of ulceration (as percentage of the ulceration length over the total tumor length, > or <70%) and epidermal involvement (presence of either consumption of epidermis, re-epithelialization, or reactive epidermal hyperplasia) provided additional prognostic information. (Adapted from Am J Clin Pathol 2014;142(6):845–856.)

In conclusion, a consensual definition of ulceration is pivotal for proper staging, and clinical management and ulceration is defined as full-thickness loss of epidermal matrix, with evidence of an underlying host reaction (infiltration of neutrophils) and thinning (COE), effacement (RE), or REH of the surrounding epidermis.

Conclusion

Ulceration is an important prognostic factor for patients with melanoma and interestingly also a predictive marker for the response of adjuvant immune-stimulating therapy. A consensual definition and accurate assessment of ulceration is therefore crucial for proper staging and clinical management. COE, defined as thinning of epidermis, involving >2/3 of the epidermis correlated with increased levels of tumor cell proliferation (Ki67/MelanA) compared with tumors demonstrating normal epidermal configuration and is suggested as a proliferative precursor of ulceration. We have no means to determine the dynamic changes of human ulcerated melanoma or to determine whether these wounds have a RE potential. However, the presence of reactive hyperplasia, and changes indicating re-epithelialization, associated significantly with increased density of cd66b+ neutrophils when compared with tumours that have no evidence of these changes; this may indicate prolonged, late-stage or resolved ulcerations. An attenuative type of epidermal involvement thought of as expansive growth that stretches the epidermis thin and eventually causes disruption was independently linked with poor melanoma-specific survival, in contrast to an infiltrative type that may erode the epidermis thin and leave it ulcerated. The type of ulceration may have an interesting biological explanation but is more difficult to implement in a clinical setting. The extent of ulceration (including >70% of the tumor length) and involvement of the surrounding epidermis (COE, reactive epidermal hyperplasia, and RE) provided more accurate prognostic information than the mere absence or presence and is suggested to be useful markers allowing better stratification of ulcerated lesions.

Conflict of interest: The authors declare no potential conflicts of interest with respect to research, authorship, and/or publication of this article.

Copyright and permission statement: To the best of our knowledge, the materials included in this chapter do not violate copyright laws. All original sources have been appropriately acknowledged and/or referenced. Where relevant, appropriate permissions have been obtained from the original copyright holder(s).

References

  1. Balch CM, Gershenwald JE, Soong SJ, Thompson JF, Atkins MB, Byrd DR, et al. Final version of 2009 AJCC melanoma staging and classification. J Clin Oncol. 2009 Dec 20;27(36):6199–206. http://dx.doi.org/10.1200/JCO.2009.23.4799
  2. Balch CM, Gershenwald JE, Soong SJ, Thompson JF. Update on the melanoma staging system: The importance of sentinel node staging and primary tumor mitotic rate. J Surg Oncol. 2011 Sep;104(4):379–85. http://dx.doi.org/10.1002/jso.21876
  3. Eggermont AM, Suciu S, Testori A, Kruit WH, Marsden J, Punt CJ, et al. Ulceration and stage are predictive of interferon efficacy in melanoma: Results of the phase III adjuvant trials EORTC 18952 and EORTC 18991. Eur J Cancer. 2012 Jan;48(2):218–25. http://dx.doi.org/10.1016/j.ejca.2011.09.028
  4. Eggermont AM, Chiarion-Sileni V, Grob JJ, Dummer R, Wolchok JD, Schmidt H, et al. Adjuvant ipilimumab versus placebo after complete resection of high-risk stage III melanoma (EORTC 18071): A randomised, double-blind, phase 3 trial. Lancet Oncol. 2015 May;16(5):522–30. http://dx.doi.org/10.1016/S1470-2045(15)70122-1
  5. Balch CM, Buzaid AC, Soong SJ, Atkins MB, Cascinelli N, Coit DG, et al. Final version of the American Joint Committee on Cancer staging system for cutaneous melanoma. J Clin Oncol. 2001 Aug 15;19(16):3635–48. http://dx.doi.org/10.1200/JCO.2001.19.16.3635
  6. In ‘t Hout FE, Haydu LE, Murali R, Bonenkamp JJ, Thompson JF, Scolyer RA. Prognostic importance of the extent of ulceration in patients with clinically localized cutaneous melanoma. Ann Surg. 2012 Jun;255(6):1165–70. http://dx.doi.org/10.1097/SLA.0b013e31824c4b0b
  7. Spatz A, Cook MG, Elder DE, Piepkorn M, Ruiter DJ, Barnhill RL. Interobserver reproducibility of ulceration assessment in primary cutaneous melanomas. Eur J Cancer. 2003 Sep;39(13):1861–5. http://dx.doi.org/10.1016/S0959-8049(03)00325-3
  8. Bonnelykke-Behrndtz ML, Schmidt H, Christensen IJ, Damsgaard TE, Moller HJ, Bastholt L, et al. Prognostic stratification of ulcerated melanoma: Not only the extent matters. Am J Clin Pathol. 2014 Dec;142(6):845–56. http://dx.doi.org/10.1309/AJCPW56PHGLFTKZC
  9. Bonnelykke-Behrndtz LM, Schmidt H, Damsgaard TE, Christensen IJ, Bastholt L, Moller HJ, et al. Consumption of the epidermis: A suggested precursor of ulceration associated with increased proliferation of melanoma cells. Am J Dermatopathol. 2015 Nov;37(11):841–5. http://dx.doi.org/10.1097/DAD.0000000000000382
  10. Hantschke M, Bastian BC, LeBoit PE. Consumption of the epidermis: A diagnostic criterion for the differential diagnosis of melanoma and Spitz nevus. Am J Surg Pathol. 2004 Dec;28(12):1621–5. http://dx.doi.org/10.1097/00000478-200412000-00011
  11. Walters RF, Groben PA, Busam K, Millikan RC, Rabinovitz H, Cognetta A, et al. Consumption of the epidermis: A criterion in the differential diagnosis of melanoma and dysplastic nevi that is associated with increasing Breslow depth and ulceration. Am J Dermatopathol. 2007 Dec;29(6):527–33. http://dx.doi.org/10.1097/DAD.0b013e318156e0a7
  12. Seckin S, Ozgun E. The importance of consumption of the epidermis in malignant melanoma and correlation with clinicopathological prognostic parameters. Turk Patoloji Derg. 2011 Jan;27(1):51–6. http://dx.doi.org/10.5146/tjpath.2010.01047
  13. Ohata C, Nakai C, Kasugai T, Katayama I. Consumption of the epidermis in acral lentiginous melanoma. J Cutan Pathol. 2012 Jun;39(6):577–81. http://dx.doi.org/10.1111/j.1600-0560.2012.01914.x
  14. Scolyer RA, Shaw HM, Thompson JF, Li LX, Colman MH, Lo SK, et al. Interobserver reproducibility of histopathologic prognostic variables in primary cutaneous melanomas. Am J Surg Pathol. 2003 Dec;27(12):1571–6. http://dx.doi.org/10.1097/00000478-200312000-00011
  15. Antonio N, Bonnelykke-Behrndtz ML, Ward LC, Collin J, Christensen IJ, Steiniche T, et al. The wound inflammatory response exacerbates growth of pre-neoplastic cells and progression to cancer. EMBO J. 2015 Sep 2;34(17):2219–36. http://dx.doi.org/10.15252/embj.201490147
  16. Martin P. Wound healing—Aiming for perfect skin regeneration. Science. 1997 Apr 4;276(5309):75–81. http://dx.doi.org/10.1126/science.276.5309.75
  17. Balch CM, Wilkerson JA, Murad TM, Soong SJ, Ingalls AL, Maddox WA. The prognostic significance of ulceration of cutaneous melanoma. Cancer. 1980 Jun 15;45(12):3012–17. http://dx.doi.org/10.1002/1097-0142(19800615)45:12%3C3012::AID-CNCR2820451223%3E3.0.CO;2-O
  18. Day CL Jr, Lew RA, Harrist TJ. Malignant melanoma prognostic factors 4: Ulceration width. J Dermatol Surg Oncol. 1984 Jan;10(1):23–4. http://dx.doi.org/10.1111/j.1524-4725.1984.tb01167.x
  19. Day CL Jr, Harrist TJ, Gorstein F, Sober AJ, Lew RA, Friedman RJ, et al. Malignant melanoma. Prognostic significance of “microscopic satellites” in the reticular dermis and subcutaneous fat. Ann Surg. 1981 Jul;194(1):108–12. http://dx.doi.org/10.1097/00000658-198107000-00019
  20. Azzola MF, Shaw HM, Thompson JF, Soong SJ, Scolyer RA, Watson GF, et al. Tumor mitotic rate is a more powerful prognostic indicator than ulceration in patients with primary cutaneous melanoma: An analysis of 3661 patients from a single center. Cancer. 2003 Mar 15;97(6):1488–98. http://dx.doi.org/10.1002/cncr.11196
  21. Cramer SF, Consumption of the epidermis – What is its place in the spectrum of aberrant melanocyte-keratinocyte interactions? Am J Dermatopathol. 2008 Apr;30(2):200–3. http://dx.doi.org/10.1097/DAD.0b013e318164ede6